MCM3 Antibody (JB99-35)

Images

 
Western Blot: MCM3 Antibody (JB99-35) [NBP2-75569] - Analysis of MCM3 on mouse thymus tissue (1), NIH-3T3 cell (2) and Hela (3)cell lysates using anti-MCM3 antibody at 1/500 dilution.
Immunocytochemistry/ Immunofluorescence: MCM3 Antibody (JB99-35) [NBP2-75569] - Staining MCM3 in SH-SY-5Y cells (green). The nuclear counter stain is DAPI (blue). Cells were fixed in paraformaldehyde, permeabilised with ...read more
Immunohistochemistry-Paraffin: MCM3 Antibody (JB99-35) [NBP2-75569] - Analysis of paraffin-embedded rat testis tissue using anti-MCM3 antibody. Counter stained with hematoxylin.
Flow Cytometry: MCM3 Antibody (JB99-35) [NBP2-75569] - Analysis of K562 cells with MCM3 antibody at 1/100 dilution (red) compared with an unlabelled control (cells without incubation with primary antibody; black). Alexa ...read more
Immunocytochemistry/ Immunofluorescence: MCM3 Antibody (JB99-35) [NBP2-75569] - Staining MCM3 in 293T cells (green). The nuclear counter stain is DAPI (blue). Cells were fixed in paraformaldehyde, permeabilised with ...read more
Immunocytochemistry/ Immunofluorescence: MCM3 Antibody (JB99-35) [NBP2-75569] - Staining MCM3 in HepG2 cells (green). The nuclear counter stain is DAPI (blue). Cells were fixed in paraformaldehyde, permeabilised with ...read more
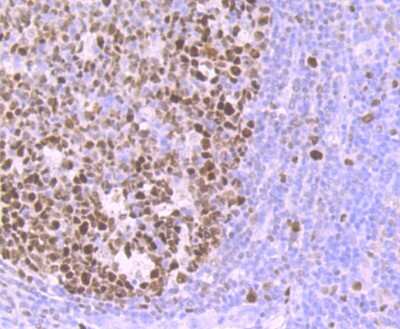
Immunohistochemistry-Paraffin: MCM3 Antibody (JB99-35) [NBP2-75569] - Analysis of paraffin-embedded human tonsil tissue using anti-MCM3 antibody. Counter stained with hematoxylin.
Immunohistochemistry-Paraffin: MCM3 Antibody (JB99-35) [NBP2-75569] - Analysis of paraffin-embedded human placenta tissue using anti-MCM3 antibody. Counter stained with hematoxylin.
Immunohistochemistry-Paraffin: MCM3 Antibody (JB99-35) [NBP2-75569] - Analysis of paraffin-embedded mouse small intestine tissue using anti-MCM3 antibody. Counter stained with hematoxylin.

Product Details

Summary
Product Discontinued
View other related MCM3 Primary Antibodies

Order Details


    • Catalog Number
      NBP2-75569
    • Availability
      Product Discontinued

    Can't find what you are looking for? Use our Antibody Concierge Service & we will help you locate your antibody!

    Or feel free to contact us for alternative products.

MCM3 Antibody (JB99-35) Summary

Additional Information
Recombinant Monoclonal Antibody.
Immunogen
Synthetic peptide within Human MCM3 aa 1-50 / 808. (SwissProt: P25205 Human; SwissProt: P25206 Mouse; SwissProt: D3ZFP4 Rat)
Localization
Chromosome, Nucleus.
Isotype
IgG
Clonality
Monoclonal
Host
Rabbit
Gene
MCM3
Purity
Protein A purified
Innovator's Reward
Test in a species/application not listed above to receive a full credit towards a future purchase.

Applications/Dilutions

Dilutions
  • Flow Cytometry 1:50-1:100
  • Immunocytochemistry/ Immunofluorescence 1:50-1:200
  • Immunohistochemistry
  • Immunohistochemistry-Paraffin 1:50-1:200
  • Western Blot 1:500-1:1000
Theoretical MW
102 kDa.
Disclaimer note: The observed molecular weight of the protein may vary from the listed predicted molecular weight due to post translational modifications, post translation cleavages, relative charges, and other experimental factors.

Packaging, Storage & Formulations

Storage
Store at 4C short term. Aliquot and store at -20C long term. Avoid freeze-thaw cycles.
Buffer
TBS (pH7.4), 0.05% BSA, 40% Glycerol
Preservative
0.05% Sodium Azide
Concentration
1 mg/ml
Purity
Protein A purified

Alternate Names for MCM3 Antibody (JB99-35)

  • cervical cancer proto-oncogene 5
  • DNA polymerase alpha holoenzyme-associated protein P1
  • DNA replication factor MCM3
  • DNA replication licensing factor MCM3
  • EC 3.6.4.12
  • HCC5
  • hRlf beta subunit
  • MCM3 minichromosome maintenance deficient 3 (S. cerevisiae)
  • MCM3 minichromosome maintenance deficient 3
  • MGC1157
  • minichromosome maintenance complex component 3
  • minichromosome maintenance deficient (S. cerevisiae) 3
  • minichromosome maintenance deficient 3
  • P1.h
  • p102
  • P1-MCM3
  • replication licensing factor, beta subunit
  • RLF subunit beta
  • RLFB

Background

MCM3 is encoded by this gene is one of the highly conserved mini-chromosome maintenance proteins (MCM) that are involved in the initiation of eukaryotic genome replication. The hexameric protein complex formed by MCM proteins is a key component of the pre-replication complex (pre_RC) and may be involved in the formation of replication forks and in the recruitment of other DNA replication related proteins. This protein is a subunit of the protein complex that consists of MCM2-7. It has been shown to interact directly with MCM5/CDC46. This protein also interacts with, and thus is acetlyated by MCM3AP, a chromatin-associated acetyltransferase. The acetylation of this protein inhibits the initiation of DNA replication and cell cycle progression.

Limitations

This product is for research use only and is not approved for use in humans or in clinical diagnosis. Primary Antibodies are guaranteed for 1 year from date of receipt.

Customers Who Viewed This Item Also Viewed...

H00004176-M01
Species: Hu
Applications: ELISA, ICC/IF, IHC,  IHC-P, PLA, WB
NBP2-19804
Species: Hu, Mu
Applications: ICC/IF, IHC,  IHC-P, WB
NB100-288
Species: Hu, Mu
Applications: IHC,  IHC-P, IP, WB
NBP1-33105
Species: Hu, Mu
Applications: ChIP, ICC/IF, IHC,  IHC-P, IP, WB
NB100-79778
Species: Hu, Mu
Applications: ICC/IF, IHC,  IHC-P, IP, WB
NBP1-82642
Species: Hu, Mu, Rt
Applications: CHIP-SEQ, ICC/IF, IHC,  IHC-P, KD, WB
NBP3-46263
Species: Hu, Mu, Rt
Applications: ELISA, ICC/IF, IHC, IP, WB
NBP2-15837
Species: Hu, Mu, Rt
Applications: ICC/IF, IHC,  IHC-P, WB
NB500-106
Species: Ch, Dr, Fi, Hu, Mar, Mu, Po, Pm, Rb, Rt, Ye, Ze
Applications: ChIP, ChIP, ELISA, Flow, ICC/IF, IHC-FrFl, IHC, IHC-Fr,  IHC-P, IP, Simple Western, WB
NBP2-29463
Species: Pm, Hu, Pm, Mu
Applications: Flow, ICC/IF, IHC,  IHC-P, WB
NBP3-47902
Species: Hu, Mu, Rt
Applications: ELISA, IHC, WB
NBP2-30949
Species: Hu
Applications: IHC,  IHC-P
NBP1-97512
Species: Mu
Applications: ICC/IF, IHC, IHC-Fr,  IHC-P, IP, WB
NBP2-44520
Species: Ca(-), Hu, Rt(-)
Applications: Flow-IC, Flow, ICC/IF, IF, IHC,  IHC-P, MI, WB
NBP1-81293
Species: Hu
Applications: ICC/IF, IHC,  IHC-P, KD, WB
NBP1-62583
Species: Hu
Applications: WB
NB100-74635
Species: Hu
Applications: IHC,  IHC-P, IP, WB (-)
NBP3-45326
Species: Hu, Mu, Rt
Applications: ELISA, IHC, WB
H00004999-M01
Species: Hu
Applications: ELISA, IHC,  IHC-P, S-ELISA, WB
NBP2-75569
Species: Hu, Mu, Rt
Applications: WB, Flow, ICC/IF, IHC

Publications for MCM3 Antibody (NBP2-75569) (0)

There are no publications for MCM3 Antibody (NBP2-75569).
By submitting your publication information earn gift cards and discounts for future purchases.

Reviews for MCM3 Antibody (NBP2-75569) (0)

There are no reviews for MCM3 Antibody (NBP2-75569). By submitting a review you will receive an Amazon e-Gift Card or Novus Product Discount.
  • Review with no image -- $10/€7/£6/$10 CAD/¥70 Yuan/¥1110 Yen
  • Review with an image -- $25/€18/£15/$25 CAD/¥150 Yuan/¥2500 Yen

Product General Protocols

Find general support by application which include: protocols, troubleshooting, illustrated assays, videos and webinars.

Video Protocols

WB Video Protocol
ICC/IF Video Protocol

FAQs for MCM3 Antibody (NBP2-75569) (0)

There are no specific FAQs related to this product. Read our general customer & technical service FAQs.

Contact Information

Product PDFs

Calculators

Concentration Calculator

The concentration calculator allows you to quickly calculate the volume, mass or concentration of your vial. Simply enter your mass, volume, or concentration values for your reagent and the calculator will determine the rest.

=
÷

Review this Product

Be the first to review our MCM3 Antibody (JB99-35) and receive a gift card or discount.

Bioinformatics

Gene Symbol MCM3