MSH3 Antibody (CL14064) - Azide and BSA Free

Images

 
Staining in RH-30 cell line with Anti-MSH3 monoclonal antibody) .
Staining of human cerebellum shows moderate nuclear positivity in Purkinje cells.
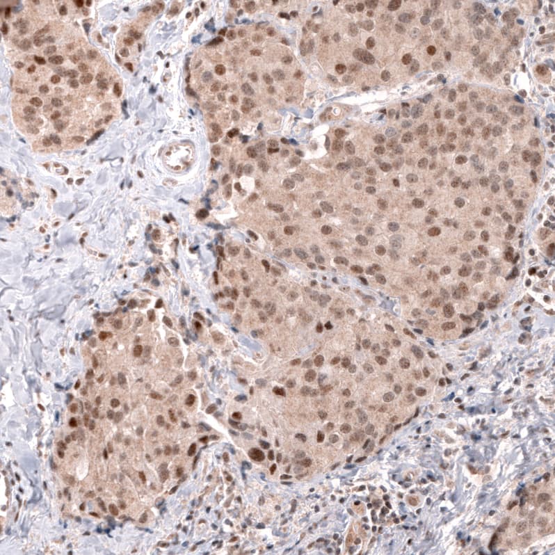
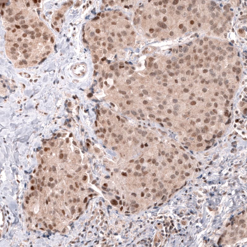
Staining of human breast cancer shows moderate to strong nuclear positivity in tumor cells.
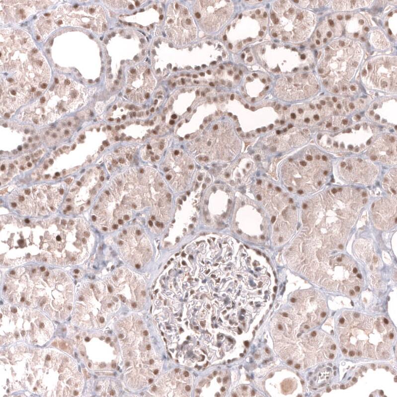
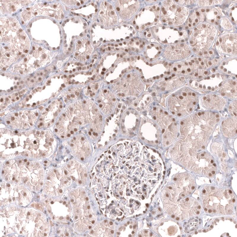
Staining of human kidney shows moderate nuclear positivity in cells in tubules and cells in glomeruli.
Staining of human endometrium shows moderate nuclear positivity in glandular and in stromal cells.
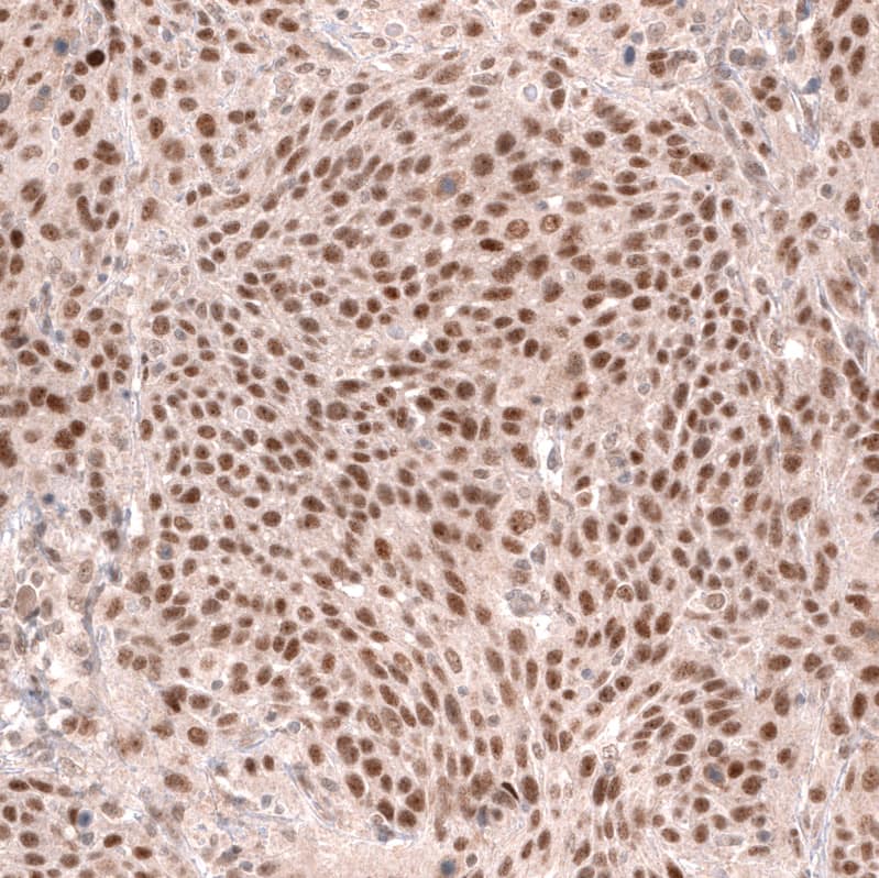
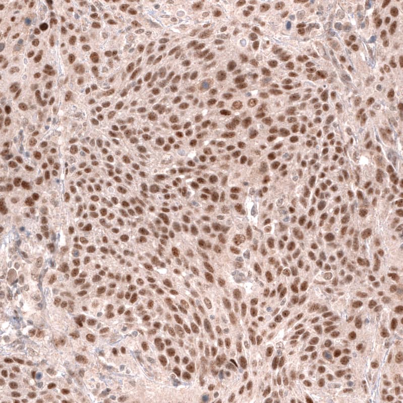
Staining of human cervical cancer shows strong nuclear positivity in tumor cells.
Staining of human colorectal cancer shows moderate to strong nuclear positivity in tumor cells.
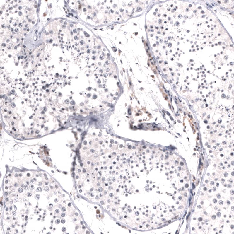
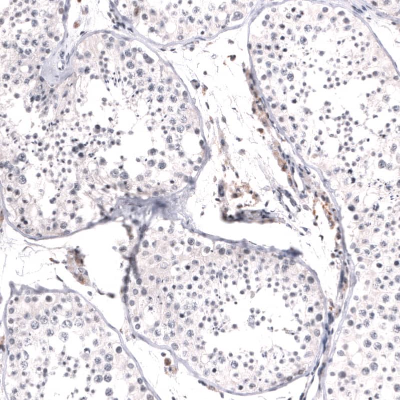
Staining of human testis shows no positivity in cells in seminiferous ducts.
Staining of human uterine cervix shows moderate nuclear positivity in squamous epithelial cells.
Analysis in human cell line U-251 MG.

Product Details

Summary
Reactivity HuSpecies Glossary
Applications WB, ICC/IF, IHC
Clone
CL14064
Clonality
Monoclonal
Host
Mouse
Conjugate
Unconjugated
Format
Azide and BSA Free
Concentration
LYOPH

Order Details

MSH3 Antibody (CL14064) - Azide and BSA Free Summary

Description
Novus Biologicals Mouse MSH3 Antibody (CL14064) - Azide and BSA Free (NBP3-24588) is a monoclonal antibody validated for use in IHC, WB and ICC/IF. All Novus Biologicals antibodies are covered by our 100% guarantee.
Immunogen
This antibody was generated using a synthetic peptide of P20585, with the exact immunogen sequence remaining proprietary.
Isotype
IgG2b
Clonality
Monoclonal
Host
Mouse
Gene
MSH3
Purity
Protein A purified
Innovator's Reward
Test in a species/application not listed above to receive a full credit towards a future purchase.

Applications/Dilutions

Dilutions
  • Immunocytochemistry/ Immunofluorescence 2-10 ug/ml
  • Immunohistochemistry-Paraffin 1:200 - 1:500
  • Western Blot 1 ug/ml
Application Notes
For IHC-Paraffin, we recommend using Heat-Induced Epitope Retrieval (HIER) with a pH level of 6. This optimized retrieval method ensures the best results for your experiments, For Immunocytochemistry/ Immunofluorescence/IF, we recommend using a combination of PFA and Triton X-100. This will give you the optimal results for your experiments.

Packaging, Storage & Formulations

Storage
Store at 4C short term. Aliquot and store at -20C long term. Avoid freeze-thaw cycles.
Buffer
Lyophilized from a 0.2 um filtered solution in PBS with Trehalose
Preservative
No Preservative
Concentration
LYOPH
Purity
Protein A purified
Reconstitution Instructions
Centrifuge the vial of lyophilized antibody at 12,000 x g for 20 seconds. Reconstitute by adding sterile, distilled water to achieve a final antibody concentration of 1mg/ml.

Alternate Names for MSH3 Antibody (CL14064) - Azide and BSA Free

  • Divergent upstream protein
  • DNA mismatch repair protein Msh3
  • DUC1
  • DUG
  • DUPMGC163306
  • hMSH3
  • Mismatch repair protein 1
  • MRP1MGC163308
  • mutS (E. coli) homolog 3
  • mutS homolog 3 (E. coli)

Background

The function of MSH3 is unknown. It is probably a DNA-repair protein. Defects in MSH3 are a cause of susceptibility to endometrial cancer.

Limitations

This product is for research use only and is not approved for use in humans or in clinical diagnosis. Primary Antibodies are guaranteed for 1 year from date of receipt.

Customers Who Viewed This Item Also Viewed...

NB400-156
Species: Hu, Mu, Rt
Applications: CyTOF-ready, Dual ISH-IHC, ELISA, Flow, ICC/IF, IHC, IP, Simple Western, WB
NBP2-67667
Species: Hu, Mu, Rt
Applications: ICC/IF, IHC, IHC-Fr,  IHC-P, WB
NBP1-69023
Species: Mu
Applications: WB
NBP2-22124
Species: Hu, Mu, Pm
Applications: ELISA, Flow, ICC/IF, IHC,  IHC-P, WB
NBP1-76670
Species: Hu, Rt
Applications: ELISA, IHC,  IHC-P, WB
NBP2-13415
Species: Hu
Applications: ICC/IF, IHC,  IHC-P
NBP3-07211
Species: Ca, Hu
Applications: Flow, ICC/IF, IHC,  IHC-P, Simple Western, WB
NBP2-38160
Species: Hu
Applications: ICC/IF, IHC,  IHC-P
NBP3-46186
Species: Hu, Mu, Rt
Applications: ELISA, IHC, IP, WB
NBP1-83319
Species: Hu, Mu, Rt
Applications: ICC/IF, IHC,  IHC-P, WB
NBP2-37923
Species: Hu
Applications: ICC/IF, IHC,  IHC-P
NBP2-67381
Species: Hu, Mu, Rt
Applications: Flow, ICC/IF, IHC,  IHC-P, IP, KO, WB
NBP1-82820
Species: Hu
Applications: ICC/IF, IHC,  IHC-P, Simple Western, WB
NBP3-41339
Species: Hu, Mu, Rt
Applications: IHC,  IHC-P, WB
NBP2-46467
Species: Hu, Mu, Rt
Applications: IHC,  IHC-P, WB
AF6278
Species: Hu, Mu
Applications: WB
NB100-1471
Species: Hu, Mu, Rt
Applications: ICC/IF, IHC, IHC-Fr,  IHC-P, PEP-ELISA, WB
NB100-64808
Species: Hu
Applications: ELISA, Flow, ICC/IF, IHC, IHC-Fr, IP, WB
NBP3-14454
Species: Hu
Applications: IHC,  IHC-P
NBP2-79854
Species: Hu
Applications: CyTOF-ready, Flow, ICC/IF, IHC,  IHC-P, PA, WB

Publications for MSH3 Antibody (NBP3-43856) (0)

There are no publications for MSH3 Antibody (NBP3-43856).
By submitting your publication information earn gift cards and discounts for future purchases.

Reviews for MSH3 Antibody (NBP3-43856) (0)

There are no reviews for MSH3 Antibody (NBP3-43856). By submitting a review you will receive an Amazon e-Gift Card or Novus Product Discount.
  • Review with no image -- $10/€7/£6/$10 CAD/¥70 Yuan/¥1110 Yen
  • Review with an image -- $25/€18/£15/$25 CAD/¥150 Yuan/¥2500 Yen

Product General Protocols

Find general support by application which include: protocols, troubleshooting, illustrated assays, videos and webinars.

Video Protocols

WB Video Protocol
ICC/IF Video Protocol

FAQs for MSH3 Antibody (NBP3-43856) (0)

There are no specific FAQs related to this product. Read our general customer & technical service FAQs.

Secondary Antibodies

 

Isotype Controls

Additional MSH3 Products

Array NBP3-43856

Research Areas for MSH3 Antibody (NBP3-43856)

Find related products by research area.

Blogs on MSH3

There are no specific blogs for MSH3, but you can read our latest blog posts.

Customers Who Bought This Also Bought

Contact Information

Product PDFs

Calculators

Concentration Calculator

The concentration calculator allows you to quickly calculate the volume, mass or concentration of your vial. Simply enter your mass, volume, or concentration values for your reagent and the calculator will determine the rest.

=
÷

Review this Product

Be the first to review our MSH3 Antibody (CL14064) - Azide and BSA Free and receive a gift card or discount.

Bioinformatics

Gene Symbol MSH3