LSP1 Antibody (SN06-25)

Images

 
Western Blot: LSP1 Antibody (SN06-25) [NBP2-67725] - Analysis of LSP1 on Daudi cells lysates using anti-LSP1 antibody at 1/1,000 dilution.
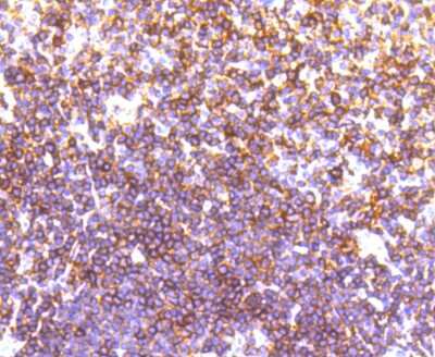
Immunohistochemistry-Paraffin: LSP1 Antibody (SN06-25) [NBP2-67725] - Analysis of paraffin-embedded mouse thymus tissue using anti-LSP1 antibody. Counter stained with hematoxylin.
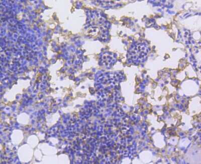
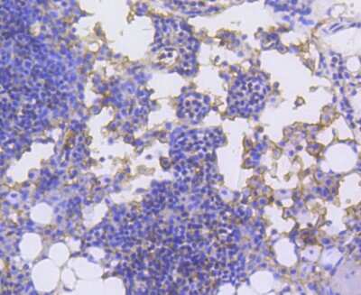
Immunohistochemistry-Paraffin: LSP1 Antibody (SN06-25) [NBP2-67725] - Analysis of paraffin-embedded human tonsil tissue using anti-LSP1 antibody. Counter stained with hematoxylin.

Product Details

Summary
Product Discontinued
View other related LSP1 Primary Antibodies

Order Details


    • Catalog Number
      NBP2-67725
    • Availability
      Product Discontinued

    Can't find what you are looking for? Use our Antibody Concierge Service & we will help you locate your antibody!

    Or feel free to contact us for alternative products.

LSP1 Antibody (SN06-25) Summary

Additional Information
Recombinant Monoclonal Antibody.
Immunogen
Recombinant protein within Human LSP1 aa 249-339 / 339. (SwissProt: P33241 Human; SwissProt: P19973 Mouse; Unigene: 101608 Rat)
Localization
Cell membrane.
Isotype
IgG
Clonality
Monoclonal
Host
Rabbit
Gene
LSP1
Purity
Protein A purified
Innovator's Reward
Test in a species/application not listed above to receive a full credit towards a future purchase.

Applications/Dilutions

Dilutions
  • Immunocytochemistry/ Immunofluorescence 1:50-1:200
  • Immunohistochemistry
  • Immunohistochemistry-Paraffin 1:50-1:200
  • Western Blot 1:1000

Packaging, Storage & Formulations

Storage
Store at 4C short term. Aliquot and store at -20C long term. Avoid freeze-thaw cycles.
Buffer
TBS (pH7.4), 0.05% BSA, 40% Glycerol
Preservative
0.05% Sodium Azide
Concentration
1 mg/ml
Purity
Protein A purified

Alternate Names for LSP1 Antibody (SN06-25)

  • 47 kDa actin binding protein
  • 47 kDa actin-binding protein
  • 52 kDa phosphoprotein
  • F-actin binding and cytoskeleton associated protein
  • leufactin (leukocyte F-actin binding protein)
  • leukocyte-specific protein 1
  • lymphocyte-specific protein 1
  • lymphocyte-specific protein pp52
  • pp52
  • WP34Lymphocyte-specific antigen WP34

Background

LSP1 encodes an intracellular F-actin binding protein. The protein is expressed in lymphocytes, neutrophils, macrophages, and endothelium and may regulate neutrophil motility, adhesion to fibrinogen matrix proteins, and transendothelial migration. Alternative splicing results in multiple transcript variants encoding different isoforms.

Limitations

This product is for research use only and is not approved for use in humans or in clinical diagnosis. Primary Antibodies are guaranteed for 1 year from date of receipt.

Customers Who Viewed This Item Also Viewed...

NBP2-45165
Species: Ch, Hu
Applications: ELISA, ICC/IF, IHC,  IHC-P, PA, WB
H00002263-M01
Species: Bv, Hu
Applications: ELISA, ICC/IF, IHC,  IHC-P, S-ELISA, WB
NBP3-02962
Species: Hu, Mu, Rt
Applications: ICC/IF, IHC,  IHC-P, WB
NB100-404
Species: Hu
Applications: ChIP, ICC/IF, IHC,  IHC-P, IP, KD, KO, WB
NB300-560
Species: Av, Bv, Ma, Hu, Mu, Pm, Rt
Applications: IF, IHC, IHC-Fr,  IHC-P, WB
AF1230
Species: Hu, Mu, Rt
Applications: IHC, KO, WB
MAB2476
Species: Hu
Applications: IHC, WB
NB100-56116
Species: Ma, Hu, Mu, Rt
Applications: Flow, ICC/IF, IHC, IHC-Fr,  IHC-P, IP, Simple Western, WB
DYC1825-2
Species: Hu, Mu, Rt
Applications: ELISA
H00009261-M01
Species: Hu
Applications: ELISA, ICC/IF, IHC,  IHC-P, IP, PLA, Simple Western, WB
NB200-103
Species: Hu, Mu, Rt, Xp(-), Ye
Applications: CyTOF-ready, ELISA, Flow-IC, Flow, ICC/IF, IHC, IHC-Fr,  IHC-P, IP, WB
NB120-14817
Species: Hu, Rt
Applications: ICC/IF, IHC, S-ELISA, WB
MAB6210
Species: Hu
Applications: Simple Western, WB
1257-FC
Species: Hu
Applications: Bind
NBP1-45072
Species: Hu
Applications: ICC/IF, IP, WB
NBP1-87850
Species: Hu
Applications:  IHC-P
NB100-74482
Species: Hu
Applications: ICC/IF, IHC, IHC-Fr,  IHC-P, IP, WB

Publications for LSP1 Antibody (NBP2-67725) (0)

There are no publications for LSP1 Antibody (NBP2-67725).
By submitting your publication information earn gift cards and discounts for future purchases.

Reviews for LSP1 Antibody (NBP2-67725) (0)

There are no reviews for LSP1 Antibody (NBP2-67725). By submitting a review you will receive an Amazon e-Gift Card or Novus Product Discount.
  • Review with no image -- $10/€7/£6/$10 CAD/¥70 Yuan/¥1110 Yen
  • Review with an image -- $25/€18/£15/$25 CAD/¥150 Yuan/¥2500 Yen

Product General Protocols

Find general support by application which include: protocols, troubleshooting, illustrated assays, videos and webinars.

Video Protocols

WB Video Protocol
ICC/IF Video Protocol

FAQs for LSP1 Antibody (NBP2-67725) (0)

There are no specific FAQs related to this product. Read our general customer & technical service FAQs.

Contact Information

Product PDFs

Calculators

Concentration Calculator

The concentration calculator allows you to quickly calculate the volume, mass or concentration of your vial. Simply enter your mass, volume, or concentration values for your reagent and the calculator will determine the rest.

=
÷

Review this Product

Be the first to review our LSP1 Antibody (SN06-25) and receive a gift card or discount.

Bioinformatics

Gene Symbol LSP1