MLH1 Antibody (MLH1/7563) - Azide and BSA Free

Images

 
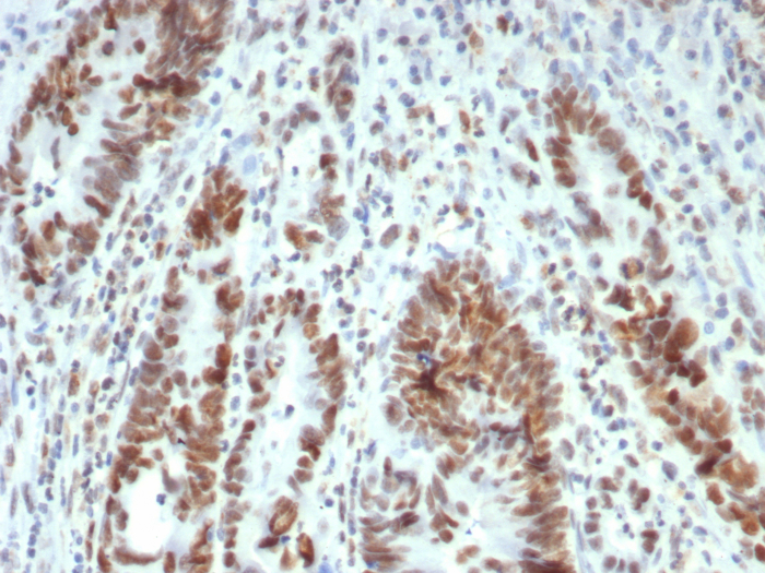
Formalin-fixed, paraffin-embedded human colon stained with MLH1 antibody (MLH1/7563). HIER: Tris/EDTA, pH9.0, 45min. Secondary: HRP-polymer, 30min. DAB, 5min.

Product Details

Summary
Reactivity HuSpecies Glossary
Applications IHC
Clone
MLH1/7563
Clonality
Monoclonal
Host
Mouse
Conjugate
Unconjugated
Format
Azide and BSA Free
Concentration
1 mg/ml

Order Details

MLH1 Antibody (MLH1/7563) - Azide and BSA Free Summary

Description
Positive Controls: Human tonsil or colon carcinoma.

Antibody with azide - store at 2 to 8C. Antibody without azide - store at -20 to -80C. Non-hazardous. No MSDS required.
Immunogen
Recombinant full-length human MLH1 protein
Localization
Nucleus.
Isotype
IgG1 Kappa
Clonality
Monoclonal
Host
Mouse
Gene
MLH1
Purity
Protein A or G purified
Innovator's Reward
Test in a species/application not listed above to receive a full credit towards a future purchase.

Applications/Dilutions

Dilutions
  • Immunohistochemistry-Paraffin 1-2 ug/ml
Application Notes
Immunohistochemistry (Formalin-fixed): 1-2ug/ml for 30 minutes. at RT. Staining of formalin-fixed tissues requires heating tissue sections in 10mM Tris with 1mM EDTA, pH 9.0, for 45 min at 95C followed by cooling at RT for 20 minutes.

Optimal dilution for a specific application should be determined.

Packaging, Storage & Formulations

Storage
Store at -20 to -70C. Avoid freeze-thaw cycles.
Buffer
10mM PBS
Preservative
No Preservative
Concentration
1 mg/ml
Purity
Protein A or G purified

Alternate Names for MLH1 Antibody (MLH1/7563) - Azide and BSA Free

  • COCA2FCC2
  • DNA mismatch repair protein Mlh1
  • hMLH1
  • HNPCC
  • HNPCC2MGC5172
  • mutL (E. coli) homolog 1 (colon cancer, nonpolyposis type 2)
  • mutL homolog 1, colon cancer, nonpolyposis type 2 (E. coli)
  • MutL protein homolog 1

Background

MLH1 is a DNA mismatch repair protein. The repair of mismatch DNA is essential to maintaining the integrity of genetic information over time. An alteration of microsatellite repeats is the result of slippage owing to strand misalignment during DNA replication and is referred to as microsatellite instability (MSI). These defects in DNA repair pathways have been related to human carcinogenesis. The importance of mismatch repair genes became apparent with the identification of the genetic basis for hereditary nonpolyposis colon cancer (HNPCC). MSHS2 is involved in the initial cognition of mismatch nucleotides during the replication mismatch repair process. It is thought that after MSH2 binds to a mismatched DNA duplex it is joined by a heterodimer of MLH1 and PMSH, which together help facilitate the later steps in mismatch repair.

Limitations

This product is for research use only and is not approved for use in humans or in clinical diagnosis. Primary Antibodies are guaranteed for 1 year from date of receipt.

Customers Who Viewed This Item Also Viewed...

NB100-621
Species: Hu, Mu
Applications: IHC,  IHC-P, IP, WB
NBP1-83319
Species: Hu, Mu, Rt
Applications: ICC/IF, IHC,  IHC-P, WB
AF2535
Species: Mu
Applications: CyTOF-ready, Flow, IHC, WB
NB200-106
Species: Mu, Rt
Applications: ELISA, ICC/IF, IHC, IHC-Fr,  IHC-P, WB
NB200-103
Species: Hu, Mu, Rt, Xp(-), Ye
Applications: CyTOF-ready, ELISA, Flow-IC, Flow, ICC/IF, IHC, IHC-Fr,  IHC-P, IP, WB
NBP2-46459
Species: Hu
Applications: ICC/IF, IHC,  IHC-P, WB
NB100-91662
Species: Hu, Mu, Rt
Applications: Flow, ICC/IF, IHC,  IHC-P, Simple Western, WB
NBP3-13739
Species: Hu
Applications: ELISA, Flow, ICC/IF, IP, PA
NB100-168
Species: Hu, Mu(-)
Applications: CyTOF-ready, Flow-IC, Flow, ICC/IF, IHC,  IHC-P, Simple Western, WB
AF4885
Species: Mu
Applications: IP, WB
NBP3-24587
Species: Hu
Applications: ICC/IF, IHC,  IHC-P, WB
NBP1-47668
Species: Hu, Pm, Mu, Rt
Applications: Flow, ICC/IF, IHC,  IHC-P, IP, WB
NBP2-02377
Species: Hu, Mu, Rt
Applications: Flow, ICC/IF, IHC,  IHC-P, WB
AF748
Species: Hu, Mu
Applications: CyTOF-ready, Dual ISH-IHC, Flow, ICC, IHC, Simple Western, WB
NB100-404
Species: Hu
Applications: ChIP, ICC/IF, IHC,  IHC-P, IP, KD, KO, WB
H00003845-M01
Species: Hu, Mu
Applications: ELISA, ICC/IF, IP, WB
NBP1-82454
Species: Hu, Mu
Applications: ICC/IF, IHC,  IHC-P, WB
NBP2-03644
Species: Hu, Mu, Rt
Applications: Flow, ICC/IF, IHC,  IHC-P, WB

Publications for MLH1 Antibody (NBP3-21124) (0)

There are no publications for MLH1 Antibody (NBP3-21124).
By submitting your publication information earn gift cards and discounts for future purchases.

Reviews for MLH1 Antibody (NBP3-21124) (0)

There are no reviews for MLH1 Antibody (NBP3-21124). By submitting a review you will receive an Amazon e-Gift Card or Novus Product Discount.
  • Review with no image -- $10/€7/£6/$10 CAD/¥70 Yuan/¥1110 Yen
  • Review with an image -- $25/€18/£15/$25 CAD/¥150 Yuan/¥2500 Yen

Product General Protocols

Find general support by application which include: protocols, troubleshooting, illustrated assays, videos and webinars.

FAQs for MLH1 Antibody (NBP3-21124) (0)

There are no specific FAQs related to this product. Read our general customer & technical service FAQs.

Secondary Antibodies

 

Isotype Controls

Additional MLH1 Products

Research Areas for MLH1 Antibody (NBP3-21124)

Find related products by research area.

Blogs on MLH1.

NER, BER, HR and Other DNA Repair Pathways
A large number of antibody assays are devoted to the study of nuclear excision repair (NER) proteins. However, there are a number of other DNA repair pathways, many of which are instigated by NER and share the same proteins. DNA repair antibodies are ...  Read full blog post.

Customers Who Bought This Also Bought

Contact Information

Product PDFs

Calculators

Concentration Calculator

The concentration calculator allows you to quickly calculate the volume, mass or concentration of your vial. Simply enter your mass, volume, or concentration values for your reagent and the calculator will determine the rest.

=
÷

Review this Product

Be the first to review our MLH1 Antibody (MLH1/7563) - Azide and BSA Free and receive a gift card or discount.

Bioinformatics

Gene Symbol MLH1