Kv7.5 Antibody - BSA Free Summary
                         
                                
                                
                                
            | Description | Novus Biologicals Rabbit Kv7.5 Antibody - BSA Free (NBP1-82861) is a polyclonal antibody validated for use in IHC and ICC/IF. All Novus Biologicals antibodies are covered by our 100% guarantee. | 
            | Immunogen | This antibody was developed against Recombinant Protein corresponding to amino acids: LALASFQIPPFECEQTSDYQSPVDSKDLSGSAQNSGCLSRSTSANISRGLQFILTPNEFSAQTFYALSPTMHSQATQVPISQSDGSAVAATNTIANQINTAPKPAAPTTLQIPPPL | 
            | Predicted Species | Mouse (91%). Backed by our 100% Guarantee. | 
            | Isotype | IgG | 
            | Clonality | Polyclonal | 
            | Host | Rabbit | 
            | Gene | KCNQ5 | 
            | Purity | Immunogen affinity purified | 
            | Innovator's Reward | Test in a species/application not listed above to receive a full credit towards a future purchase. | 
                                
                          Applications/Dilutions
                                
                                    
                                    
                                        
                              
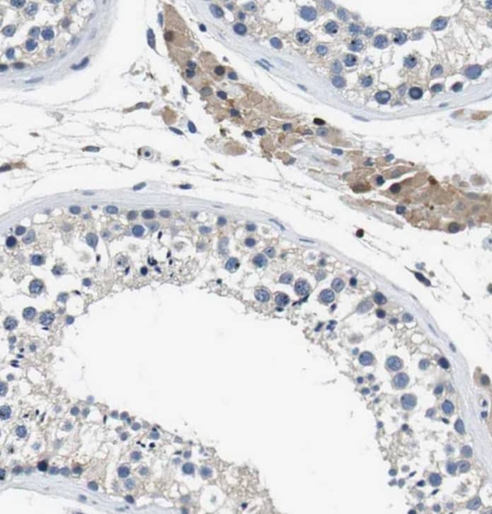
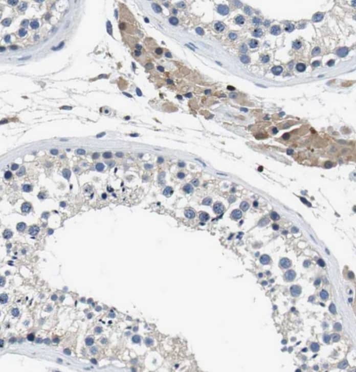
                                  | Dilutions | Immunocytochemistry/ Immunofluorescence 0.25-2 ug/mlImmunohistochemistry 1:20 - 1:50Immunohistochemistry-Paraffin 1:20 - 1:50
 | 
            | Application Notes | For IHC-Paraffin, HIER pH 6 retrieval is recommended. ICC/IF Fixation Permeabilization: Use PFA/Triton X-100. | 
                                        
                                            | Control Peptide |  | 
                                    
                                 Reactivity Notes
                        
                                
                                        
                                        Immunogen displays the following percentage of sequence identity for non-tested species: Rat (88%)
                                          Packaging, Storage & Formulations
            | Storage | Store at 4C short term. Aliquot and store at -20C long term. Avoid freeze-thaw cycles. | 
            | Buffer | PBS (pH 7.2) and 40% Glycerol | 
            | Preservative | 0.02% Sodium Azide | 
            | Purity | Immunogen affinity purified | 
Alternate Names for Kv7.5 Antibody - BSA Free
                     Background
 
                    
                    KCNQ5 is a gene that codes for a protein that is thought to be important in the regulation of neuronal excitability, which has 5 isoforms, with lengths of 932, 923, 942, 427, and 822 amino acids and weights of approximately 102, 101, 104, 45, and 90 kDa respectively. Current studies are being done on diseases and disorders related to this gene including pharyngitis, cerebritis, schizophrenia, and neuronitis. KCNQ5 has also been shown to have interactions with CALM1, CALM2, CALM3, DISC1, and KCNQ3 in pathways such as the synaptic transmission-ion currents, dopamine-DARPP32 feedback, potassium channels, and celecoxib pathways.
                      Limitations
 
                    
                    This product is for research use only and is not approved for use in humans or in clinical diagnosis. Primary Antibodies are 
guaranteed for 1 year from date of receipt.
 Customers Who Viewed This Item Also Viewed...
                
                
                            
                                  
                                       Species: Ha, Hu, Mu, Rt
Applications: ICC/IF, IHC,  IHC-P, IP, MiAr, WB
                                     
                             
                            
                                  
                                       
                                                Species: Ha, Mu
Applications: WB
                                     
                                 
                              
                            
                                  
                                       Species: Hu
Applications: ICC/IF, IHC,  IHC-P
                                     
                             
                            
                                  
                                       Species: Hu, Mu, Rt
Applications: ICC/IF, IHC, IHC-Fr, IP, MiAr, WB
                                     
                              
                            
                                  
                                       
                                                Species: Ca, Gp, Hu, Pm, Rt
Applications: ELISA, ICC/IF, KD, WB
                                     
                                 
                             
                            
                                  
                                       
                                                
                                                Species: Bv, Hu, Mu, Rt
Applications: IHC, IHC-Fr,  IHC-P, IP, WB
                                     
                                 
                              
                            
                                  
                                       Species: Hu, Mu
Applications: IHC,  IHC-P, WB
                                     
                             
                            
                                  
                                       
                                                Species: Hu, Mu, Rt
Applications: Flow, ICC/IF, IHC,  IHC-P, WB
                                     
                                 
                              
                            
                                  
                                       Species: Hu
Applications: IHC,  IHC-P, WB
                                     
                             
                            
                                  
                                       
                                                Species: Bv, Ca, Hu, Mu, Rt
Applications: IHC,  IHC-P, PEP-ELISA, WB
                                     
                                 
                              
                            
                                  
                                       
                                                Species: Hu, Mu, Rt
Applications: IHC, IHC-Fr,  IHC-P, WB
                                     
                                 
                             
                            
                                  
                                       Species: Hu, Mu, Rt
Applications: ICC/IF, IHC, WB
                                     
                              
                            
                                  
                                       Species: Hu, Mu, Rt
Applications: ELISA, WB
                                     
                             
                            
                                  
                                       Species: Hu
Applications: IHC, WB
                                     
                              
                            
                                  
                                       
                                                
                                                Species: Hu, Pm, Mu, Rt
Applications: ICC/IF, IHC,  IHC-P, MiAr, WB
                                     
                                 
                             
                            
                                  
                                       
                                                
                                                Species: Fe, Hu, Mu, Rt
Applications: ICC/IF, IHC, IHC-Fr,  IHC-P, KD, WB
                                     
                                 
                              
                            
                                  
                                       
                                                
                                                Species: Hu, Rt
Applications: ELISA, IHC,  IHC-P, WB
                                     
                                 
                             
                            
                                  
                                       Species: Hu
Applications: ICC/IF, IHC,  IHC-P, WB
                                     
                              
                            
                                  
                                       Species: Hu
Applications: ICC/IF, IHC,  IHC-P, WB
                                     
                             
                            
                                  
                                       Species: Hu, Mu
Applications: ICC/IF, IHC
                                     
                              
                   
                  
            
                        
                        Publications for Kv7.5 Antibody (NBP1-82861) (0)
             
            
                        There are no publications for Kv7.5 Antibody (NBP1-82861).
                        By submitting your publication information earn gift cards and discounts for future purchases.
             
            
                        
                        Reviews for Kv7.5 Antibody (NBP1-82861) (0)	
                        
                        There are no reviews for Kv7.5 Antibody (NBP1-82861).
                        By submitting a review you will receive an Amazon e-Gift Card or Novus Product Discount. 
                            
                                - Review with no image -- $10/€7/£6/$10 CAD/¥70 Yuan/¥1110 Yen
- Review with an image -- $25/€18/£15/$25 CAD/¥150 Yuan/¥2500 Yen
   
                  Product General Protocols
                        
                        Find general support by application which include: protocols, troubleshooting, illustrated assays, videos and webinars.
                        
Video Protocols
                        
                          FAQs for Kv7.5 Antibody (NBP1-82861) (0)
                        
                             
                  | Secondary Antibodies |  | Isotype Controls | 
Additional Kv7.5 Products
                            
                            | Research Areas for Kv7.5 Antibody (NBP1-82861)Find related products by research area. | 
Blogs on Kv7.5