MCM5 Antibody (JB31-34)

Images

 
Western Blot: MCM5 Antibody (JB31-34) [NBP2-75570] - Analysis of MCM5 on mouse testis tissue lysates with Rabbit anti-MCM5 antibody at 1/500 dilution. Lysates/proteins at 20 ug/Lane. Predicted band size: 82 kDa Observed ...read more
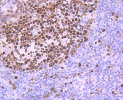
Immunohistochemistry-Paraffin: MCM5 Antibody (JB31-34) [NBP2-75570] - Analysis of paraffin-embedded human lymph nodes tissue with Rabbit anti-MCM5 antibody washed with ddH2O and PBS, and then probed with the primary ...read more
Western Blot: MCM5 Antibody (JB31-34) [NBP2-75570] - Analysis of MCM5 on different lysates using anti-MCM5 antibody at 1/500 dilution.Positive control:Lane 1: Mouse thymus tissue Lane 2: SiHa
Western Blot: MCM5 Antibody (JB31-34) [NBP2-75570] - Analysis of MCM5 on different lysates with Rabbit anti-MCM5 antibody at 1/500 dilution. Lane 1: SiHa cell lysate Lane 2: HL-60 cell lysate Lysates/proteins at 10 ...read more
Immunohistochemistry-Paraffin: MCM5 Antibody (JB31-34) [NBP2-75570] - Analysis of paraffin-embedded human tonsil tissue using anti-MCM5 antibody. Counter stained with hematoxylin.
Immunohistochemistry-Paraffin: MCM5 Antibody (JB31-34) [NBP2-75570] - Analysis of paraffin-embedded human placenta tissue using anti-MCM5 antibody. Counter stained with hematoxylin.
Immunohistochemistry-Paraffin: MCM5 Antibody (JB31-34) [NBP2-75570] - Analysis of paraffin-embedded mouse testis tissue using anti-MCM5 antibody. Counter stained with hematoxylin.

Product Details

Summary
Product Discontinued
View other related MCM5 Primary Antibodies

Order Details


    • Catalog Number
      NBP2-75570
    • Availability
      Product Discontinued

    Can't find what you are looking for? Use our Antibody Concierge Service & we will help you locate your antibody!

    Or feel free to contact us for alternative products.

MCM5 Antibody (JB31-34) Summary

Additional Information
Recombinant Monoclonal Antibody.
Immunogen
Recombinant protein within Human MCM5 aa 620-734 / 734. (SwissProt: P33992 Human; SwissProt: P49718 Mouse)
Localization
Nucleus. Cytosol.
Isotype
IgG
Clonality
Monoclonal
Host
Rabbit
Gene
MCM5
Purity
Protein A purified
Innovator's Reward
Test in a species/application not listed above to receive a full credit towards a future purchase.

Applications/Dilutions

Dilutions
  • Immunohistochemistry
  • Immunohistochemistry-Paraffin 1:50-1:400
  • Western Blot 1:500-1:1000
Theoretical MW
82 kDa.
Disclaimer note: The observed molecular weight of the protein may vary from the listed predicted molecular weight due to post translational modifications, post translation cleavages, relative charges, and other experimental factors.

Packaging, Storage & Formulations

Storage
Store at 4C short term. Aliquot and store at -20C long term. Avoid freeze-thaw cycles.
Buffer
TBS (pH7.4), 0.05% BSA, 40% Glycerol
Preservative
0.05% Sodium Azide
Concentration
1 mg/ml
Purity
Protein A purified

Alternate Names for MCM5 Antibody (JB31-34)

  • CDC46 homolog
  • CDC46DNA replication licensing factor MCM5
  • EC 3.6.4.12
  • MCM5 minichromosome maintenance deficient 5, cell division cycle 46 (S.cerevisiae)
  • MCM5 minichromosome maintenance deficient 5, cell division cycle 46
  • MGC5315
  • minichromosome maintenance complex component 5
  • minichromosome maintenance deficient (S. cerevisiae) 5 (cell division cycle 46)
  • minichromosome maintenance deficient 5 (cell division cycle 46)
  • P1-CDC46

Background

MCM5 (Mini Chromosome Maintenance protein-5) is involved in the control of DNA replication. MCM proteins have DNA dependent ATPase motifs in their central domain which is conserved from yeast to mammals. MCM proteins form a complex which exhibits ATPase and helicase activities. In G0 phase levels of MCM 2 and 5 are lower than that of MCM7 and 3 but increase as the cell enters G1/S phase of the cell cycle. It has been reported that immunocytochemical assessment of Mcm5 expression may be of value in improving the accuracy of cervical smear testing for the detection of malignancy.

Limitations

This product is for research use only and is not approved for use in humans or in clinical diagnosis. Primary Antibodies are guaranteed for 1 year from date of receipt.

Customers Who Viewed This Item Also Viewed...

H00004176-M01
Species: Hu
Applications: ELISA, ICC/IF, IHC,  IHC-P, PLA, WB
NBP2-19804
Species: Hu, Mu
Applications: ICC/IF, IHC,  IHC-P, WB
NB100-288
Species: Hu, Mu
Applications: IHC,  IHC-P, IP, WB
NBP1-33105
Species: Hu, Mu
Applications: ChIP, ICC/IF, IHC,  IHC-P, IP, WB
NBP3-15386
Species: Hu, Mu, Rt
Applications: ICC/IF, IHC,  IHC-P, IP, WB
NBP1-82642
Species: Hu, Mu, Rt
Applications: CHIP-SEQ, ICC/IF, IHC,  IHC-P, KD, WB
NBP2-15837
Species: Hu, Mu, Rt
Applications: ICC/IF, IHC,  IHC-P, WB
NBP1-85723
Species: Hu
Applications: ICC/IF, IHC,  IHC-P, WB
NB500-106
Species: Ch, Dr, Fi, Hu, Mar, Mu, Po, Pm, Rb, Rt, Ye, Ze
Applications: ChIP, ChIP, ELISA, Flow, ICC/IF, IHC-FrFl, IHC, IHC-Fr,  IHC-P, IP, Simple Western, WB
NBP2-29463
Species: Pm, Hu, Pm, Mu
Applications: Flow, ICC/IF, IHC,  IHC-P, WB
NBP2-32708
Species: Hu
Applications: ICC/IF, IHC,  IHC-P
NBP3-47902
Species: Hu, Mu, Rt
Applications: ELISA, IHC, WB
NBP2-30949
Species: Hu
Applications: IHC,  IHC-P
NBP1-97512
Species: Mu
Applications: ICC/IF, IHC, IHC-Fr,  IHC-P, IP, WB
NBP2-44520
Species: Ca(-), Hu, Rt(-)
Applications: Flow-IC, Flow, ICC/IF, IF, IHC,  IHC-P, MI, WB
NBP1-81293
Species: Hu
Applications: ICC/IF, IHC,  IHC-P, KD, WB
NBP1-62583
Species: Hu
Applications: WB
NB100-74635
Species: Hu
Applications: IHC,  IHC-P, IP, WB (-)

Publications for MCM5 Antibody (NBP2-75570) (0)

There are no publications for MCM5 Antibody (NBP2-75570).
By submitting your publication information earn gift cards and discounts for future purchases.

Reviews for MCM5 Antibody (NBP2-75570) (0)

There are no reviews for MCM5 Antibody (NBP2-75570). By submitting a review you will receive an Amazon e-Gift Card or Novus Product Discount.
  • Review with no image -- $10/€7/£6/$10 CAD/¥70 Yuan/¥1110 Yen
  • Review with an image -- $25/€18/£15/$25 CAD/¥150 Yuan/¥2500 Yen

Product General Protocols

Find general support by application which include: protocols, troubleshooting, illustrated assays, videos and webinars.

Video Protocols

WB Video Protocol

FAQs for MCM5 Antibody (NBP2-75570) (0)

There are no specific FAQs related to this product. Read our general customer & technical service FAQs.

Contact Information

Product PDFs

Calculators

Concentration Calculator

The concentration calculator allows you to quickly calculate the volume, mass or concentration of your vial. Simply enter your mass, volume, or concentration values for your reagent and the calculator will determine the rest.

=
÷

Review this Product

Be the first to review our MCM5 Antibody (JB31-34) and receive a gift card or discount.

Bioinformatics

Gene Symbol MCM5