NFYB Antibody

Images

 
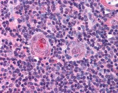
Immunohistochemistry-Paraffin: NFYB Antibody [NBP1-02912] - Staining of human thymus. Immunohistochemistry of formalin-fixed, paraffin-embedded tissue after heat-induced antigen retrieval. Antibody dilution 1:500.

Product Details

Summary
Product Discontinued
View other related NFYB Primary Antibodies

Order Details


    • Catalog Number
      NBP1-02912
    • Availability
      Product Discontinued

    Can't find what you are looking for? Use our Antibody Concierge Service & we will help you locate your antibody!

    Or feel free to contact us for alternative products.

NFYB Antibody Summary

Immunogen
NF-Y (B subunit specific) peptide corresponding to a region near the N-terminus of the human protein, conjugated with KLH.
Localization
Nucleus
Specificity
NF-Y (B subunit specific) peptide corresponding to a region near the N-terminus of the human protein conjugated to Keyhole Limpet Hemocyanin (KLH).
Isotype
IgG
Clonality
Polyclonal
Host
Rabbit
Gene
NFYB
Purity
Delipidation and Defibrination
Innovator's Reward
Test in a species/application not listed above to receive a full credit towards a future purchase.

Applications/Dilutions

Dilutions
  • ELISA 1:5000 - 1:25000
  • Gel Super Shift Assays 1:1-1:100
  • Immunocytochemistry/ Immunofluorescence 1:10-1:500
  • Immunohistochemistry 1:10-1:500
  • Immunohistochemistry-Paraffin 1:500
  • Immunoprecipitation 1:10-1:500
  • Western Blot 1:500 - 1:3000
Theoretical MW
23 kDa.
Disclaimer note: The observed molecular weight of the protein may vary from the listed predicted molecular weight due to post translational modifications, post translation cleavages, relative charges, and other experimental factors.

Packaging, Storage & Formulations

Storage
Store at 4C short term. Aliquot and store at -20C long term. Avoid freeze-thaw cycles.
Buffer
Delipidated and defibrinated serum
Preservative
0.01% Sodium Azide
Concentration
90 mg/ml
Purity
Delipidation and Defibrination

Alternate Names for NFYB Antibody

  • CAAT box DNA-binding protein subunit B
  • CBF-A
  • HAP3CBF-B
  • NF-YBCCAAT-binding transcription factor subunit A
  • Nuclear transcription factor Y subunit B
  • nuclear transcription factor Y subunit beta
  • nuclear transcription factor Y, beta
  • Transcription factor NF-Y, B subunit

Background

The protein encoded by the NFYB gene is one subunit of a trimeric complex, forming a highly conserved transcription factor that binds with high specificity to CCAAT motifs in the promoter regions in a variety of genes. This gene product, subunit B, forms a tight dimer with the C subunit, a prerequisite for subunit A association. The resulting trimer binds to DNA with high specificity and affinity. Subunits B and C each contain a histone-like motif. Observation of the histone nature of these subunits is supported by two types of evidence; protein sequence alignments and experiments with mutants. (provided by RefSeq)

Limitations

This product is for research use only and is not approved for use in humans or in clinical diagnosis. Primary Antibodies are guaranteed for 1 year from date of receipt.

Customers Who Viewed This Item Also Viewed...

NBP2-47525
Species: Hu
Applications: IHC,  IHC-P, WB
NBP2-19533
Species: Hu, Mu, Rt
Applications: ICC/IF, IHC,  IHC-P, WB
H00004802-M01
Species: Hu
Applications: ELISA, ICC/IF, IHC,  IHC-P, KD, WB
NB110-74569
Species: Hu, Mu, Rt
Applications: Flow, ICC/IF, IHC, IHC-Fr,  IHC-P, IP, WB
NB100-116
Species: Hu, Mu, Pm, Rt
Applications: ChIP, ELISA, GS, IB, ICC/IF, IHC, IHC-Fr,  IHC-P, IP, KD, PLA, Simple Western, WB
NB100-2593
Species: Hu, Mu
Applications: IHC,  IHC-P, IP, WB
NB100-56082
Species: Hu, Mu, Rt
Applications: IHC,  IHC-P, IP, WB
NBP2-98903
Species: Hu, Mu
Applications: ICC/IF, IHC,  IHC-P
NBP1-88871
Species: Hu
Applications: ICC/IF, IHC,  IHC-P
NB600-233
Species: Hu, Mu
Applications: ChIP, CHIP-SEQ, IHC,  IHC-P, IP, WB
3047-CC
Species: Hu
Applications: BA
DPSG10
Species: Hu
Applications: ELISA
NBP2-45731
Species: Ca, Hu, Pm
Applications: IHC,  IHC-P, WB
NBP2-36776
Species: Hu
Applications: ICC/IF, IHC,  IHC-P, KD, WB
NBP2-16865
Species: Hu, Ze
Applications: ChIP, ICC/IF, IHC-WhMt, IHC,  IHC-P, IP, KO, WB
NBP3-48071
Species: Hu, Mu, Rt
Applications: ELISA, IHC, WB
NBP1-86872
Species: Hu, Mu, Rt
Applications: ICC/IF, IHC,  IHC-P, WB
NB100-616
Species: Hu, Mu, Md, Pm, Rt
Applications: ChIP, EM, Flow-IC, Flow, ICC/IF, IP, In vitro, KD, WB

Publications for NFYB Antibody (NBP1-02912) (0)

There are no publications for NFYB Antibody (NBP1-02912).
By submitting your publication information earn gift cards and discounts for future purchases.

Reviews for NFYB Antibody (NBP1-02912) (0)

There are no reviews for NFYB Antibody (NBP1-02912). By submitting a review you will receive an Amazon e-Gift Card or Novus Product Discount.
  • Review with no image -- $10/€7/£6/$10 CAD/¥70 Yuan/¥1110 Yen
  • Review with an image -- $25/€18/£15/$25 CAD/¥150 Yuan/¥2500 Yen

Product General Protocols

Find general support by application which include: protocols, troubleshooting, illustrated assays, videos and webinars.

Video Protocols

WB Video Protocol
ICC/IF Video Protocol

FAQs for NFYB Antibody (NBP1-02912) (0)

There are no specific FAQs related to this product. Read our general customer & technical service FAQs.

Secondary Antibodies

 

Isotype Controls

Additional NFYB Products

Research Areas for NFYB Antibody (NBP1-02912)

Find related products by research area.

Blogs on NFYB

There are no specific blogs for NFYB, but you can read our latest blog posts.

Contact Information

Product PDFs

Calculators

Concentration Calculator

The concentration calculator allows you to quickly calculate the volume, mass or concentration of your vial. Simply enter your mass, volume, or concentration values for your reagent and the calculator will determine the rest.

=
÷

Review this Product

Be the first to review our NFYB Antibody and receive a gift card or discount.

Bioinformatics

Gene Symbol NFYB
Entrez
Uniprot