NPM1 Antibody (NPM1/1902) - Azide and BSA Free

Images

 
Western Blot: NPM1 Antibody (NPM1/1902) - Azide and BSA Free [NBP2-79874] - Western Blot Analysis of A431 cell lysate using NPM1 Antibody (NPM1/1902).
Immunocytochemistry/ Immunofluorescence: NPM1 Antibody (NPM1/1902) - Azide and BSA Free [NBP2-79874] - Immunofluorescence staining of HeLa cells using NPM1-Monospecific Mouse Monoclonal Antibody (NPM1/1902) followed by ...read more
Immunohistochemistry-Paraffin: NPM1 Antibody (NPM1/1902) - Azide and BSA Free [NBP2-79874] - Formalin-fixed, paraffin-embedded human Basal Cell Carcinoma stained with NPM1 Antibody (NPM1/1902).
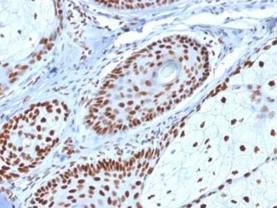
Immunohistochemistry-Paraffin: NPM1 Antibody (NPM1/1902) - Azide and BSA Free [NBP2-79874] - Formalin-fixed, paraffin-embedded human Colon Carcinoma stained with NPM1 Antibody (NPM1/1902).
Protein Array: NPM1 Antibody (NPM1/1902) - Azide and BSA Free [NBP2-79874] - Analysis of Protein Array containing more than 19,000 full-length human proteins using NPM1 Antibody (NPM1/1902) Z- and S- Score: The Z-score ...read more

Product Details

Summary
Reactivity HuSpecies Glossary
Applications WB, ELISA, ICC/IF, IHC, MA
Clone
NPM1/1902
Clonality
Monoclonal
Host
Mouse
Conjugate
Unconjugated
Format
Azide and BSA Free
Concentration
1 mg/ml

Order Details

NPM1 Antibody (NPM1/1902) - Azide and BSA Free Summary

Description
1.0 mg/ml of antibody purified from Bioreactor Concentrate by Protein A/G. Prepared in 10mM PBS WITHOUT BSA & azide. Also available at 200 ug/ml WITH BSA & azide (NBP2-79739).

Antibody with azide - store at 2 to 8C. Antibody without azide - store at -20 to -80 C.
Immunogen
Recombinant fragment (around aa185-287) of human NPM1 protein (exact sequence is proprietary) (Uniprot: P06748 )
Localization
Nuclear, Cytoplasmic
Marker
Acute Myeloid Leukemia Marker
Specificity
Recognizes a 33kDa glycoprotein, identified as NPM1 (NPM). It is predominantly localized in the nucleus of cells in most tissues. NPM is involved in ribosomal assembly and rRNA transport. It is an abundant protein that is highly phosphorylated by Cdc2 kinase during mitosis. This phosphoprotein moves between the nucleus and the cytoplasm. It is thought to be involved in several processes including regulation of the ARF/p53 pathway. A number of genes are fusion partners, in particular the anaplastic lymphoma kinase gene on chromosome 2. Mutations in exon 12 affecting the C-terminus of the protein are associated with an aberrant cytoplasmic location. Mutations in this gene are associated with acute myeloid leukemia. The antibody may be a useful aid for classification of acute myeloid leukemia.
Isotype
IgG2b Kappa
Clonality
Monoclonal
Host
Mouse
Gene
NPM1
Purity
Protein A or G purified
Innovator's Reward
Test in a species/application not listed above to receive a full credit towards a future purchase.

Applications/Dilutions

Dilutions
  • ELISA 2-4 ug/ml
  • Immunocytochemistry/ Immunofluorescence 1-2 ug/ml
  • Immunohistochemistry 1-2 ug/ml
  • Immunohistochemistry-Paraffin 1-2 ug/ml
  • Protein Array
  • Western Blot 1-2 ug/ml
Application Notes
ELISA: Use Ab at 2-4ug/ml for coating. Order Ab without BSA.
Immunohistochemistry (Formalin-fixed): 1-2ug/ml for 30 minutes at RT. Staining of formalin-fixed tissues requires heating tissue sections in 10mM Tris with 1mM EDTA, pH 9.0, for 45 min at 95C followed by cooling at RT for 20 minutes.
Optimal dilution for a specific application should be determined.
Theoretical MW
33 kDa.
Disclaimer note: The observed molecular weight of the protein may vary from the listed predicted molecular weight due to post translational modifications, post translation cleavages, relative charges, and other experimental factors.

Packaging, Storage & Formulations

Storage
Store at -20 to -80C. Avoid freeze-thaw cycles.
Buffer
10 mM PBS
Preservative
No Preservative
Concentration
1 mg/ml
Purity
Protein A or G purified

Alternate Names for NPM1 Antibody (NPM1/1902) - Azide and BSA Free

  • B23
  • MGC104254
  • NPM1
  • NPMnucleophosmin/nucleoplasmin family, member 1
  • Nucleolar phosphoprotein B23
  • Nucleolar protein NO38
  • nucleophosmin (nucleolar phosphoprotein B23, numatrin)
  • Nucleophosmin
  • Numatrin

Background

Nucleophosmin (NPM) is a multi-functional protein that is involved in many cellular activities including cell growth, proliferation and transformation. It is frequently overexpressed in solid tumors, and has recently been found to be mutated and aberrantly localized in the cytoplasm of leukaemic blasts in patients with acute myeloid leukemia (AML).

NMP antibodies are useful tools as tumor markers in cancer research.

Limitations

This product is for research use only and is not approved for use in humans or in clinical diagnosis. Primary Antibodies are guaranteed for 1 year from date of receipt.

Customers Who Viewed This Item Also Viewed...

MAB812
Species: Hu
Applications: CyTOF-ready, Flow
AF4210
Species: Hu
Applications: IHC, Simple Western, WB
NB600-241
Species: Hu, Mu, Pl, Rt
Applications: ChIP, ChIP, EM, ICC/IF, IHC-WhMt, IHC, IHC-Fr,  IHC-P, IM, KD, Simple Western, WB
NB200-106
Species: Mu, Rt
Applications: ELISA, ICC/IF, IHC, IHC-Fr,  IHC-P, WB
NB200-103
Species: Hu, Mu, Rt, Xp(-), Ye
Applications: CyTOF-ready, ELISA, Flow-IC, Flow, ICC/IF, IHC, IHC-Fr,  IHC-P, IP, WB
AF7094
Species: Hu
Applications: IHC
H00007178-M06
Species: Hu, Mu, Rt
Applications: ELISA, WB
NBP3-13279
Species: Hu, Mu, Rt
Applications: ICC/IF, IHC,  IHC-P, WB
NB110-57586
Species: Bv, Ch, Hu, Mu, Pm, Rb, Rt
Applications: IHC,  IHC-P, KD, WB
NB100-56161
Species: Hu, Mu, Rt
Applications: IHC,  IHC-P, IP, WB
NB300-576
Species: Ch, Gp, Hu, Mu, Pm, Rb, Rt, Xp
Applications: Flow, ICC/IF, IHC,  IHC-P, IP, WB
NB300-269
Species: Bv, Ce, Ch, Dr, Eq, Hu, Mu, Pl, Po, Rt, Y, Ye
Applications: Flow, ICC/IF, IHC-WhMt, IHC, IHC-Fr,  IHC-P, KD, WB
NBP2-46157
Species: Hu
Applications: Flow, IHC,  IHC-P, WB
NBP1-26612
Species: Hu
Applications: IP (-), WB
AF4117
Species: Rt
Applications: IHC, WB
MAB7049
Species: Hu
Applications: ICC, IHC, KO, Simple Western, WB
NB110-60011
Species: Hu
Applications: ICC/IF, IHC, IHC-Fr,  IHC-P, IP, Simple Western, WB
NBP2-00776
Species: Ca, Hu, Pm, Mu, Rt
Applications: Flow, ICC/IF, IHC,  IHC-P, WB

Publications for NPM1 Antibody (NBP2-79874) (0)

There are no publications for NPM1 Antibody (NBP2-79874).
By submitting your publication information earn gift cards and discounts for future purchases.

Reviews for NPM1 Antibody (NBP2-79874) (0)

There are no reviews for NPM1 Antibody (NBP2-79874). By submitting a review you will receive an Amazon e-Gift Card or Novus Product Discount.
  • Review with no image -- $10/€7/£6/$10 CAD/¥70 Yuan/¥1110 Yen
  • Review with an image -- $25/€18/£15/$25 CAD/¥150 Yuan/¥2500 Yen

Product General Protocols

Find general support by application which include: protocols, troubleshooting, illustrated assays, videos and webinars.

Video Protocols

WB Video Protocol
ICC/IF Video Protocol

FAQs for NPM1 Antibody (NBP2-79874) (0)

There are no specific FAQs related to this product. Read our general customer & technical service FAQs.

Customers Who Bought This Also Bought

Contact Information

Product PDFs

Calculators

Concentration Calculator

The concentration calculator allows you to quickly calculate the volume, mass or concentration of your vial. Simply enter your mass, volume, or concentration values for your reagent and the calculator will determine the rest.

=
÷

Review this Product

Be the first to review our NPM1 Antibody (NPM1/1902) - Azide and BSA Free and receive a gift card or discount.

Bioinformatics

Gene Symbol NPM1