Matrin 3 Antibody (JU93-43)

Images

 
Western Blot: Matrin 3 Antibody (JU93-43) [NBP2-75567] - Western blot analysis of Matrin 3 on different lysates. Proteins were transferred to a PVDF membrane and blocked with 5% BSA in PBS for 1 hour at room ...read more
Immunocytochemistry/ Immunofluorescence: Matrin 3 Antibody (JU93-43) [NBP2-75567] - Staining Matrin 3 in SH-SY-5Y cells (green). The nuclear counter stain is DAPI (blue). Cells were fixed in paraformaldehyde, ...read more
Immunohistochemistry-Paraffin: Matrin 3 Antibody (JU93-43) [NBP2-75567] - Analysis of paraffin-embedded rat brain tissue using anti-Matrin 3 antibody. Counter stained with hematoxylin.
Flow Cytometry: Matrin 3 Antibody (JU93-43) [NBP2-75567] - Analysis of LOVO cells with Matrin 3 antibody at 1/100 dilution (red) compared with an unlabelled control (cells without incubation with primary antibody; ...read more
Western Blot: Matrin 3 Antibody (JU93-43) [NBP2-75567] - Analysis of Matrin 3 on different lysates using anti-Matrin 3 antibody at 1/1,000 dilution.Positive control:Lane 1: Daudi Lane 2: Mouse brain tissue
Immunocytochemistry/ Immunofluorescence: Matrin 3 Antibody (JU93-43) [NBP2-75567] - Staining Matrin 3 in Hela cells (green). The nuclear counter stain is DAPI (blue). Cells were fixed in paraformaldehyde, permeabilised ...read more
Immunocytochemistry/ Immunofluorescence: Matrin 3 Antibody (JU93-43) [NBP2-75567] - Staining Matrin 3 in LOVO cells (green). The nuclear counter stain is DAPI (blue). Cells were fixed in paraformaldehyde, permeabilised ...read more
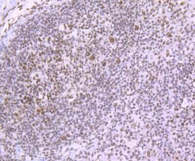
Immunohistochemistry-Paraffin: Matrin 3 Antibody (JU93-43) [NBP2-75567] - Analysis of paraffin-embedded human tonsil tissue using anti-Matrin 3 antibody. Counter stained with hematoxylin.
Immunohistochemistry-Paraffin: Matrin 3 Antibody (JU93-43) [NBP2-75567] - Analysis of paraffin-embedded human lung cancer tissue using anti-Matrin 3 antibody. Counter stained with hematoxylin.
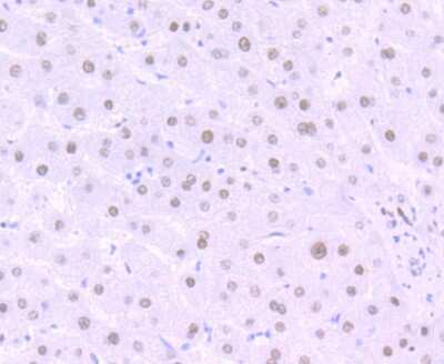
Immunohistochemistry-Paraffin: Matrin 3 Antibody (JU93-43) [NBP2-75567] - Analysis of paraffin-embedded human liver tissue using anti-Matrin 3 antibody. Counter stained with hematoxylin.
Immunohistochemistry-Paraffin: Matrin 3 Antibody (JU93-43) [NBP2-75567] - Analysis of paraffin-embedded mouse testis tissue using anti-Matrin 3 antibody. Counter stained with hematoxylin.

Product Details

Summary
Product Discontinued
View other related Matrin 3 Primary Antibodies

Order Details


    • Catalog Number
      NBP2-75567
    • Availability
      Product Discontinued

    Can't find what you are looking for? Use our Antibody Concierge Service & we will help you locate your antibody!

    Or feel free to contact us for alternative products.

Matrin 3 Antibody (JU93-43) Summary

Additional Information
Recombinant Monoclonal Antibody.
Immunogen
Synthetic peptide within Human Matrin 3 aa 749-798 / 847. (SwissProt: P43243 Human; SwissProt: Q8K310 Mouse; SwissProt: P43244 Rat)
Localization
Nucleus.
Isotype
IgG
Clonality
Monoclonal
Host
Rabbit
Gene
MATR3
Purity
Protein A purified
Innovator's Reward
Test in a species/application not listed above to receive a full credit towards a future purchase.

Applications/Dilutions

Dilutions
  • Flow Cytometry 1:50-1:100
  • Immunocytochemistry/ Immunofluorescence 1:50-1:200
  • Immunohistochemistry
  • Immunohistochemistry-Paraffin 1:50-1:200
  • Western Blot 1:1000-1:2000
Theoretical MW
95 kDa.
Disclaimer note: The observed molecular weight of the protein may vary from the listed predicted molecular weight due to post translational modifications, post translation cleavages, relative charges, and other experimental factors.

Packaging, Storage & Formulations

Storage
Store at 4C short term. Aliquot and store at -20C long term. Avoid freeze-thaw cycles.
Buffer
TBS (pH7.4), 0.05% BSA, 40% Glycerol
Preservative
0.05% Sodium Azide
Concentration
1 mg/ml
Purity
Protein A purified

Alternate Names for Matrin 3 Antibody (JU93-43)

  • distal 2
  • DKFZp686K0542
  • DKFZp686K23100
  • matrin 3
  • matrin-3
  • vocal cord and pharyngeal weakness with distal myopathy

Background

Matrin 3 is encoded by this gene is localized in the nuclear matrix. It may play a role in transcription or may interact with other nuclear matrix proteins to form the internal fibrogranular network. Two transcript variants encoding the same protein have been identified for this gene.

Limitations

This product is for research use only and is not approved for use in humans or in clinical diagnosis. Primary Antibodies are guaranteed for 1 year from date of receipt.

Customers Who Viewed This Item Also Viewed...

NB100-1556
Species: Hu, Mu, Rt
Applications: ICC/IF, IHC,  IHC-P, IP, WB
NBP2-20329
Species: Hu, Mu
Applications: ICC/IF, IHC,  IHC-P, IP, WB
NBP2-29463
Species: Pm, Hu, Pm, Mu
Applications: Flow, ICC/IF, IHC,  IHC-P, WB
NB100-74360
Species: Hu, Mu
Applications: ChIP, ICC/IF, IHC, IHC-Fr,  IHC-P, IP, WB
NB100-2134
Species: Hu, Mu
Applications: IHC,  IHC-P, IP (-), IP, Simple Western, WB
NB100-77291
Species: Hu, Mu
Applications: IP, WB
NBP1-87851
Species: Hu
Applications: IHC,  IHC-P
NB200-191
Species: Ha, Hu, Mu
Applications: ICC/IF, IHC,  IHC-P, IP, WB
NBP1-87381
Species: Hu
Applications: ICC/IF, IHC,  IHC-P
AF4094
Species: Hu, Mu, Rt
Applications: IHC, KO, Simple Western, WB
AF7284
Species: Hu, Mu, Rt
Applications: IHC, WB
NBP2-37761
Species: Hu
Applications: ICC/IF, IHC,  IHC-P
NBP1-31164
Species: Hu
Applications: ICC/IF, WB
NB100-74624
Species: Hu, Mu
Applications: ICC/IF, IP, WB
MAB9096
Species: Hu
Applications: IHC, WB
NB100-309
Species: Hu, Pm, Mu, Rt
Applications: ChIP, ELISA, Flow, ICC/IF, IHC,  IHC-P, IP, KD, PAGE, Single-Cell Western, WB
NBP2-52457
Species: Ha, Hu, Pm, Mu, Rt
Applications: CyTOF-ready, ELISA, Flow, ICC, ICC/IF, IHC,  IHC-P, WB

Publications for Matrin 3 Antibody (NBP2-75567) (0)

There are no publications for Matrin 3 Antibody (NBP2-75567).
By submitting your publication information earn gift cards and discounts for future purchases.

Reviews for Matrin 3 Antibody (NBP2-75567) (0)

There are no reviews for Matrin 3 Antibody (NBP2-75567). By submitting a review you will receive an Amazon e-Gift Card or Novus Product Discount.
  • Review with no image -- $10/€7/£6/$10 CAD/¥70 Yuan/¥1110 Yen
  • Review with an image -- $25/€18/£15/$25 CAD/¥150 Yuan/¥2500 Yen

Product General Protocols

Find general support by application which include: protocols, troubleshooting, illustrated assays, videos and webinars.

Video Protocols

WB Video Protocol
ICC/IF Video Protocol

FAQs for Matrin 3 Antibody (NBP2-75567) (0)

There are no specific FAQs related to this product. Read our general customer & technical service FAQs.

Secondary Antibodies

 

Isotype Controls

Additional Matrin 3 Products

Research Areas for Matrin 3 Antibody (NBP2-75567)

Find related products by research area.

Blogs on Matrin 3

There are no specific blogs for Matrin 3, but you can read our latest blog posts.

Contact Information

Product PDFs

Calculators

Concentration Calculator

The concentration calculator allows you to quickly calculate the volume, mass or concentration of your vial. Simply enter your mass, volume, or concentration values for your reagent and the calculator will determine the rest.

=
÷

Review this Product

Be the first to review our Matrin 3 Antibody (JU93-43) and receive a gift card or discount.

Bioinformatics

Gene Symbol MATR3