N-WASP Antibody (JU07-31)

Images

 
Western Blot: N-WASP Antibody (JU07-31) [NBP2-75599] - Analysis of WASL on mouse Human serum lysates using anti-Ubiquitin antibody at 1/500 dilution.
Immunocytochemistry/ Immunofluorescence: N-WASP Antibody (JU07-31) [NBP2-75599] - Staining WASL in SH-SY5Y cells (green). The nuclear counter stain is DAPI (blue). Cells were fixed in paraformaldehyde, permeabilised ...read more
Immunohistochemistry-Paraffin: N-WASP Antibody (JU07-31) [NBP2-75599] - Analysis of paraffin-embedded mouse brain tissue using anti-WASL antibody. Counter stained with hematoxylin.
Flow Cytometry: N-WASP Antibody (JU07-31) [NBP2-75599] - Analysis of K562 cells with WASL antibody at 1/100 dilution (red) compared with an unlabelled control (cells without incubation with primary antibody; black).
Immunocytochemistry/ Immunofluorescence: N-WASP Antibody (JU07-31) [NBP2-75599] - Staining WASL in SK-Br-3 cells (green). The nuclear counter stain is DAPI (blue). Cells were fixed in paraformaldehyde, permeabilised ...read more
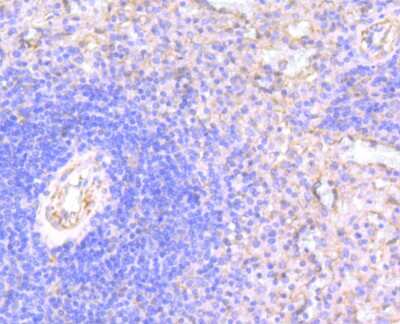
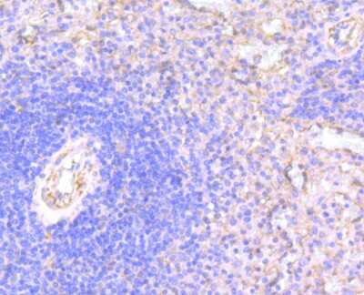
Immunohistochemistry-Paraffin: N-WASP Antibody (JU07-31) [NBP2-75599] - Analysis of paraffin-embedded human spleen tissue using anti-WASL antibody. Counter stained with hematoxylin.
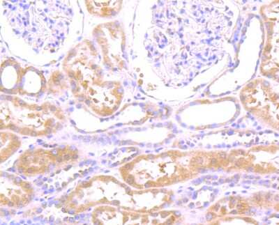
Immunohistochemistry-Paraffin: N-WASP Antibody (JU07-31) [NBP2-75599] - Analysis of paraffin-embedded human kidney tissue using anti-WASL antibody. Counter stained with hematoxylin.
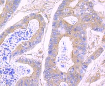
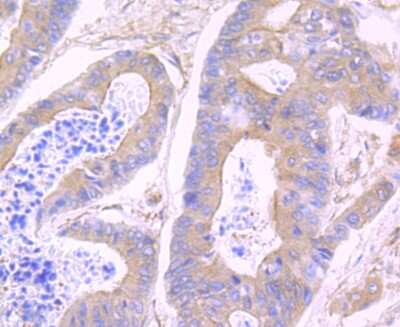
Immunohistochemistry-Paraffin: N-WASP Antibody (JU07-31) [NBP2-75599] - Analysis of paraffin-embedded human colon cancer tissue using anti-WASL antibody. Counter stained with hematoxylin.
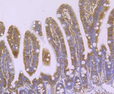
Immunohistochemistry-Paraffin: N-WASP Antibody (JU07-31) [NBP2-75599] - Analysis of paraffin-embedded mouse colon tissue using anti-WASL antibody. Counter stained with hematoxylin.

Product Details

Summary
Product Discontinued
View other related N-WASP Primary Antibodies

Order Details


    • Catalog Number
      NBP2-75599
    • Availability
      Product Discontinued

    Can't find what you are looking for? Use our Antibody Concierge Service & we will help you locate your antibody!

    Or feel free to contact us for alternative products.

N-WASP Antibody (JU07-31) Summary

Additional Information
Recombinant Monoclonal Antibody.
Immunogen
Synthetic peptide within Human N-WASP aa 401-450 / 505. (SwissProt: O00401 Human; SwissProt: Q91YD9 Mouse)
Localization
Cytoplasm, cytoskeleton. Nucleus.
Isotype
IgG
Clonality
Monoclonal
Host
Rabbit
Gene
WASL
Purity
Protein A purified
Innovator's Reward
Test in a species/application not listed above to receive a full credit towards a future purchase.

Applications/Dilutions

Dilutions
  • Flow Cytometry 1:50-1:100
  • Immunocytochemistry/ Immunofluorescence 1:50-1:200
  • Immunohistochemistry
  • Immunohistochemistry-Paraffin 1:50-1:200
  • Western Blot 1:500-1:2000
Theoretical MW
55 kDa.
Disclaimer note: The observed molecular weight of the protein may vary from the listed predicted molecular weight due to post translational modifications, post translation cleavages, relative charges, and other experimental factors.

Packaging, Storage & Formulations

Storage
Store at 4C short term. Aliquot and store at -20C long term. Avoid freeze-thaw cycles.
Buffer
TBS (pH7.4), 0.05% BSA, 40% Glycerol
Preservative
0.05% Sodium Azide
Concentration
1 mg/ml
Purity
Protein A purified

Alternate Names for N-WASP Antibody (JU07-31)

  • NWASP
  • N-WASP
  • N-WASPneural WiskNWASP
  • TRS4
  • WASL
  • WiskDKFZp779G0847
  • WiskMGC48327

Background

The Wiskott-Aldrich syndrome (WAS) family of proteins share similar domain structure, and are involved in transduction of signals from receptors on the cell surface to the actin cytoskeleton. The presence of a number of different motifs suggests that they are regulated by a number of different stimuli, and interact with multiple proteins. Recent studies have demonstrated that these proteins, directly or indirectly, associate with the small GTPase, Cdc42, known to regulate formation of actin filaments, and the cytoskeletal organizing complex, Arp2/3. The WASL gene product is a homolog of WAS protein, however, unlike the latter, it is ubiquitously expressed and shows highest expression in neural tissues. It has been shown to bind Cdc42 directly, and induce formation of long actin microspikes.

Limitations

This product is for research use only and is not approved for use in humans or in clinical diagnosis. Primary Antibodies are guaranteed for 1 year from date of receipt.

Customers Who Viewed This Item Also Viewed...

H00010097-M01
Species: Hu
Applications: ELISA, IHC,  IHC-P, S-ELISA, WB
NB300-996
Species: Hu
Applications: Flow, ICC/IF, IHC,  IHC-P, PEP-ELISA, WB
AF1444
Species: Mu
Applications: IHC, WB
NBP1-30955
Species: Hu, Mu
Applications: ICC/IF, IHC,  IHC-P, WB
NBP3-16424
Species: Hu, Mu, Rt
Applications: ICC/IF, IHC,  IHC-P, WB
NBP2-67895
Species: Hu, Mu, Rt
Applications: Flow, IHC,  IHC-P, IP, WB
NBP1-86859
Species: Hu
Applications: IHC,  IHC-P, WB
NBP3-13180
Species: Hu, Mu, Rt
Applications: ICC/IF, IHC,  IHC-P, WB
NBP2-15971
Species: Hu, Mu, Rt
Applications: ICC/IF, IHC,  IHC-P, KO, WB
NBP2-37490
Species: Hu, Pm, Pm
Applications: CyTOF-ready, ELISA, Flow, IHC,  IHC-P, WB
NBP2-00555
Species: Hu, Mu, Rt
Applications: Flow, ICC/IF, IHC,  IHC-P, WB
NB100-91266
Species: Hu, Mu, Rt
Applications: ICC/IF, IHC, IHC-Fr,  IHC-P, WB
236-EG
Species: Hu
Applications: BA
AF2685
Species: Hu
Applications: IHC, Simple Western, WB
NBP2-37912
Species: Hu
Applications: ICC/IF, IHC,  IHC-P
AF231
Species: Hu
Applications: CyTOF-ready, Dual ISH-IHC, ELISA(Cap), ELISA(Det), ELISA(Sta), Flow, ICC, IHC, IP, Simple Western, WB
AF887
Species: Hu, Mu, Rt
Applications: CyTOF-ready, IHC, ICFlow, Simple Western, WB
MAB4675
Species: Mu
Applications: IHC, Neut, WB
H00000473-M06
Species: Hu
Applications: ELISA, ICC/IF, WB
H00057016-M01
Species: Hu
Applications: ELISA, ICC/IF, IHC,  IHC-P, S-ELISA, WB

Publications for N-WASP Antibody (NBP2-75599) (0)

There are no publications for N-WASP Antibody (NBP2-75599).
By submitting your publication information earn gift cards and discounts for future purchases.

Reviews for N-WASP Antibody (NBP2-75599) (0)

There are no reviews for N-WASP Antibody (NBP2-75599). By submitting a review you will receive an Amazon e-Gift Card or Novus Product Discount.
  • Review with no image -- $10/€7/£6/$10 CAD/¥70 Yuan/¥1110 Yen
  • Review with an image -- $25/€18/£15/$25 CAD/¥150 Yuan/¥2500 Yen

Product General Protocols

Find general support by application which include: protocols, troubleshooting, illustrated assays, videos and webinars.

Video Protocols

WB Video Protocol
ICC/IF Video Protocol

FAQs for N-WASP Antibody (NBP2-75599) (0)

There are no specific FAQs related to this product. Read our general customer & technical service FAQs.

Secondary Antibodies

 

Isotype Controls

Additional N-WASP Products

Research Areas for N-WASP Antibody (NBP2-75599)

Find related products by research area.

Blogs on N-WASP.

Repurposing FDA-approved drugs to combat the rise of antibiotic resistance
By Beth Melson, MSAntibiotic resistance is a global threat to public health. Widespread, inappropriate use of antibiotics, such as to treat viral infections or promote growth in livestock, has led to increased incid...  Read full blog post.

Contact Information

Product PDFs

Calculators

Concentration Calculator

The concentration calculator allows you to quickly calculate the volume, mass or concentration of your vial. Simply enter your mass, volume, or concentration values for your reagent and the calculator will determine the rest.

=
÷

Review this Product

Be the first to review our N-WASP Antibody (JU07-31) and receive a gift card or discount.

Bioinformatics

Gene Symbol WASL