MR1 Antibody (MR1/7577) - Azide and BSA Free

Images

 
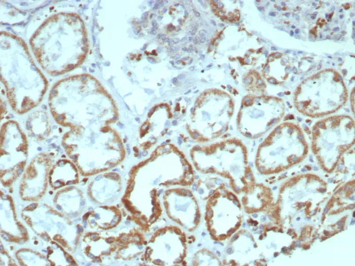
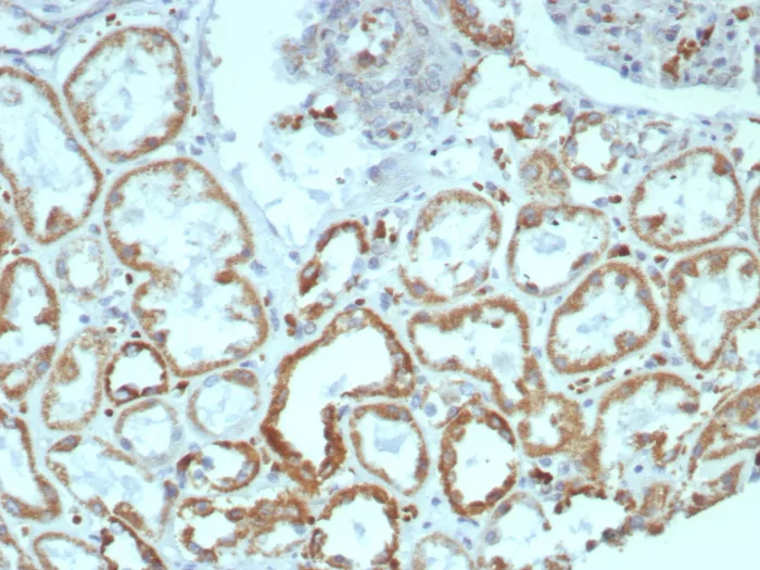
Formalin-fixed, paraffin-embedded human kidney stained with MR1 Antibody (MR1/7577) - Azide and BSA Free. HIER: Tris/EDTA, pH9.0, 45min. 2°C: HRP-polymer, 30min. DAB, 5min.

Product Details

Summary
Reactivity HuSpecies Glossary
Applications IHC
Clone
MR1/7577
Clonality
Monoclonal
Host
Mouse
Conjugate
Unconjugated
Format
Azide and BSA Free
Concentration
1 mg/ml

Order Details

MR1 Antibody (MR1/7577) - Azide and BSA Free Summary

Description
Antibody without azide - store at -20 to -80C. Non-hazardous. No MSDS required.
Immunogen
Recombinant fragment (around aa50-250) of human MR1 protein (exact sequence is proprietary)
Localization
Secreted, Cell membrane
Isotype
IgG2 Kappa
Clonality
Monoclonal
Host
Mouse
Gene
MR1
Purity
Protein A or G purified
Innovator's Reward
Test in a species/application not listed above to receive a full credit towards a future purchase.

Applications/Dilutions

Dilutions
  • Immunohistochemistry-Paraffin 1-2ug/ml for 30 minutes at RT
Application Notes
Immunohistochemistry-Paraffin 1-2ug/ml for 30 minutes at RT. Optimal dilution for a specific application should be determined.. Staining of formalin-fixed tissues requires heating tissue sections in 10mM Tris with 1mM EDTA, pH 9.0, for 45 min at 95C followed by cooling at RT for 20 minutes

Packaging, Storage & Formulations

Storage
Store at -20 to -80C. Avoid freeze-thaw cycles.
Buffer
10mM PBS
Preservative
No Preservative
Concentration
1 mg/ml
Purity
Protein A or G purified

Alternate Names for MR1 Antibody (MR1/7577) - Azide and BSA Free

  • Class I histocompatibility antigen-like protein
  • FLJ31593
  • H2ls
  • HLALS
  • major histocompatibility complex class I-related gene protein
  • major histocompatibility complex, class I-like sequence
  • major histocompatibility complex, class I-related
  • MHC class I-like antigen MR-1
  • MHC class I-related gene protein
  • MHC class-I related-gene protein
  • MR1

Background

MR1 - major histocompatibility complex, class I-related

Limitations

This product is for research use only and is not approved for use in humans or in clinical diagnosis. Primary Antibodies are guaranteed for 1 year from date of receipt.

Customers Who Viewed This Item Also Viewed...

DCDL40
Species: Hu
Applications: ELISA
AF632
Species: Hu
Applications: AgAct, Simple Western, WB
7268-CT
Species: Hu
Applications: BA
MAB140
Species: Hu
Applications: CyTOF-ready, Dual ISH-IHC, ELISA(Cap), ELISA(Det), ELISA(Sta), Flow, IHC, Neut
NBP1-19371
Species: Ca, Hu, Mu, Po, Rb, Rt
Applications: Dual ISH-IHC, Flow, ICC/IF, IHC, IHC-Fr,  IHC-P, Simple Western, WB
AF231
Species: Hu
Applications: CyTOF-ready, Dual ISH-IHC, ELISA(Cap), ELISA(Det), ELISA(Sta), Flow, ICC, IHC, IP, Simple Western, WB
NB120-6405
Species: Rt
Applications: B/N, CyTOF-ready, EM, ELISA, Flow-IC, Flow, ICC/IF, IHC, IHC-Fr,  IHC-P, IP
202-IL
Species: Hu
Applications: BA
NBP1-49045
Species: Mu, Rt
Applications: Cell Depl, CyTOF-ready, Flow, ICC/IF, IHC, IHC-Fr,  IHC-P, IP, InhibTFunc
NB100-524
Species: Hu, Mu
Applications: Flow-IC, Flow, ICC/IF, IHC, IHC-Fr,  IHC-P, IP, WB
NBP2-79843
Species: Hu
Applications: CyTOF-ready, ELISA, Flow, ICC/IF, IHC,  IHC-P, PA, WB
6507-IL/CF
Species: Hu
Applications: BA
MAB342
Species: Hu
Applications: AgAct, ICC, WB
DY417
Species: Mu
Applications: ELISA
485-MI
Species: Mu
Applications: BA
NBP2-46123
Species: Hu
Applications: ICC/IF, IHC,  IHC-P, WB
MAB7446
Species: Hu
Applications: CyTOF-ready, Flow
NB100-64852
Species: Hu
Applications: Flow, IF, IHC, IHC-Fr

Publications for MR1 Antibody (NBP3-26943) (0)

There are no publications for MR1 Antibody (NBP3-26943).
By submitting your publication information earn gift cards and discounts for future purchases.

Reviews for MR1 Antibody (NBP3-26943) (0)

There are no reviews for MR1 Antibody (NBP3-26943). By submitting a review you will receive an Amazon e-Gift Card or Novus Product Discount.
  • Review with no image -- $10/€7/£6/$10 CAD/¥70 Yuan/¥1110 Yen
  • Review with an image -- $25/€18/£15/$25 CAD/¥150 Yuan/¥2500 Yen

Product General Protocols

Find general support by application which include: protocols, troubleshooting, illustrated assays, videos and webinars.

FAQs for MR1 Antibody (NBP3-26943) (0)

There are no specific FAQs related to this product. Read our general customer & technical service FAQs.

Secondary Antibodies

 

Isotype Controls

Additional MR1 Products

Research Areas for MR1 Antibody (NBP3-26943)

Find related products by research area.

Blogs on MR1

There are no specific blogs for MR1, but you can read our latest blog posts.

Customers Who Bought This Also Bought

Contact Information

Product PDFs

Calculators

Concentration Calculator

The concentration calculator allows you to quickly calculate the volume, mass or concentration of your vial. Simply enter your mass, volume, or concentration values for your reagent and the calculator will determine the rest.

=
÷

Review this Product

Be the first to review our MR1 Antibody (MR1/7577) - Azide and BSA Free and receive a gift card or discount.

Bioinformatics

Gene Symbol MR1