MRPS2 Antibody (OTI4D6) - Azide and BSA Free

Images

 
Western Blot: MRPS2 Antibody (OTI4D6) - Azide and BSA Free [NBP2-72783] - HEK293T cells were transfected with the pCMV6-ENTRY control (Left lane) or pCMV6-ENTRY MRPS2 (Right lane) cDNA for 48 hrs and lysed. Equivalent ...read more
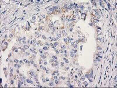
Immunohistochemistry: MRPS2 Antibody (OTI4D6) - Azide and BSA Free [NBP2-72783] - Staining of paraffin-embedded Carcinoma of Human lung tissue using anti-MRPS2 mouse monoclonal antibody.
Flow Cytometry: MRPS2 Antibody (OTI4D6) - Azide and BSA Free [NBP2-72783] - HEK293T cells transfected with either overexpression plasmid (Red) or empty vector control plasmid (Blue) were immunostaining by anti-MRPS2 ...read more
Flow Cytometry: MRPS2 Antibody (OTI4D6) - Azide and BSA Free [NBP2-72783] - Analysis of Hela cells, using anti-MRPS2 antibody, (Red), compared to a nonspecific negative control antibody (Blue).
Flow Cytometry: MRPS2 Antibody (OTI4D6) - Azide and BSA Free [NBP2-72783] - Analysis of Jurkat cells, using anti-MRPS2 antibody, (Red), compared to a nonspecific negative control antibody (Blue).

Product Details

Summary
Reactivity HuSpecies Glossary
Applications WB, Flow, IHC, CyTOF-ready
Clone
OTI4D6
Clonality
Monoclonal
Host
Mouse
Conjugate
Unconjugated
Format
Azide and BSA Free
Concentration
LYOPH

Order Details

MRPS2 Antibody (OTI4D6) - Azide and BSA Free Summary

Description
Novus Biologicals Mouse MRPS2 Antibody (OTI4D6) - Azide and BSA Free (NBP2-03292) is a monoclonal antibody validated for use in IHC, WB and Flow. All Novus Biologicals antibodies are covered by our 100% guarantee.
Immunogen
Full length human recombinant protein of human MRPS2 (NP_057118) produced in E.coli.
Isotype
IgG2a
Clonality
Monoclonal
Host
Mouse
Gene
MRPS2
Purity
Immunogen affinity purified
Innovator's Reward
Test in a species/application not listed above to receive a full credit towards a future purchase.

Applications/Dilutions

Dilutions
  • CyTOF-ready
  • Flow Cytometry 1:100
  • Immunohistochemistry 1:150
  • Immunohistochemistry-Paraffin
  • Western Blot 1:2000
Theoretical MW
33.1 kDa.
Disclaimer note: The observed molecular weight of the protein may vary from the listed predicted molecular weight due to post translational modifications, post translation cleavages, relative charges, and other experimental factors.

Packaging, Storage & Formulations

Storage
Store at -20C. Avoid freeze-thaw cycles.
Buffer
Lyophilized from PBS (pH 7.3) with 8% Trehalose
Preservative
No Preservative
Concentration
LYOPH
Purity
Immunogen affinity purified
Reconstitution Instructions
we recommend adding 100uL distilled water to a final antibody concentration of about 1 mg/mL. To use this carrier-free antibody for conjugation experiment, we strongly recommend performing another round of desalting process.

Alternate Names for MRPS2 Antibody (OTI4D6) - Azide and BSA Free

  • 28S ribosomal protein S2, mitochondrial
  • CGI-91
  • mitochondrial 28S ribosomal protein S2
  • mitochondrial ribosomal protein S2
  • MRP-S2
  • S2mt

Background

The Mitochondrial Ribosomal Protein S2, or MRPS2, consists of a 296 long amino acid isoform that is 33 kDa, and is involved in protein synthesis as a component of the 28S subunit on the mitochondrial ribosome. Disease research is currently being conducted on the relationship between MRPS2 and pneumonia and mycobacterium tuberculosis. MRPS2 has been linked to the process of translation, and interacts with MRPS5, ICT1, ESR2, MRPS14, and MRPS11.

Limitations

This product is for research use only and is not approved for use in humans or in clinical diagnosis. Primary Antibodies are guaranteed for 1 year from date of receipt.

Customers Who Viewed This Item Also Viewed...

AF2325
Species: Mu
Applications: Neut, WB
NBP2-43648
Species: Hu, Mu, Rt, Ze
Applications: ICC/IF, IHC,  IHC-P, WB
NBP3-38366
Species: Hu, Mu, Rt
Applications: ELISA, ICC/IF, IHC,  IHC-P, IP, WB
NBP3-46922
Species: Hu, Mu, Rt
Applications: ELISA, IHC, WB
NBP1-91942
Species: Hu, Mu, Rt
Applications: IHC,  IHC-P, WB
NBP1-18891
Species: Hu, Mu
Applications: IP, WB
NBP1-88509
Species: Hu
Applications: IHC,  IHC-P, WB
NBP2-15339
Species: Hu, Mu, Rt
Applications: IB, ICC/IF, IHC, IHC-Fr,  IHC-P, Simple Western, WB
NBP2-13954
Species: Hu, Mu, Rt
Applications: ICC/IF, IHC,  IHC-P, WB
AF4636
Species: Mu
Applications: WB
H00002938-M01
Species: Hu
Applications: ELISA, IHC,  IHC-P, S-ELISA, WB
NBP1-92137
Species: Hu, Mu, Rt
Applications: IHC,  IHC-P, WB
NBP2-97473
Species: Hu
Applications:  IHC-P, IP, WB
NBP2-29373
Species: Hu, Mu, Rt
Applications: Flow-CS, Flow, ICC/IF
AF3086
Species: Hu
Applications: IHC, WB
NB100-236
Species: Hu, Mu
Applications: IB, IHC, IHC-Fr, WB
NBP1-86787
Species: Hu, Mu, Rt
Applications: ICC/IF, IHC,  IHC-P, KD, WB
NBP2-45937
Species: Hu
Applications: IHC,  IHC-P, WB

Publications for MRPS2 Antibody (NBP2-72783) (0)

There are no publications for MRPS2 Antibody (NBP2-72783).
By submitting your publication information earn gift cards and discounts for future purchases.

Reviews for MRPS2 Antibody (NBP2-72783) (0)

There are no reviews for MRPS2 Antibody (NBP2-72783). By submitting a review you will receive an Amazon e-Gift Card or Novus Product Discount.
  • Review with no image -- $10/€7/£6/$10 CAD/¥70 Yuan/¥1110 Yen
  • Review with an image -- $25/€18/£15/$25 CAD/¥150 Yuan/¥2500 Yen

Product General Protocols

Find general support by application which include: protocols, troubleshooting, illustrated assays, videos and webinars.

Video Protocols

WB Video Protocol

FAQs for MRPS2 Antibody (NBP2-72783) (0)

There are no specific FAQs related to this product. Read our general customer & technical service FAQs.

Secondary Antibodies

 

Isotype Controls

Additional MRPS2 Products

Research Areas for MRPS2 Antibody (NBP2-72783)

Find related products by research area.

Blogs on MRPS2

There are no specific blogs for MRPS2, but you can read our latest blog posts.

Customers Who Bought This Also Bought

Contact Information

Product PDFs

Calculators

Concentration Calculator

The concentration calculator allows you to quickly calculate the volume, mass or concentration of your vial. Simply enter your mass, volume, or concentration values for your reagent and the calculator will determine the rest.

=
÷

Review this Product

Be the first to review our MRPS2 Antibody (OTI4D6) - Azide and BSA Free and receive a gift card or discount.

Bioinformatics

Gene Symbol MRPS2