NTAL Antibody

Images

 
Western Blot: NTAL Antibody [NBP1-44948] - Analysis (non-reducing conditions) of NTAL-transfected HEK-293 FT cells using polyclonal anti-human NTAL antibody. Lane 1: cell lysate of transfected HEK-293 FT cells Lane 2: ...read more
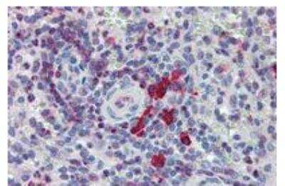
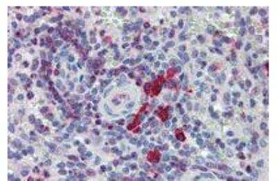
Immunohistochemistry: NTAL Antibody [NBP1-44948] - Staining of human spleen (paraffin sections) with anti-NTAL polyclonal.

Product Details

Summary
Product Discontinued
View other related NTAL Primary Antibodies

Order Details


    • Catalog Number
      NBP1-44948
    • Availability
      Product Discontinued

    Can't find what you are looking for? Use our Antibody Concierge Service & we will help you locate your antibody!

    Or feel free to contact us for alternative products.

NTAL Antibody Summary

Immunogen
Recombinant cytoplasmic domain (aa 91-243) of human NTAL.
Specificity
The polyclonal antibody recognizes the defined epitope (aa 91-243) of human Non-T cell Activation Linker (NTAL), also known as LAB (linker of activated B cells), a 30 kDa transmembrane adaptor protein present in membrane microdomains (rafts) of B cells, NK cells and myeloid cells.
Isotype
IgG
Clonality
Polyclonal
Host
Rabbit
Gene
LAT2
Purity
Affinity purified
Innovator's Reward
Test in a species/application not listed above to receive a full credit towards a future purchase.

Applications/Dilutions

Dilutions
  • Immunohistochemistry 10 ug/ml
  • Immunohistochemistry-Paraffin 10 ug/ml
  • Western Blot 1 ug/ml
Application Notes
Western Blot: Incubation 60 min in RT; or overnight at 4C Non-Reducing conditions. 15% separating SDS-PAGE gel.
Theoretical MW
30 kDa.
Disclaimer note: The observed molecular weight of the protein may vary from the listed predicted molecular weight due to post translational modifications, post translation cleavages, relative charges, and other experimental factors.

Packaging, Storage & Formulations

Storage
Store at 4C. Do not freeze.
Buffer
PBS (pH 7.4)
Preservative
0.09% Sodium Azide
Concentration
1 mg/ml
Purity
Affinity purified

Alternate Names for NTAL Antibody

  • LAB
  • LABWilliams-Beuren syndrome chromosomal region 15 protein
  • Linker for activation of B-cells
  • linker for activation of T cells family, member 2
  • linker for activation of T-cells family member 2
  • Membrane-associated adapter molecule
  • Non-T-cell activation linker
  • NTAL
  • NTALWilliams-Beuren syndrome chromosomal region 5 protein
  • WBS15
  • WBSCR15
  • WBSCR5
  • WBSCR5HSPC046
  • Williams-Beuren syndrome chromosome region 5
  • WSCR5

Background

Williams-Beuren syndrome is a contiguous gene disorder resulting in chromosome damage.

Limitations

This product is for research use only and is not approved for use in humans or in clinical diagnosis. Primary Antibodies are guaranteed for 1 year from date of receipt.

Customers Who Viewed This Item Also Viewed...

NBP2-27104
Species: Hu, Mu, Pm
Applications: IHC,  IHC-P, WB
NBP2-50465
Species: Hu
Applications: CyTOF-ready, Flow-CS, Flow, IHC,  IHC-P
NB100-796
Species: Hu
Applications: IHC,  IHC-P, PEP-ELISA, WB
NBP1-92440
Species: Hu
Applications: IHC,  IHC-P
NBP2-80662
Species: Hu
Applications: CyTOF-ready, Flow-CS, Flow, IHC,  IHC-P, WB
DY8198-05
Species: Hu
Applications: ELISA
DY417
Species: Mu
Applications: ELISA
NBP1-47989
Species: Hu, Mu, Rt
Applications: IHC,  IHC-P, WB
AF3846
Species: Hu, Mu, Rt
Applications: IHC, WB
AF3398
Species: Hu, Mu, Rt
Applications: ICC, KO, Simple Western, WB
6507-IL/CF
Species: Hu
Applications: BA
NB500-487
Species: Bv, Hu, Mu, Rt
Applications: IHC,  IHC-P, IP, WB
AF1230
Species: Hu, Mu, Rt
Applications: IHC, KO, WB
NBP2-22203
Species: Hu, Pm, Mu, Rt
Applications: ELISA, Flow, ICC/IF, IHC,  IHC-P, WB
AF009
Species: Hu
Applications: IHC, WB
AF5129
Species: Hu
Applications: WB
AF1356
Species: Hu, Mu
Applications: CyTOF-ready, Dual ISH-IHC, Flow, IHC, Simple Western, WB

Publications for NTAL Antibody (NBP1-44948) (0)

There are no publications for NTAL Antibody (NBP1-44948).
By submitting your publication information earn gift cards and discounts for future purchases.

Reviews for NTAL Antibody (NBP1-44948) (0)

There are no reviews for NTAL Antibody (NBP1-44948). By submitting a review you will receive an Amazon e-Gift Card or Novus Product Discount.
  • Review with no image -- $10/€7/£6/$10 CAD/¥70 Yuan/¥1110 Yen
  • Review with an image -- $25/€18/£15/$25 CAD/¥150 Yuan/¥2500 Yen

Product General Protocols

Find general support by application which include: protocols, troubleshooting, illustrated assays, videos and webinars.

Video Protocols

WB Video Protocol

FAQs for NTAL Antibody (NBP1-44948) (0)

There are no specific FAQs related to this product. Read our general customer & technical service FAQs.

Contact Information

Product PDFs

Calculators

Concentration Calculator

The concentration calculator allows you to quickly calculate the volume, mass or concentration of your vial. Simply enter your mass, volume, or concentration values for your reagent and the calculator will determine the rest.

=
÷

Review this Product

Be the first to review our NTAL Antibody and receive a gift card or discount.

Bioinformatics

Gene Symbol LAT2