NDUFAB1 Antibody

Images

 
Western Blot: NDUFAB1 Antibody [NBP2-19502] - Sample (30 ug of whole cell lysate) A: 293T 12% SDS PAGE gel, diluted at 1:1000.
Immunocytochemistry/ Immunofluorescence: NDUFAB1 Antibody [NBP2-19502] - Sample: A431 cells were fixed in iced-cold MeOH for 5 min. Green: NDUFAB1 protein stained by NDUFAB1 antibody diluted at 1:500. Blue: Hoechst ...read more
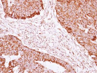
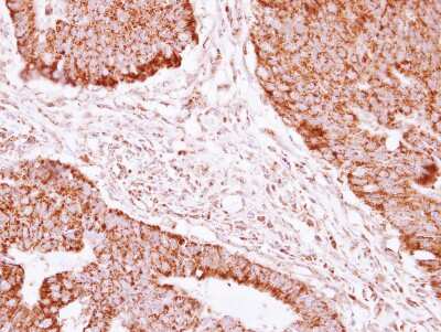
Immunohistochemistry-Paraffin: NDUFAB1 Antibody [NBP2-19502] - Immunohistochemical analysis of paraffin-embedded Colon ca, using antibody at 1:250 dilution.
Western Blot: NDUFAB1 Antibody [NBP2-19502] - 30 ug C8D30 whole cell lysate/extract 12 % SDS-PAGE NDUFAB1 antibody dilution: 1:1000.
Western Blot: NDUFAB1 Antibody [NBP2-19502] - 30 ug PC-12 whole cell lysate/extract 12 % SDS-PAGE NDUFAB1 antibody dilution: 1:5000.

Product Details

Summary
Product Discontinued
View other related NDUFAB1 Primary Antibodies

Order Details


    • Catalog Number
      NBP2-19502
    • Availability
      Product Discontinued

    Can't find what you are looking for? Use our Antibody Concierge Service & we will help you locate your antibody!

    Or feel free to contact us for alternative products.

NDUFAB1 Antibody Summary

Immunogen
Recombinant protein encompassing a sequence within the center region of human NDUFAB1. The exact sequence is proprietary.
Localization
Mitochondrion
Isotype
IgG
Clonality
Polyclonal
Host
Rabbit
Gene
NDUFAB1
Purity
Immunogen affinity purified
Innovator's Reward
Test in a species/application not listed above to receive a full credit towards a future purchase.

Applications/Dilutions

Dilutions
  • Immunocytochemistry/ Immunofluorescence 1:100-1:1000
  • Immunohistochemistry 10 - 1:500
  • Immunohistochemistry-Paraffin 1:100-1:1000
  • Western Blot 1:1000-1:10000
Theoretical MW
17 kDa.
Disclaimer note: The observed molecular weight of the protein may vary from the listed predicted molecular weight due to post translational modifications, post translation cleavages, relative charges, and other experimental factors.

Packaging, Storage & Formulations

Storage
Aliquot and store at -20C or -80C. Avoid freeze-thaw cycles.
Buffer
PBS (pH 7), 20% Glycerol, 1% BSA
Preservative
0.01% Thimerosal
Purity
Immunogen affinity purified

Alternate Names for NDUFAB1 Antibody

  • ACPMGC65095
  • acyl carrier protein, mitochondrial
  • CI-SDAP
  • complex I SDAP subunit
  • FASN2A
  • mitochondrial acyl carrier protein
  • NADH dehydrogenase (ubiquinone) 1, alpha/beta subcomplex, 1 (8kD, SDAP)
  • NADH dehydrogenase (ubiquinone) 1, alpha/beta subcomplex, 1, 8kDa
  • NADH:ubiquinone oxidoreductase SDAP subunit
  • NADH-ubiquinone oxidoreductase 9.6 kDa subunit
  • SDAP

Background

Carrier of the growing fatty acid chain in fatty acid biosynthesis in mitochondria. Accessory and non-catalytic subunit of the mitochondrial membrane respiratory chain NADH dehydrogenase (Complex I), which functions in the transfer of electrons from NADH to the respiratory chain.

Limitations

This product is for research use only and is not approved for use in humans or in clinical diagnosis. Primary Antibodies are guaranteed for 1 year from date of receipt.

Customers Who Viewed This Item Also Viewed...

DPI00
Species: Hu
Applications: ELISA
NB110-3638
Species: Hu, Mu, Rt
Applications: ELISA, Flow, ICC/IF, IHC, IHC-Fr,  IHC-P, RI, WB
NBP1-89133
Species: Hu
Applications: ICC/IF, IHC,  IHC-P, WB
NBP2-92749
Species: Hu, Mu
Applications: ELISA, WB
DCC270
Species: Hu
Applications: ELISA
NBP3-15742
Species: Hu, Mu, Rt
Applications: IHC,  IHC-P, WB
NBP3-25358
Species: Hu, Mu, Rt
Applications: IHC,  IHC-P, WB
NB400-114
Species: Ch, Fe, Ha, Hu, Mu, Pl, Po, Pm, Rt
Applications: ICC/IF, IHC,  IHC-P, IP, KD, WB
NBP2-46538
Species: Hu, Mu, Rt
Applications: IHC,  IHC-P, WB
AF3398
Species: Hu, Mu, Rt
Applications: ICC, KO, Simple Western, WB
NB120-13550
Species: Hu, Mu, Rt
Applications: ICC/IF, IHC,  IHC-P, WB
NBP1-84730
Species: Hu
Applications: ICC/IF, IHC,  IHC-P, WB
NBP2-20383
Species: Hu, Mu
Applications: ICC/IF, IHC,  IHC-P, WB
NB200-540
Species: Ec, Mu
Applications: CyTOF-ready, Flow-IC, Flow, IA, ICC/IF, IHC, IHC-Fr,  IHC-P, IP
NBP1-86616
Species: Hu
Applications: IHC,  IHC-P, WB
NBP2-58917
Species: Hu
Applications: IHC,  IHC-P, WB
NBP2-45978
Species: Hu
Applications: Flow, IHC,  IHC-P, WB
NBP2-01506
Species: Hu
Applications: Flow, ICC/IF, IHC,  IHC-P, WB
NBP1-87069
Species: Hu, Mu
Applications: ICC/IF, IHC,  IHC-P, KD, Simple Western, WB
NBP2-19502
Species: Hu, Mu, Rt
Applications: WB, ICC/IF, IHC
⚠ WARNING: This product can expose you to chemicals including mercury, which is known to the State of California to cause reproductive toxicity with developmental effects.  For more information go to www.P65Warnings.ca.gov.

Publications for NDUFAB1 Antibody (NBP2-19502) (0)

There are no publications for NDUFAB1 Antibody (NBP2-19502).
By submitting your publication information earn gift cards and discounts for future purchases.

Reviews for NDUFAB1 Antibody (NBP2-19502) (0)

There are no reviews for NDUFAB1 Antibody (NBP2-19502). By submitting a review you will receive an Amazon e-Gift Card or Novus Product Discount.
  • Review with no image -- $10/€7/£6/$10 CAD/¥70 Yuan/¥1110 Yen
  • Review with an image -- $25/€18/£15/$25 CAD/¥150 Yuan/¥2500 Yen

Product General Protocols

Find general support by application which include: protocols, troubleshooting, illustrated assays, videos and webinars.

Video Protocols

WB Video Protocol
ICC/IF Video Protocol

FAQs for NDUFAB1 Antibody (NBP2-19502) (0)

There are no specific FAQs related to this product. Read our general customer & technical service FAQs.

Secondary Antibodies

 

Isotype Controls

Additional NDUFAB1 Products

Research Areas for NDUFAB1 Antibody (NBP2-19502)

Find related products by research area.

Blogs on NDUFAB1

There are no specific blogs for NDUFAB1, but you can read our latest blog posts.

Contact Information

Product PDFs

Calculators

Concentration Calculator

The concentration calculator allows you to quickly calculate the volume, mass or concentration of your vial. Simply enter your mass, volume, or concentration values for your reagent and the calculator will determine the rest.

=
÷

Review this Product

Be the first to review our NDUFAB1 Antibody and receive a gift card or discount.

Bioinformatics

Gene Symbol NDUFAB1
Uniprot