Ornithine Carbamoyltransferase Antibody (CL4045) - Azide and BSA Free

Images

 
Orthogonal Strategies: Analysis in human liver and tonsil tissues using NBP3-44105 antibody. Corresponding Ornithine Carbamoyltransferase RNA-seq data are presented for the same tissues.
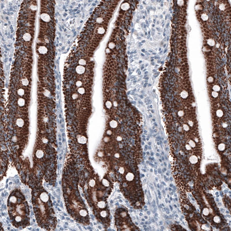
Staining of human duodenum shows strong granular cytoplasmic positivity in glandular cells.
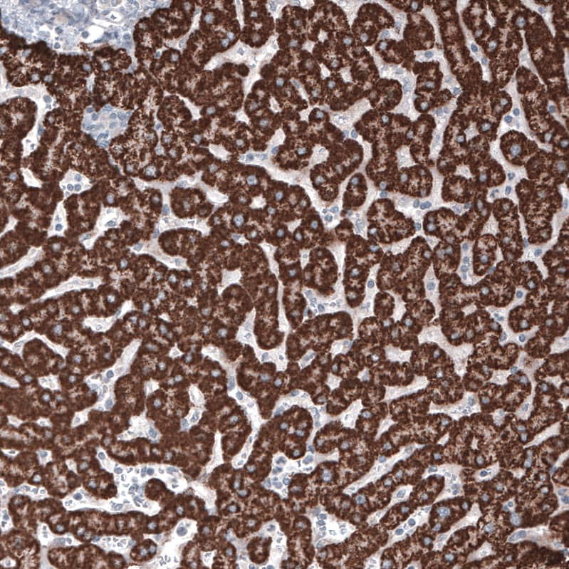
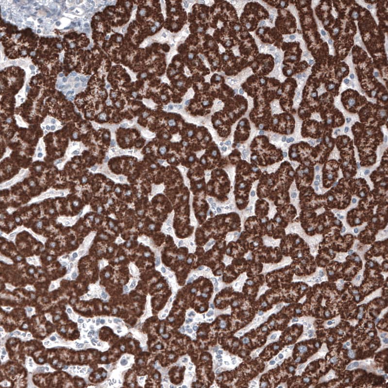
Staining of human liver shows strong granular cytoplasmic positivity in hepatocytes.
Analysis in human liver tissue.
Staining of human small intestine shows strong granular cytoplasmic positivity in glandular cells.
Staining of RH-30 cells using the Anti-Ornithine Carbamoyltransferase monoclonal antibody) .
Staining of human tonsil shows no positivity in lymphoid cells as expected.

Product Details

Summary
Reactivity Hu, Pm-CmSpecies Glossary
Applications WB, ICC/IF, IHC
Clone
CL4045
Clonality
Monoclonal
Host
Mouse
Conjugate
Unconjugated
Format
Azide and BSA Free
Concentration
LYOPH
Validated by:
       

Orthogonal Strategies

 

Order Details

Ornithine Carbamoyltransferase Antibody (CL4045) - Azide and BSA Free Summary

Description
Novus Biologicals Mouse Ornithine Carbamoyltransferase Antibody (CL4045) - Azide and BSA Free (NBP2-59038) is a monoclonal antibody validated for use in IHC, WB and ICC/IF. All Novus Biologicals antibodies are covered by our 100% guarantee.
Immunogen
This antibody was generated using a recombinant protein sequence of P00480, with the exact immunogen sequence remaining proprietary.
Isotype
IgG2a
Clonality
Monoclonal
Host
Mouse
Gene
OTC
Purity
Protein A purified
Innovator's Reward
Test in a species/application not listed above to receive a full credit towards a future purchase.

Applications/Dilutions

Dilutions
  • Immunocytochemistry/ Immunofluorescence 2-10 ug/ml
  • Immunohistochemistry-Paraffin 1:10000 - 1:20000
  • Western Blot 1 ug/ml
Application Notes
For IHC-Paraffin, HIER pH 6 retrieval is recommended. For Immunocytochemistry/ Immunofluorescence/IF, PFA/Triton X-100 is recommended for fixation/permeabilization.

Reactivity Notes

Use in Cynomolgus Monkey reported in scientific literature (PMID:35211641). Please note that this antibody is reactive to Mouse and derived from the same host, Mouse. Mouse-On-Mouse blocking reagent may be needed for IHC and ICC experiments to reduce high background signal. You can find these reagents under catalog numbers PK-2200-NB and MP-2400-NB. Please contact Technical Support if you have any questions

Packaging, Storage & Formulations

Storage
Store at 4C short term. Aliquot and store at -20C long term. Avoid freeze-thaw cycles.
Buffer
Lyophilized from a 0.2 um filtered solution in PBS with Trehalose
Preservative
No Preservative
Concentration
LYOPH
Purity
Protein A purified
Reconstitution Instructions
Centrifuge the vial of lyophilized antibody at 12,000 x g for 20 seconds. Reconstitute by adding sterile, distilled water to achieve a final antibody concentration of 1mg/ml.

Alternate Names for Ornithine Carbamoyltransferase Antibody (CL4045) - Azide and BSA Free

  • EC 2.1.3
  • EC 2.1.3.3
  • MGC129967
  • MGC129968
  • MGC138856
  • OCTD
  • Ornithine Carbamoyltransferase
  • ornithine carbamoyltransferase, mitochondrial
  • Ornithine Transcarbamylase
  • OTC
  • OTCase

Background

This nuclear gene encodes a mitochondrial matrix enzyme. Missense, nonsense, and frameshift mutations in this enzyme lead to ornithine transcarbamylase deficiency, which causes hyperammonemia. Since the gene for this enzyme maps close to that for Duchenne muscular dystrophy, it may play a role in that disease also. (provided by RefSeq)

Limitations

This product is for research use only and is not approved for use in humans or in clinical diagnosis. Primary Antibodies are guaranteed for 1 year from date of receipt.

Customers Who Viewed This Item Also Viewed...

NBP1-87462
Species: Ca, Hu
Applications: IHC,  IHC-P, WB
NBP1-00153
Species: Bv, Hu, Rt
Applications: Flow, ICC/IF, IHC,  IHC-P, PEP-ELISA, WB
NBP2-01346
Species: Ca, Hu, Pm, Mu, Pm, Rt
Applications: Flow, ICC/IF, IHC,  IHC-P, WB
NBP1-81838
Species: Hu, Mu
Applications: IHC,  IHC-P, WB
NB110-41404
Species: Bv, Hu, Mu, Rt
Applications: ICC/IF, IHC, WB
AF2009
Species: Hu
Applications: ICC, IHC
AF7895
Species: Hu
Applications: IHC, WB
MAB1455
Species: Hu
Applications: CyTOF-ready, Dual ISH-IHC, ICC, IHC, ICFlow, Simple Western, WB
NBP1-89953
Species: Hu, Mu
Applications: ICC/IF, IHC,  IHC-P
NBP3-15868
Species: Hu, Mu, Rt
Applications: ELISA, ICC/IF, IHC,  IHC-P, WB
NBP2-93653
Species: Hu, Mu, Rt
Applications: ELISA, ICC/IF, IHC,  IHC-P, WB
NBP1-32398
Species: Hu, Mu, Rt
Applications: ICC/IF, IHC,  IHC-P, IP, KD, WB
NBP1-89559
Species: Hu
Applications: IHC,  IHC-P, WB
NBP3-05078
Species: Hu, Mu, Rt
Applications: ICC/IF, IHC,  IHC-P, WB
NBP2-32887
Species: Hu, Mu, Rt
Applications: Flow, ICC/IF, IHC,  IHC-P, WB
NBP1-83239
Species: Bv, Hu
Applications: IHC,  IHC-P, WB
NBP3-44193
Species: Hu
Applications:  IHC-P
NBP3-44105
Species: Hu, Pm-Cm
Applications: WB, ICC/IF, IHC

Publications for Ornithine Carbamoyltransferase Antibody (NBP3-44105) (0)

There are no publications for Ornithine Carbamoyltransferase Antibody (NBP3-44105).
By submitting your publication information earn gift cards and discounts for future purchases.

Reviews for Ornithine Carbamoyltransferase Antibody (NBP3-44105) (0)

There are no reviews for Ornithine Carbamoyltransferase Antibody (NBP3-44105). By submitting a review you will receive an Amazon e-Gift Card or Novus Product Discount.
  • Review with no image -- $10/€7/£6/$10 CAD/¥70 Yuan/¥1110 Yen
  • Review with an image -- $25/€18/£15/$25 CAD/¥150 Yuan/¥2500 Yen

Product General Protocols

Find general support by application which include: protocols, troubleshooting, illustrated assays, videos and webinars.

Video Protocols

WB Video Protocol
ICC/IF Video Protocol

FAQs for Ornithine Carbamoyltransferase Antibody (NBP3-44105) (0)

There are no specific FAQs related to this product. Read our general customer & technical service FAQs.

Customers Who Bought This Also Bought

Contact Information

Product PDFs

Calculators

Concentration Calculator

The concentration calculator allows you to quickly calculate the volume, mass or concentration of your vial. Simply enter your mass, volume, or concentration values for your reagent and the calculator will determine the rest.

=
÷

Review this Product

Be the first to review our Ornithine Carbamoyltransferase Antibody (CL4045) - Azide and BSA Free and receive a gift card or discount.

Bioinformatics

Gene Symbol OTC