MDG1 Antibody

Images

 
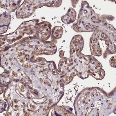
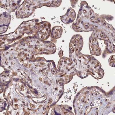
Immunohistochemistry-Paraffin: MDG1 Antibody [NBP1-87732] - Staining of human placenta shows positivity in trophoblastic cells.
Immunohistochemistry: MDG1 Antibody [NBP1-87732] - Staining of human small intestine shows moderate cytoplasmic positivity in glandular cells.
Immunohistochemistry-Paraffin: MDG1 Antibody [NBP1-87732] - Staining of human cerebral cortex shows positivity in neurons.
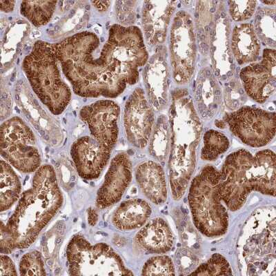
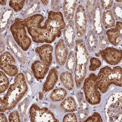
Immunohistochemistry-Paraffin: MDG1 Antibody [NBP1-87732] - Staining of human kidney shows positivity in cells in tubules.
Immunohistochemistry-Paraffin: MDG1 Antibody [NBP1-87732] - Staining of human pancreas shows positivity in exocrine glandular cells.

Product Details

Summary
Product Discontinued
View other related MDG1 Primary Antibodies

Order Details


    • Catalog Number
      NBP1-87732
    • Availability
      Product Discontinued

    Can't find what you are looking for? Use our Antibody Concierge Service & we will help you locate your antibody!

    Or feel free to contact us for alternative products.

MDG1 Antibody Summary

Immunogen
This antibody was developed against Recombinant Protein corresponding to amino acids: GGSSRQRHHFQEFSFGGGLFDDMFEDMEKMFSFSGFDSTNQHTVQTENRFHGSSKHCRTVTQRRGNMVTTYTDCSGQ
Predicted Species
Mouse (96%), Rat (96%). Backed by our 100% Guarantee.
Isotype
IgG
Clonality
Polyclonal
Host
Rabbit
Gene
DNAJB9
Purity
Immunogen affinity purified
Innovator's Reward
Test in a species/application not listed above to receive a full credit towards a future purchase.

Applications/Dilutions

Dilutions
  • Immunohistochemistry 1:50 - 1:200
  • Immunohistochemistry-Paraffin 1:50 - 1:200
Application Notes
For IHC-Paraffin, HIER pH 6 retrieval is recommended. Immunocytochemistry/Immunofluorescence Fixation Permeabilization: Use PFA/Triton X-100.
Publications
Read Publication using NBP1-87732.

Reactivity Notes

Reactivity reported in scientific literature (PMID: 23435261)

Packaging, Storage & Formulations

Storage
Store at 4C short term. Aliquot and store at -20C long term. Avoid freeze-thaw cycles.
Buffer
PBS (pH 7.2) and 40% Glycerol
Preservative
0.02% Sodium Azide
Purity
Immunogen affinity purified

Alternate Names for MDG1 Antibody

  • DKFZp564F1862
  • DnaJ (Hsp40) homolog, subfamily B, member 9
  • dnaJ homolog subfamily B member 9
  • endoplasmic reticulum DnaJ homolog 4
  • ERdj4
  • Mdg-1
  • MDG1MSTP049
  • Microvascular endothelial differentiation gene 1 protein
  • MST049

Background

MDG1 acts as a co-chaperone with an Hsp70 protein

Limitations

This product is for research use only and is not approved for use in humans or in clinical diagnosis. Primary Antibodies are guaranteed for 1 year from date of receipt.

Customers Who Viewed This Item Also Viewed...

NBP1-06274
Species: Ce, Ch, Dr, Hu, Mu, Rt, Sh, Ze
Applications: Flow, ICC/IF, IHC-FrFl, IHC,  IHC-P, Simple Western, WB
AF1543
Species: Hu
Applications: IHC, WB
NB600-1335
Species: Hu, Mu, Pm, Rt
Applications: ChIP, ELISA, Flow, GS, ICC/IF, IHC,  IHC-P, IP, KD, Simple Western, WB
NBP1-77681
Species: Hu, Mu
Applications: Flow, ICC/IF, IHC,  IHC-P, KD, WB
NBP2-02996
Species: Ca, Hu, Pm, Mu, Rt
Applications: Flow, ICC/IF, IHC,  IHC-P, WB
H00010049-M01
Species: Hu
Applications: ELISA, ICC/IF (-), IHC, WB
NBP2-03433
Species: Ca, Hu, Mu, Rt
Applications: Flow, ICC/IF, IHC,  IHC-P, WB
NBP2-48704
Species: Hu
Applications: ICC/IF, IHC,  IHC-P, WB
NBP1-40256
Species: Hu, Mu, Pl, Po, Rb, Rt
Applications: ChIP, CyTOF-ready, Flow-IC, Flow, IB, ICC/IF, IHC, IHC-Fr,  IHC-P, IP, KO, Simple Western, WB
NBP1-82787
Species: Hu
Applications: ICC/IF, IHC,  IHC-P, WB
NBP1-84899
Species: Hu, Mu, Rt
Applications: ICC/IF, IHC,  IHC-P, WB
NBP1-87201
Species: Hu
Applications: IHC,  IHC-P, WB
NB100-2323
Species: Dr, Gt, SyHa, Hu, Ma, Pm, Mu, Po, Pm, Rb, Rt
Applications: ChIP, ELISA, IB, ICC/IF, IHC, IHC-Fr,  IHC-P, IP, In vitro, KD, Simple Western, WB
NBP1-81696
Species: Hu, Mu, Rt
Applications: ICC/IF, IHC,  IHC-P, WB
NBP1-88713
Species: Hu
Applications: IHC,  IHC-P, WB
NBP2-67766
Species: Hu, Mu, Rt
Applications: Flow, ICC/IF, IHC,  IHC-P, IP, WB
NBP1-84796
Species: Hu, Mu, Rt
Applications: ICC/IF, IHC,  IHC-P, KD, WB
NB300-619
Species: Bv, Ch, Ha, Hu, Mu, Rt
Applications: ICC, ICC/IF, IHC,  IHC-P, IP, WB
MAB2014
Species: Hu
Applications: CyTOF-reported, Flow
NBP2-58498
Species: Hu
Applications: ICC/IF

Publications for MDG1 Antibody (NBP1-87732)(1)

Reviews for MDG1 Antibody (NBP1-87732) (0)

There are no reviews for MDG1 Antibody (NBP1-87732). By submitting a review you will receive an Amazon e-Gift Card or Novus Product Discount.
  • Review with no image -- $10/€7/£6/$10 CAD/¥70 Yuan/¥1110 Yen
  • Review with an image -- $25/€18/£15/$25 CAD/¥150 Yuan/¥2500 Yen

Product General Protocols

Find general support by application which include: protocols, troubleshooting, illustrated assays, videos and webinars.

FAQs for MDG1 Antibody (NBP1-87732) (0)

There are no specific FAQs related to this product. Read our general customer & technical service FAQs.

Contact Information

Product PDFs

Calculators

Concentration Calculator

The concentration calculator allows you to quickly calculate the volume, mass or concentration of your vial. Simply enter your mass, volume, or concentration values for your reagent and the calculator will determine the rest.

=
÷

Review this Product

Be the first to review our MDG1 Antibody and receive a gift card or discount.

Bioinformatics

Gene Symbol DNAJB9