MAO-A Antibody (OTI2F10)

Images

 
Western Blot: MAO-A Antibody (2F10) [NBP2-01752] - HEK293T cells were transfected with the pCMV6-ENTRY control (Left lane) or pCMV6-ENTRY MAO-A Antibody (Right lane) cDNA for 48 hrs and lysed. Equivalent amounts of cell ...read more
Immunohistochemistry-Paraffin: MAO-A Antibody (2F10) [NBP2-01752] - Staining of paraffin-embedded Human tonsil using anti-Monoamine Oxidase A mouse monoclonal antibody.
Immunohistochemistry-Paraffin: MAO-A Antibody (2F10) [NBP2-01752] - Staining of paraffin-embedded Adenocarcinoma of Human endometrium tissue using anti-Monoamine Oxidase A mouse monoclonal antibody.
Immunohistochemistry-Paraffin: MAO-A Antibody (2F10) [NBP2-01752] - Staining of paraffin-embedded Adenocarcinoma of Human ovary tissue using anti-Monoamine Oxidase A mouse monoclonal antibody.
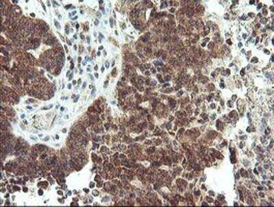
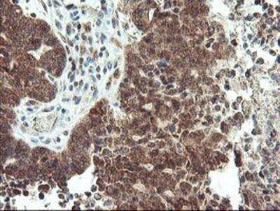
Immunohistochemistry-Paraffin: MAO-A Antibody (2F10) [NBP2-01752] - Staining of paraffin-embedded Carcinoma of Human prostate tissue using anti-Monoamine Oxidase A mouse monoclonal antibody.
Immunohistochemistry-Paraffin: MAO-A Antibody (2F10) [NBP2-01752] - Staining of paraffin-embedded Human breast tissue using anti-Monoamine Oxidase A mouse monoclonal antibody.
Immunohistochemistry-Paraffin: MAO-A Antibody (2F10) [NBP2-01752] - Staining of paraffin-embedded Human Kidney tissue using anti-Monoamine Oxidase A mouse monoclonal antibody.
Immunohistochemistry-Paraffin: MAO-A Antibody (2F10) [NBP2-01752] - Staining of paraffin-embedded Human pancreas tissue using anti-Monoamine Oxidase A mouse monoclonal antibody.

Product Details

Summary
Product Discontinued
View other related MAO-A Primary Antibodies

Order Details


    • Catalog Number
      NBP2-01752
    • Availability
      Product Discontinued

    Can't find what you are looking for? Use our Antibody Concierge Service & we will help you locate your antibody!

    Or feel free to contact us for alternative products.

MAO-A Antibody (OTI2F10) Summary

Immunogen
Human recombinant protein fragment corresponding to amino acids 249-484 of human MAOA(NP_000231) produced in E.coli.
Marker
Mitochondrial Outer Membrane Marker
Isotype
IgG1
Clonality
Monoclonal
Host
Mouse
Gene
MAOA
Purity
Immunogen affinity purified
Innovator's Reward
Test in a species/application not listed above to receive a full credit towards a future purchase.

Applications/Dilutions

Dilutions
  • Immunohistochemistry 1:10-1:500
  • Immunohistochemistry-Paraffin 1:150
  • Western Blot 1:2000
Theoretical MW
59.5 kDa.
Disclaimer note: The observed molecular weight of the protein may vary from the listed predicted molecular weight due to post translational modifications, post translation cleavages, relative charges, and other experimental factors.

Reactivity Notes

Please note that this antibody is reactive to Mouse and derived from the same host, Mouse. Mouse-On-Mouse blocking reagent may be needed for IHC and ICC experiments to reduce high background signal. You can find these reagents under catalog numbers PK-2200-NB and MP-2400-NB. Please contact Technical Support if you have any questions.

Packaging, Storage & Formulations

Storage
Store at -20C. Avoid freeze-thaw cycles.
Buffer
PBS (pH 7.3), 1.0% BSA and 50% Glycerol
Preservative
0.02% Sodium Azide
Concentration
0.8 mg/ml
Purity
Immunogen affinity purified

Alternate Names for MAO-A Antibody (OTI2F10)

  • amine oxidase [flavin-containing] A
  • EC 1.4.3
  • EC 1.4.3.4
  • MAOA
  • MAO-A
  • monoamine oxidase A
  • Monoamine oxidase type A

Background

This gene encodes monoamine oxidase A, an enzyme that degrades amine neurotransmitters, such as dopamine, norepinephrine, and serotonin. The protein localizes to the mitochondrial outer membrane. The gene is adjacent to a related gene on the opposite strand of chromosome X. Mutation in this gene results in monoamine oxidase deficiency, or Brunner syndrome. [provided by RefSeq].

Limitations

This product is for research use only and is not approved for use in humans or in clinical diagnosis. Primary Antibodies are guaranteed for 1 year from date of receipt.

Customers Who Viewed This Item Also Viewed...

NBP1-87493
Species: Hu, Mu, Rt
Applications: IHC,  IHC-P, WB
NBP2-15954
Species: Hu, Rt
Applications: IHC,  IHC-P, KO, WB
H00006532-D01P
Species: Hu, Mu
Applications: WB
NBP1-89671
Species: Eq, Hu
Applications: IHC,  IHC-P, WB
H00000314-Q01
Species: Hu
Applications: ELISA, AP, PA, WB
NBP2-22164
Species: Hu(-), Mu, Rt
Applications: ELISA, ICC/IF, IHC,  IHC-P, IP, WB
NB300-109
Species: Ch, Dr, Hu, I, Ma, Mu, Rt
Applications: Dual ISH-IHC, ICC/IF, IHC-FrFl, IHC-WhMt, IHC, IHC-Fr,  IHC-P, KO, Simple Western, WB
NBP3-48739
Species: Hu
Applications: ICC/IF, IHC,  IHC-P, WB
NBP1-86922
Species: Hu
Applications: IHC,  IHC-P, WB
NB600-101
Species: Bv, Ha, Hu, Mu, Pm, Rt
Applications: B/N, DB, EM, Flow, ICC/IF, IHC,  IHC-P, IP, KD, PA, Simple Western, WB
NBP3-25443
Species: Hu, Mu, Rt
Applications: Flow, Func, ICC/IF, IHC,  IHC-P, WB
NBP1-31386
Species: Hu, Mu, Rt
Applications: IHC,  IHC-P, WB
NB100-74510
Species: Hu, Mu, Pm, Rt
Applications: ELISA, ICC/IF, IHC,  IHC-P, IP, WB
MAB2476
Species: Hu
Applications: IHC, WB
NB100-182
Species: Av, Ca, Hu, Ma, Mu, Pm, Rt, Ze
Applications: ChIP, ChIP, Flow, IB, ICC/IF, IHC,  IHC-P, IP, KD, KO, RNAi, Simple Western, WB
NBP2-26091
Species: Hu
Applications: Flow, ICC/IF, IHC,  IHC-P, PEP-ELISA
AF3398
Species: Hu, Mu, Rt
Applications: ICC, KO, Simple Western, WB
NBP2-21590
Species: Hu, Mu
Applications: ICC/IF, IHC-Fr, Simple Western, WB
H00006999-B01P
Species: Hu, Mu
Applications: IHC,  IHC-P, WB
NBP2-01752
Species: Hu, Mu, Rt
Applications: WB, IHC

Publications for MAO-A Antibody (NBP2-01752) (0)

There are no publications for MAO-A Antibody (NBP2-01752).
By submitting your publication information earn gift cards and discounts for future purchases.

Reviews for MAO-A Antibody (NBP2-01752) (0)

There are no reviews for MAO-A Antibody (NBP2-01752). By submitting a review you will receive an Amazon e-Gift Card or Novus Product Discount.
  • Review with no image -- $10/€7/£6/$10 CAD/¥70 Yuan/¥1110 Yen
  • Review with an image -- $25/€18/£15/$25 CAD/¥150 Yuan/¥2500 Yen

Product General Protocols

Find general support by application which include: protocols, troubleshooting, illustrated assays, videos and webinars.

Video Protocols

WB Video Protocol

FAQs for MAO-A Antibody (NBP2-01752) (0)

There are no specific FAQs related to this product. Read our general customer & technical service FAQs.

Secondary Antibodies

 

Isotype Controls

Additional MAO-A Products

Research Areas for MAO-A Antibody (NBP2-01752)

Find related products by research area.

Blogs on MAO-A

There are no specific blogs for MAO-A, but you can read our latest blog posts.

Contact Information

Product PDFs

Calculators

Concentration Calculator

The concentration calculator allows you to quickly calculate the volume, mass or concentration of your vial. Simply enter your mass, volume, or concentration values for your reagent and the calculator will determine the rest.

=
÷

Review this Product

Be the first to review our MAO-A Antibody (OTI2F10) and receive a gift card or discount.

Bioinformatics

Gene Symbol MAOA
Entrez