NT-proBNP Antibody (9H6B4)

Images

 
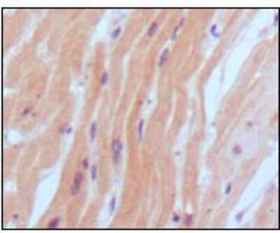
Immunohistochemistry: proBNP Antibody (9H6B4) [NBP1-47508] - Analysis of human normal myocardium, showing cytoplasmic localization using BNP2 mouse mAb with DAB staining.

Product Details

Summary
Product Discontinued
View other related NT-proBNP Primary Antibodies

Order Details


    • Catalog Number
      NBP1-47508
    • Availability
      Product Discontinued

    Can't find what you are looking for? Use our Antibody Concierge Service & we will help you locate your antibody!

    Or feel free to contact us for alternative products.

NT-proBNP Antibody (9H6B4) Summary

Immunogen
Synthetic peptide corresponding to aa (Gly-Leu-Gln-Glu-Gln-Arg-Asn-His-Leu-Gln-Gly-Lys-Leu-Cys) of human NT-proBNP, conjugated to KLH.
Isotype
IgG1
Clonality
Monoclonal
Host
Mouse
Gene
NPPB
Purity
Unpurified
Innovator's Reward
Test in a species/application not listed above to receive a full credit towards a future purchase.

Applications/Dilutions

Dilutions
  • ELISA 1:10000
  • Immunohistochemistry 1:10 - 1:500
  • Immunohistochemistry-Paraffin 1:200 - 1:1000

Packaging, Storage & Formulations

Storage
Store at 4C short term. Aliquot and store at -20C long term. Avoid freeze-thaw cycles.
Buffer
Ascites
Preservative
0.03% Sodium Azide
Purity
Unpurified

Alternate Names for NT-proBNP Antibody (9H6B4)

  • BNP
  • brain type natriuretic peptide
  • Gamma-brain natriuretic peptide
  • natriuretic peptide precursor B
  • natriuretic peptides B
  • natriuretic protein

Limitations

This product is for research use only and is not approved for use in humans or in clinical diagnosis. Primary Antibodies are guaranteed for 1 year from date of receipt.

Customers Who Viewed This Item Also Viewed...

AF3366
Species: Hu
Applications: ICC, IHC, Simple Western, WB
NBP2-46617
Species: Hu, Mu, Rt
Applications: ICC/IF, IHC,  IHC-P, WB
DY1707
Species: Hu
Applications: ELISA
AF2905
Species: Hu
Applications: ELISA, ICC, WB
NBP1-31333
Species: Hu, Mu, Rb, Rt
Applications: WB
QET00B
Species: Hu
Applications: ELISA
NBP1-30027
Species: Hu, Mu, Rt
Applications: ICC/IF, IHC,  IHC-P, WB
AF1513
Species: Mu
Applications: CyTOF-ready, Flow, IHC, IP, Simple Western, WB
AF4277
Species: Mu
Applications: ELISA(Cap), ELISA(Det), ELISA(Sta), IHC, IP, WB
M6000B
Species: Mu
Applications: ELISA
NBP3-12239
Species: Hu, Mu, Rt
Applications: ELISA, ICC/IF, IHC,  IHC-P, IP, WB
AF5739
Species: Hu, Mu, Rt
Applications: WB
AF009
Species: Hu
Applications: IHC, WB

Publications for BNP Antibody (NBP1-47508) (0)

There are no publications for BNP Antibody (NBP1-47508).
By submitting your publication information earn gift cards and discounts for future purchases.

Reviews for BNP Antibody (NBP1-47508) (0)

There are no reviews for BNP Antibody (NBP1-47508). By submitting a review you will receive an Amazon e-Gift Card or Novus Product Discount.
  • Review with no image -- $10/€7/£6/$10 CAD/¥70 Yuan/¥1110 Yen
  • Review with an image -- $25/€18/£15/$25 CAD/¥150 Yuan/¥2500 Yen

Product General Protocols

Find general support by application which include: protocols, troubleshooting, illustrated assays, videos and webinars.

FAQs for BNP Antibody (NBP1-47508) (0)

There are no specific FAQs related to this product. Read our general customer & technical service FAQs.

Secondary Antibodies

 

Isotype Controls

Additional NT-proBNP Products

Research Areas for BNP Antibody (NBP1-47508)

Find related products by research area.

Blogs on NT-proBNP

There are no specific blogs for NT-proBNP, but you can read our latest blog posts.

Contact Information

Product PDFs

Calculators

Concentration Calculator

The concentration calculator allows you to quickly calculate the volume, mass or concentration of your vial. Simply enter your mass, volume, or concentration values for your reagent and the calculator will determine the rest.

=
÷

Review this Product

Be the first to review our NT-proBNP Antibody (9H6B4) and receive a gift card or discount.

Bioinformatics

Gene Symbol NPPB
Entrez