MyoD Antibody (5.8A + MYD712)

Images

 
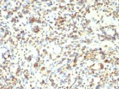
Immunohistochemistry-Paraffin: MyoD Antibody (5.8A + MYD712) [NBP2-34277] - Formalin-fixed, paraffin-embedded human Rhabdomyosarcoma stained with MyoD1 Monoclonal Antibody (5.8A+ MYD712)

Product Details

Summary
Product Discontinued
View other related MyoD Primary Antibodies

Order Details


    • Catalog Number
      NBP2-34277
    • Availability
      Product Discontinued

    Can't find what you are looking for? Use our Antibody Concierge Service & we will help you locate your antibody!

    Or feel free to contact us for alternative products.

MyoD Antibody (5.8A + MYD712) Summary

Immunogen
Recombinant mouse MyoD1 protein (5.8A) and Recombinant human MyoD1 protein (MYD712)
Localization
Nuclear. Only nuclear staining should be considered as evidence of skeletal muscle differentiation.
Marker
Rhabdomyosarcoma Marker
Specificity
Recognizes a phosphor-protein of 45kDa, identified as MyoD1. This MAb does not cross react with myogenin, Myf5, or Myf6. Antibody to MyoD1 labels the nuclei of myoblasts in developing muscle tissues. MyoD1 is not detected in normal adult tissue, but is highly expressed in the tumor cell nuclei of rhabdomyosarcomas. Occasionally nuclear expression of MyoD1 is seen in ectomesenchymoma and a subset of Wilm s tumors. Weak cytoplasmic staining is observed in several non-muscle tissues, including glandular epithelium and also in rhabdomyosarcomas, neuroblastomas, Ewing s sarcomas and alveolar soft part sarcomas.
Isotype
IgG
Clonality
Monoclonal
Host
Mouse
Gene
MYOD1
Purity
Protein A purified
Innovator's Reward
Test in a species/application not listed above to receive a full credit towards a future purchase.

Applications/Dilutions

Dilutions
  • Flow Cytometry 0.5-1ug/million cells
  • Immunocytochemistry/ Immunofluorescence 0.5-1ug/ml
  • Immunohistochemistry
  • Immunohistochemistry-Frozen 0.5-1ug/ml
  • Immunohistochemistry-Paraffin 0.5-1ug/ml
  • Immunoprecipitation 0.5-1ug/500ug protein lysate
  • Western Blot 0.25-0.5ug/ml
Application Notes
Human Chromosome Location: 11p15.1
Immunohistochemistry (Staining of formalin-fixed tissues is enhanced by boiling tissue sections in 1mM EDTA Buffer, pH 7.5-8.5, for 10-20 min followed by cooling at RT for 20 minutes). The 7mL size is a pre-diluted size and no additional dilutions are required before using this item for the intended application.
Theoretical MW
45 kDa.
Disclaimer note: The observed molecular weight of the protein may vary from the listed predicted molecular weight due to post translational modifications, post translation cleavages, relative charges, and other experimental factors.

Packaging, Storage & Formulations

Storage
Store at 4C.
Buffer
PBS with 0.05% BSA.
Preservative
0.05% Sodium Azide
Concentration
0.2 mg/ml
Purity
Protein A purified

Alternate Names for MyoD Antibody (5.8A + MYD712)

  • bHLHc1
  • bHLHc1BHLHC1
  • Class C basic helix-loop-helix protein 1
  • MYF3
  • MYF3Myf-3
  • MyoD
  • MYOD1
  • MYODmyoblast determination protein 1
  • myogenic differentiation 1
  • Myogenic factor 3myf-3
  • PUM

Background

The Myogenic determination gene (MyoD) was first identified by the virtue of its ability to convert embryonic mouse fibroblast cells to muscle cells. It was subsequently shown that forced expression of MyoD (human homolog is myf 3) gene in a wide variety of normal and neoplastic cells could either convert the cells to muscle cells or activate a set of the otherwise transcriptionally inactive muscle-specific genes in these cells. The regulatory domain of the MyoD gene product lies within a 70 amino acid region and comprises a basic DNA binding motif and a helix-loop-helix (HLH) dimerization motif. Subsequent studies identified three other genes whose products shared sequence homology for the basic HLH domain of MyoD. These are; myf5, myogenin (human homolog is myf4) and myf6 (also known as MRF4 and herculin).

Limitations

This product is for research use only and is not approved for use in humans or in clinical diagnosis. Primary Antibodies are guaranteed for 1 year from date of receipt.

Customers Who Viewed This Item Also Viewed...

MAB66861
Species: Hu
Applications: ICC, WB
NBP2-44245
Species: Hu, Mu, Rt
Applications: IHC,  IHC-P, WB
NBP1-52030
Species: Hu
Applications: PEP-ELISA, WB
AF3844
Species: Hu, Mu
Applications: IHC
NBP2-29463
Species: Pm, Hu, Pm, Mu
Applications: Flow, ICC/IF, IHC,  IHC-P, WB
MAB1675
Species: Ch, Hu, Mu, Rt
Applications: ICC, IHC
291-G1
Species: Hu
Applications: BA
788-G8/CF
Species: Hu, Mu, Rt
Applications: BA
H00004205-M15
Species: Hu
Applications: ELISA, ICC/IF, WB
MAB2457
Species: Hu, Mu
Applications: CyTOF-ready, ICC, ICFlow, WB
NBP2-46085
Species: Hu
Applications: IHC,  IHC-P, WB
H00027065-M01
Species: Hu, Rt
Applications: ELISA, ICC/IF, S-ELISA, WB
NBP1-89953
Species: Hu, Mu
Applications: IHC,  IHC-P
AF6116
Species: Hu
Applications: ICC, WB
MAB7650
Species: Mu
Applications: IHC, WB
NBP2-13957
Species: Hu
Applications: IHC,  IHC-P, WB
AF4377
Species: Hu, Mu
Applications: ICC, Simple Western, WB
MAB4470
Species: All-Multi
Applications: Flow, ICC, IHC, WB
NBP2-67471
Species: Hu, Mu, Rt
Applications: ICC/IF, IHC,  IHC-P, WB
NBP2-34277
Species: Hu, Mu, Rt
Applications: WB, Flow, ICC/IF, IHC, IP

Publications for MyoD Antibody (NBP2-34277) (0)

There are no publications for MyoD Antibody (NBP2-34277).
By submitting your publication information earn gift cards and discounts for future purchases.

Reviews for MyoD Antibody (NBP2-34277) (0)

There are no reviews for MyoD Antibody (NBP2-34277). By submitting a review you will receive an Amazon e-Gift Card or Novus Product Discount.
  • Review with no image -- $10/€7/£6/$10 CAD/¥70 Yuan/¥1110 Yen
  • Review with an image -- $25/€18/£15/$25 CAD/¥150 Yuan/¥2500 Yen

Product General Protocols

Video Protocols

WB Video Protocol
ICC/IF Video Protocol

FAQs for MyoD Antibody (NBP2-34277) (0)

There are no specific FAQs related to this product. Read our general customer & technical service FAQs.

Secondary Antibodies

 

Isotype Controls

Additional MyoD Products

Research Areas for MyoD Antibody (NBP2-34277)

Find related products by research area.

Blogs on MyoD

There are no specific blogs for MyoD, but you can read our latest blog posts.

Contact Information

Product PDFs

Calculators

Concentration Calculator

The concentration calculator allows you to quickly calculate the volume, mass or concentration of your vial. Simply enter your mass, volume, or concentration values for your reagent and the calculator will determine the rest.

=
÷

Review this Product

Be the first to review our MyoD Antibody (5.8A + MYD712) and receive a gift card or discount.

Bioinformatics

Gene Symbol MYOD1
Uniprot