Monoglyceride Lipase Antibody

Images

 
Western Blot: Monoglyceride Lipase Antibody [NBP1-89645] - Analysis in human cell line U-2197.
Immunocytochemistry/ Immunofluorescence: Monoglyceride Lipase Antibody [NBP1-89645] - Staining of human cell line U-251 MG shows localization to nucleoplasm. Antibody staining is shown in green.
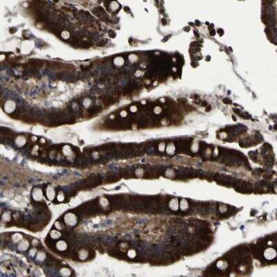
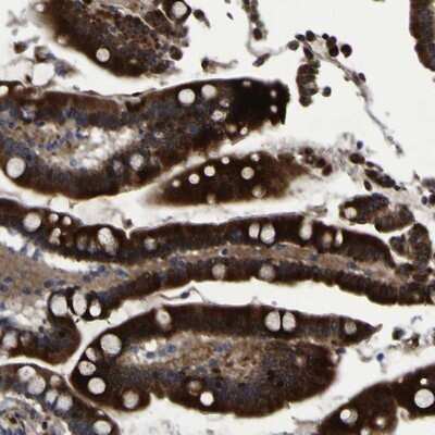
Immunohistochemistry-Paraffin: Monoglyceride Lipase Antibody [NBP1-89645] - Staining of human colon shows strong cytoplasmic positivity in glandular cells.

Product Details

Summary
Product Discontinued
View other related Monoglyceride Lipase Primary Antibodies

Order Details


    • Catalog Number
      NBP1-89645
    • Availability
      Product Discontinued

    Can't find what you are looking for? Use our Antibody Concierge Service & we will help you locate your antibody!

    Or feel free to contact us for alternative products.

Monoglyceride Lipase Antibody Summary

Immunogen
This antibody was developed against Recombinant Protein corresponding to amino acids: LVLANPESATTFKVLAAKVLNLVLPNLSLGPIDSSVLSRNKTEVDIYNSDPLICRAGLKVCFGIQLLNAVSRVERALPKLTVPFLLLQGSADRLCDSKGAYLLMELAKSQDKTLKIYEGAYHVLHKELPEVTNSVFHE
Isotype
IgG
Clonality
Polyclonal
Host
Rabbit
Gene
MGLL
Purity
Immunogen affinity purified
Innovator's Reward
Test in a species/application not listed above to receive a full credit towards a future purchase.

Applications/Dilutions

Dilutions
  • Immunocytochemistry/ Immunofluorescence 0.25-2 ug/ml
  • Immunohistochemistry 1:50 - 1:200
  • Immunohistochemistry-Paraffin 1:50 - 1:200
  • Western Blot 0.04-0.4 ug/ml
Application Notes
For IHC-Paraffin, HIER pH 6 retrieval is recommended. ICC/IF Fixation Permeabilization: Use PFA/Triton X-100.

Reactivity Notes

Immunogen displays the following percentage of sequence identity for non-tested species: Mouse (86%), Rat (86%)

Packaging, Storage & Formulations

Storage
Store at 4C short term. Aliquot and store at -20C long term. Avoid freeze-thaw cycles.
Buffer
PBS (pH 7.2) and 40% Glycerol
Preservative
0.02% Sodium Azide
Purity
Immunogen affinity purified

Alternate Names for Monoglyceride Lipase Antibody

  • HUK5
  • HU-K5EC 3.1.1.23
  • Lysophospholipase homolog
  • Lysophospholipase-like
  • MAGL
  • MGLHUK5
  • MGLL
  • Monoacylglycerol lipase
  • Monoglyceride Lipase

Background

Monoglyceride lipase (MGLL; EC 3.1.1.23) functions together with hormone-sensitive lipase (LIPE; MIM 151750) to hydrolyze intracellular triglyceride stores in adipocytes and other cells to fatty acids and glycerol. MGLL may also complement lipoprotein lipase (LPL; MIM 238600) in completing hydrolysis of monoglycerides resulting from degradation of lipoprotein triglycerides (Karlsson et al., 2001 [PubMed 11470505]).[supplied by OMIM]

Limitations

This product is for research use only and is not approved for use in humans or in clinical diagnosis. Primary Antibodies are guaranteed for 1 year from date of receipt.

Customers Who Viewed This Item Also Viewed...

H00002166-M07
Species: Hu, Mu, Rt
Applications: ELISA, WB
NBP2-45564
Species: Hu
Applications: ICC/IF, IHC,  IHC-P, WB
NLS32
Species: Bt, Bv, Ca, Eq, Hu, Pm, Mu, Po, Pm, Rt
Applications: ICC/IF, IHC,  IHC-P
AF7197
Species: Hu, Mu
Applications: ICC, IHC, WB
H00001269-M01
Species: Pm, Hu
Applications: ELISA, ICC/IF, IHC,  IHC-P, WB
NB110-37253
Species: Hu, Mu, Rt
Applications: WB
NBP1-88248
Species: Hu
Applications: ICC/IF, IHC,  IHC-P
NB100-689
Species: Hu, Rt
Applications: IHC, IHC-Fr,  IHC-P, Simple Western, WB
MAB1417
Species: Bv, Hu, Mu
Applications: ICC, IHC
AF5365
Species: Hu, Mu, Rt
Applications: IHC, Simple Western, WB
MAB4494
Species: Hu
Applications: IP, WB
NBP2-57800
Species: Hu
Applications: ICC/IF
H00151056-B01P
Species: Hu, Mu
Applications: WB
DY417
Species: Mu
Applications: ELISA
NBP2-22106
Species: Hu, Mu, Rt
Applications: IHC,  IHC-P, IP, WB
NBP1-85691
Species: Hu
Applications: IHC,  IHC-P, Simple Western, WB
NBP1-97417
Species: Hu, In, Mu, Pm, Rt
Applications: ICC/IF, IF, IHC (-), WB
NBP1-81838
Species: Hu
Applications: IHC,  IHC-P, WB

Publications for Monoglyceride Lipase Antibody (NBP1-89645) (0)

There are no publications for Monoglyceride Lipase Antibody (NBP1-89645).
By submitting your publication information earn gift cards and discounts for future purchases.

Reviews for Monoglyceride Lipase Antibody (NBP1-89645) (0)

There are no reviews for Monoglyceride Lipase Antibody (NBP1-89645). By submitting a review you will receive an Amazon e-Gift Card or Novus Product Discount.
  • Review with no image -- $10/€7/£6/$10 CAD/¥70 Yuan/¥1110 Yen
  • Review with an image -- $25/€18/£15/$25 CAD/¥150 Yuan/¥2500 Yen

Product General Protocols

Find general support by application which include: protocols, troubleshooting, illustrated assays, videos and webinars.

Video Protocols

WB Video Protocol
ICC/IF Video Protocol

FAQs for Monoglyceride Lipase Antibody (NBP1-89645) (0)

There are no specific FAQs related to this product. Read our general customer & technical service FAQs.

Secondary Antibodies

 

Isotype Controls

Additional Monoglyceride Lipase Products

Research Areas for Monoglyceride Lipase Antibody (NBP1-89645)

Find related products by research area.

Blogs on Monoglyceride Lipase

There are no specific blogs for Monoglyceride Lipase, but you can read our latest blog posts.

Contact Information

Product PDFs

Calculators

Concentration Calculator

The concentration calculator allows you to quickly calculate the volume, mass or concentration of your vial. Simply enter your mass, volume, or concentration values for your reagent and the calculator will determine the rest.

=
÷

Review this Product

Be the first to review our Monoglyceride Lipase Antibody and receive a gift card or discount.

Bioinformatics

Gene Symbol MGLL