Nudel Antibody (JG38-63)

Images

 
Western Blot: Nudel Antibody (JG38-63) [NBP2-76854] - Western blot analysis of Nudel on rat brain tissue lysate using anti-Nudel antibody at 1/2,000 dilution.
Immunohistochemistry: Nudel Antibody (JG38-63) [NBP2-76854] - Immunohistochemical analysis of paraffin-embedded human uterus tissue using anti-Nudel antibody. Counter stained with hematoxylin.
Immunohistochemistry: Nudel Antibody (JG38-63) [NBP2-76854] - Immunohistochemical analysis of paraffin-embedded human liver cancer tissue using anti-Nudel antibody. Counter stained with hematoxylin.
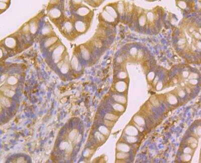
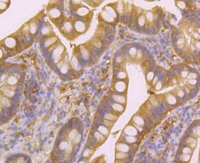
Immunohistochemistry: Nudel Antibody (JG38-63) [NBP2-76854] - Immunohistochemical analysis of paraffin-embedded human small intestine tissue using anti-Nudel antibody. Counter stained with hematoxylin.

Product Details

Summary
Product Discontinued
View other related Nudel Primary Antibodies

Order Details


    • Catalog Number
      NBP2-76854
    • Availability
      Product Discontinued

    Can't find what you are looking for? Use our Antibody Concierge Service & we will help you locate your antibody!

    Or feel free to contact us for alternative products.

Nudel Antibody (JG38-63) Summary

Additional Information
Recombinant Monoclonal Antibody.
Immunogen
Synthetic peptide within Human Nudel aa 1-49 / 345. (SwissProt: Q9GZM8 Human; SwissProt: Q78PB6 Rat)
Localization
Cytoskeleton.
Isotype
IgG
Clonality
Monoclonal
Host
Rabbit
Gene
NDEL1
Purity
Protein A purified
Innovator's Reward
Test in a species/application not listed above to receive a full credit towards a future purchase.

Applications/Dilutions

Dilutions
  • Immunohistochemistry
  • Immunohistochemistry-Paraffin 1:50-1:200
  • Western Blot 1:500-1:2000
Theoretical MW
38 kDa.
Disclaimer note: The observed molecular weight of the protein may vary from the listed predicted molecular weight due to post translational modifications, post translation cleavages, relative charges, and other experimental factors.

Packaging, Storage & Formulations

Storage
Store at 4C short term. Aliquot and store at -20C long term. Avoid freeze-thaw cycles.
Buffer
TBS (pH7.4), 0.05% BSA, 40% Glycerol
Preservative
0.05% Sodium Azide
Concentration
1 mg/ml
Purity
Protein A purified

Alternate Names for Nudel Antibody (JG38-63)

  • DKFZp451M0318
  • EOPA
  • MITAP1mitosin-associated protein MITAP1
  • Mitosin-associated protein 1
  • nuclear distribution protein nudE-like 1
  • nudE nuclear distribution gene E homolog (A. nidulans)-like 1
  • nudE nuclear distribution gene E homolog like 1 (A. nidulans)
  • nudE nuclear distribution gene E homolog like 1
  • NUDELendooligopeptidase A
  • NUDE-like protein
  • Protein Nudel

Background

Nudel encodes a thiol-activated peptidase that is phosphorylated in M phase of the cell cycle. Phosphorylation regulates the cell cycle-dependent distribution of this protein, with a fraction of the protein bound strongly to centrosomes in interphase and localized to mitotic spindles in early M phase. Overall, this protein plays a role in nervous system development. Alternate transcriptional splice variants, encoding different isoforms, have been characterized.

Limitations

This product is for research use only and is not approved for use in humans or in clinical diagnosis. Primary Antibodies are guaranteed for 1 year from date of receipt.

Customers Who Viewed This Item Also Viewed...

NBP1-87769
Species: Hu
Applications: ICC/IF, IHC,  IHC-P, WB
NB110-40773
Species: Hu, Mu, Rt
Applications: ICC/IF, IHC, IHC-Fr,  IHC-P
DPLG70
Species: Hu
Applications: ELISA
H00054820-M01
Species: Hu, Rt
Applications: ELISA, ICC/IF, S-ELISA, WB
NBP2-37602
Species: Hu, Pm, Rt
Applications: ELISA, Flow, ICC/IF, IHC,  IHC-P, WB
NBP1-83908
Species: Hu
Applications: ICC/IF, IHC,  IHC-P, WB
NB100-53816
Species: Hu, Rt
Applications: IHC,  IHC-P, PEP-ELISA, WB
NBP2-01171
Species: Hu, Mu, Rt
Applications: Flow, ICC/IF, IHC,  IHC-P, WB
NB500-101
Species: Bv, Eq, Hu, Mu
Applications: Flow, ICC/IF, IHC-WhMt, IHC, IHC-Fr,  IHC-P, IP, KD, WB
NBP2-67766
Species: Hu, Mu, Rt
Applications: Flow, ICC/IF, IHC,  IHC-P, IP, WB
AF1396
Species: Hu
Applications: WB
NBP2-67327
Species: Hu, Mu, Rt
Applications: Flow, ICC/IF, IHC,  IHC-P, IP, WB
AF3846
Species: Hu, Mu, Rt
Applications: IHC, WB
2428-FC
Species: Hu
Applications: Bind
NBP1-81838
Species: Hu
Applications: IHC,  IHC-P, WB
NBP1-32695
Species: Hu, Mu
Applications: ICC/IF, IHC,  IHC-P, IP, WB
NBP1-92564
Species: Hu
Applications: ICC/IF, IHC,  IHC-P
NBP1-91931
Species: Hu
Applications: ICC/IF, IHC,  IHC-P, WB

Publications for Nudel Antibody (NBP2-76854) (0)

There are no publications for Nudel Antibody (NBP2-76854).
By submitting your publication information earn gift cards and discounts for future purchases.

Reviews for Nudel Antibody (NBP2-76854) (0)

There are no reviews for Nudel Antibody (NBP2-76854). By submitting a review you will receive an Amazon e-Gift Card or Novus Product Discount.
  • Review with no image -- $10/€7/£6/$10 CAD/¥70 Yuan/¥1110 Yen
  • Review with an image -- $25/€18/£15/$25 CAD/¥150 Yuan/¥2500 Yen

Product General Protocols

Find general support by application which include: protocols, troubleshooting, illustrated assays, videos and webinars.

Video Protocols

WB Video Protocol

FAQs for Nudel Antibody (NBP2-76854) (0)

There are no specific FAQs related to this product. Read our general customer & technical service FAQs.

Secondary Antibodies

 

Isotype Controls

Additional Nudel Products

Research Areas for Nudel Antibody (NBP2-76854)

Find related products by research area.

Blogs on Nudel

There are no specific blogs for Nudel, but you can read our latest blog posts.

Contact Information

Product PDFs

Calculators

Concentration Calculator

The concentration calculator allows you to quickly calculate the volume, mass or concentration of your vial. Simply enter your mass, volume, or concentration values for your reagent and the calculator will determine the rest.

=
÷

Review this Product

Be the first to review our Nudel Antibody (JG38-63) and receive a gift card or discount.

Bioinformatics

Gene Symbol NDEL1