KIBRA Antibody

Images

 
Western Blot: KIBRA Antibody [NBP1-92052] - Analysis in human cell line CACO-2.
Immunocytochemistry/ Immunofluorescence: KIBRA Antibody [NBP1-92052] - Staining of human cell line A-431 shows localization to the Golgi apparatus. Antibody staining is shown in green.
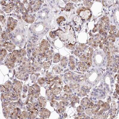
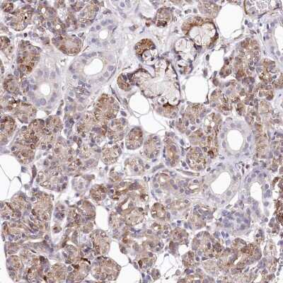
Immunohistochemistry-Paraffin: KIBRA Antibody [NBP1-92052] - Staining of human salivary gland shows moderate cytoplasmic positivity in glandular cells.

Product Details

Summary
Product Discontinued
View other related KIBRA Primary Antibodies

Order Details


    • Catalog Number
      NBP1-92052
    • Availability
      Product Discontinued

    Can't find what you are looking for? Use our Antibody Concierge Service & we will help you locate your antibody!

    Or feel free to contact us for alternative products.

KIBRA Antibody Summary

Immunogen
This antibody was developed against Recombinant Protein corresponding to amino acids: RSGERSTRWYNLLSYKYLKKQSRELKPVGVMAPASGPASTDAVSALLEQTAVELEKRQEGRSSTQTLEDSWRYEETSENE
Isotype
IgG
Clonality
Polyclonal
Host
Rabbit
Gene
WWC1
Purity
Immunogen affinity purified
Innovator's Reward
Test in a species/application not listed above to receive a full credit towards a future purchase.

Applications/Dilutions

Dilutions
  • Immunocytochemistry/ Immunofluorescence 0.25-2 ug/ml
  • Immunohistochemistry 1:500 - 1:1000
  • Immunohistochemistry-Paraffin 1:500 - 1:1000
  • Western Blot 0.04-0.4 ug/ml
Application Notes
For IHC-Paraffin, HIER pH 6 retrieval is recommended. ICC/IF Fixation Permeabilization: Use PFA/Triton X-100.
Publications
Read Publication using
NBP1-92052 in the following applications:

  • WB
    1 publication

Reactivity Notes

Human reactivity reported in scientific literature (PMID: 24336325).

Packaging, Storage & Formulations

Storage
Store at 4C short term. Aliquot and store at -20C long term. Avoid freeze-thaw cycles.
Buffer
PBS (pH 7.2) and 40% Glycerol
Preservative
0.02% Sodium Azide
Purity
Immunogen affinity purified

Alternate Names for KIBRA Antibody

  • FLJ10865
  • FLJ23369
  • HBeAg-binding protein 3
  • KIAA0869HBEBP3
  • KIBRAHBEBP36
  • Kidney and brain protein
  • protein KIBRA
  • protein WWC1
  • WW and C2 domain containing 1
  • WW domain-containing protein 1
  • WW, C2 and coiled-coil domain containing 1

Limitations

This product is for research use only and is not approved for use in humans or in clinical diagnosis. Primary Antibodies are guaranteed for 1 year from date of receipt.

Customers Who Viewed This Item Also Viewed...

AF5480
Species: Hu
Applications: IHC
NB110-58358
Species: Ca, Hu, Mu, Rt, Ze
Applications: ChIP, IB, ICC/IF, IHC, IHC-Fr,  IHC-P, IP, KD, KO, Simple Western, WB
MAB7940
Species: Hu
Applications: IHC, WB
NBP1-87757
Species: Hu, Mu, Rt
Applications: ICC/IF, IHC,  IHC-P, KD, WB
H00060485-M02
Species: Hu, Mu, Ye
Applications: ELISA, ICC/IF, IHC,  IHC-P, IP, WB
DBD00
Species: Hu
Applications: ELISA
NBP2-15954
Species: Hu, Rt
Applications: IHC,  IHC-P, KO, WB
NBP1-48284
Species: Hu, Mu, Rt
Applications: ICC/IF, IHC,  IHC-P, WB
NBP1-81763
Species: Hu
Applications: IHC,  IHC-P
NB200-197
Species: Hu, Mu
Applications: IP, WB
NB100-1354
Species: Hu
Applications: Flow, ICC/IF, PEP-ELISA
NBP3-46037
Species: Hu, Mu
Applications: ELISA, ICC/IF, IHC, , WB
NBP1-88882
Species: Hu, Mu, Rt
Applications: IHC,  IHC-P, WB
MAB4457
Species: Hu, Mu, Rt
Applications: WB
NBP2-38487
Species: Hu
Applications: ICC/IF, IHC,  IHC-P, WB
NBP2-67796
Species: Hu, Mu, Rt
Applications: ICC/IF, IHC,  IHC-P, IP, WB
NBP1-85729
Species: Hu, Mu, Rt
Applications: ICC/IF, IHC,  IHC-P, WB
NBP1-92052
Species: Hu
Applications: WB, ICC/IF, IHC

Publications for KIBRA Antibody (NBP1-92052)(1)

We have publications tested in 1 confirmed species: Human.

We have publications tested in 1 application: WB.


Filter By Application
WB
(1)
All Applications
Filter By Species
Human
(1)
All Species

Reviews for KIBRA Antibody (NBP1-92052) (0)

There are no reviews for KIBRA Antibody (NBP1-92052). By submitting a review you will receive an Amazon e-Gift Card or Novus Product Discount.
  • Review with no image -- $10/€7/£6/$10 CAD/¥70 Yuan/¥1110 Yen
  • Review with an image -- $25/€18/£15/$25 CAD/¥150 Yuan/¥2500 Yen

Product General Protocols

Find general support by application which include: protocols, troubleshooting, illustrated assays, videos and webinars.

Video Protocols

WB Video Protocol
ICC/IF Video Protocol

FAQs for KIBRA Antibody (NBP1-92052) (0)

There are no specific FAQs related to this product. Read our general customer & technical service FAQs.

Secondary Antibodies

 

Isotype Controls

Additional KIBRA Products

Research Areas for KIBRA Antibody (NBP1-92052)

Find related products by research area.

Blogs on KIBRA

There are no specific blogs for KIBRA, but you can read our latest blog posts.

Contact Information

Product PDFs

Calculators

Concentration Calculator

The concentration calculator allows you to quickly calculate the volume, mass or concentration of your vial. Simply enter your mass, volume, or concentration values for your reagent and the calculator will determine the rest.

=
÷

Review this Product

Be the first to review our KIBRA Antibody and receive a gift card or discount.

Bioinformatics

Gene Symbol WWC1