MARK1 Antibody

Images

 
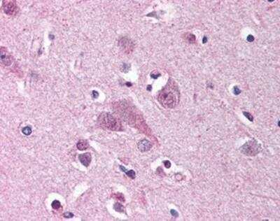
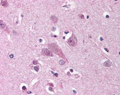
Immunohistochemistry-Paraffin: MARK1 Antibody [NBP1-02666] - Staining of human brain, cortex. Immunohistochemistry of formalin-fixed, paraffin-embedded tissue after heat-induced antigen retrieval. Antibody concentration ...read more

Product Details

Summary
Product Discontinued
View other related MARK1 Primary Antibodies

Order Details


    • Catalog Number
      NBP1-02666
    • Availability
      Product Discontinued

    Can't find what you are looking for? Use our Antibody Concierge Service & we will help you locate your antibody!

    Or feel free to contact us for alternative products.

MARK1 Antibody Summary

Immunogen
Synthetic 19 amino acid peptide from N-terminus of human MARK1.
Specificity
Human MARK1. BLAST analysis of the peptide immunogen showed no homology with other human proteins.
Predicted Species
Canine (95%), Bovine (95%). Backed by our 100% Guarantee.
Isotype
IgG
Clonality
Polyclonal
Host
Rabbit
Gene
MARK1
Purity
Immunogen affinity purified
Innovator's Reward
Test in a species/application not listed above to receive a full credit towards a future purchase.

Applications/Dilutions

Dilutions
  • Immunohistochemistry 1:10 - 1:500
  • Immunohistochemistry-Paraffin 2.5 ug/ml
Application Notes
IHC: NBP1-02666 was validated for use in immunohistochemistry on a panel of 21 formalin-fixed, paraffin-embedded (FFPE) human tissues after heat induced antigen retrieval in pH 6.0 citrate buffer. After incubation with the primary antibody, slides were incubated with biotinylated secondary antibody, followed by alkaline phosphatase-streptavidin and chromogen. The stained slides were evaluated by a pathologist to confirm staining specificity.

Reactivity Notes

Gibbon, Marmoset. Predicted cross-reactivity based on sequecne identity: Panda (95%), Rat (89%), Hamster (89%), Elephant (89%), Platypus (89%), Mouse (84%), Opossum (84%), Turkey (84%), Chicken (84%), Lizard (84%).

Packaging, Storage & Formulations

Storage
Store at 4C short term. Aliquot and store at -20C long term. Avoid freeze-thaw cycles.
Buffer
PBS
Preservative
0.1% Sodium Azide
Concentration
1.0 mg/ml
Purity
Immunogen affinity purified

Alternate Names for MARK1 Antibody

  • EC 2.7.11
  • EC 2.7.11.1
  • KIAA1477serine/threonine-protein kinase MARK1
  • MAP/microtubule affinity-regulating kinase 1MGC126512
  • MARKMGC126513

Background

MARK1, a MARK type protein kinase, has been shown to phosphorylate the microtubule-associated proteins tau, MAP2, and MAP4 on their microtubule-binding domain causing their dissociation from microtubules.

Limitations

This product is for research use only and is not approved for use in humans or in clinical diagnosis. Primary Antibodies are guaranteed for 1 year from date of receipt.

Customers Who Viewed This Item Also Viewed...

NBP1-78028
Species: Hu
Applications: ELISA, ICC/IF, WB
NBP1-71770
Species: Hu, Mu
Applications: ELISA, ICC/IF, IF, IHC, IHC-Fr,  IHC-P, WB
NBP2-25162
Species: Bv, Eq, Hu, Mu, Po, Rt
Applications: ICC/IF, IHC, PLA, WB
PP-H4417-00
Species: Hu
Applications: DirELISA, IP, WB
NBP2-37445
Species: Hu, Mu
Applications: CyTOF-ready, ELISA, Flow, IHC,  IHC-P, WB
NBP2-14835
Species: Hu, Mu
Applications: ICC/IF, IHC,  IHC-P, WB
NBP2-49382
Species: Hu
Applications: IHC,  IHC-P
AF1230
Species: Hu, Mu, Rt
Applications: IHC, KO, WB
NBP2-13304
Species: Hu
Applications: ICC/IF, IHC,  IHC-P, WB
NB300-213
Species: Fe, Hu, Mu, Rt
Applications: ICC/IF, IHC, IHC-Fr,  IHC-P, KD, WB
NBP3-05513
Species: Hu
Applications: ICC/IF, IHC,  IHC-P, WB
NBP2-45755
Species: Hu, Mu, Rt
Applications: IHC,  IHC-P, WB
NBP2-37602
Species: Hu, Pm, Rt
Applications: ELISA, Flow, ICC/IF, IHC,  IHC-P, WB
NBP2-22203
Species: Hu, Pm, Mu, Rt
Applications: ELISA, Flow, ICC/IF, IHC,  IHC-P, WB
NBP1-89483
Species: Hu
Applications: ICC/IF, IHC,  IHC-P, WB
AF467
Species: Hu, Mu
Applications: CyTOF-ready, Flow, ICC, IHC, Simple Western, WB
MAB17761
Species: Hu, Mu, Rt
Applications: ICC, WB
AF2850
Species: Hu, Mu, Rt
Applications: ICC, IHC, Simple Western, WB
NBP2-22127
Species: Hu, Mu, Pm, Rt
Applications: ELISA, Flow, ICC/IF, IHC,  IHC-P, Simple Western, WB
NBP1-02666
Species: Hu, Eq, Pm, Pm, Rb, Bv, Ca
Applications: IHC

Publications for MARK1 Antibody (NBP1-02666) (0)

There are no publications for MARK1 Antibody (NBP1-02666).
By submitting your publication information earn gift cards and discounts for future purchases.

Reviews for MARK1 Antibody (NBP1-02666) (0)

There are no reviews for MARK1 Antibody (NBP1-02666). By submitting a review you will receive an Amazon e-Gift Card or Novus Product Discount.
  • Review with no image -- $10/€7/£6/$10 CAD/¥70 Yuan/¥1110 Yen
  • Review with an image -- $25/€18/£15/$25 CAD/¥150 Yuan/¥2500 Yen

Product General Protocols

Find general support by application which include: protocols, troubleshooting, illustrated assays, videos and webinars.

FAQs for MARK1 Antibody (NBP1-02666) (0)

There are no specific FAQs related to this product. Read our general customer & technical service FAQs.

Secondary Antibodies

 

Isotype Controls

Additional MARK1 Products

Array NBP1-02666

Research Areas for MARK1 Antibody (NBP1-02666)

Find related products by research area.

Blogs on MARK1

There are no specific blogs for MARK1, but you can read our latest blog posts.

Contact Information

Product PDFs

Calculators

Concentration Calculator

The concentration calculator allows you to quickly calculate the volume, mass or concentration of your vial. Simply enter your mass, volume, or concentration values for your reagent and the calculator will determine the rest.

=
÷

Review this Product

Be the first to review our MARK1 Antibody and receive a gift card or discount.

Bioinformatics

Gene Symbol MARK1
Entrez
Uniprot