JNK1 [p Thr183, p Thr221] Antibody (ST500)

Images

 
Western Blot: JNK1 [p Thr183, p Thr221] Antibody (ST500) [NBP2-67514] - Analysis of JNK1/2/3 [p Thr183, p Thr183, p Thr221] on different lysates with Rabbit anti- JNK1/2/3 [p Thr183, p Thr183, p Thr221] antibody ...read more
Immunocytochemistry/ Immunofluorescence: JNK1 [p Thr183, p Thr221] Antibody (ST500) [NBP2-67514] - Staining Phospho-JNK1/2/3(T183+T183+T221) in NIH/3T3 cells (green). The nuclear counter stain is DAPI (blue). Cells were ...read more
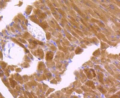
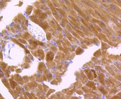
Immunohistochemistry-Paraffin: JNK1 [p Thr183, p Thr221] Antibody (ST500) [NBP2-67514] - Analysis of paraffin-embedded mouse heart tissue with Rabbit anti-Phospho-JNK1 [p Thr183, p Thr183, p Thr221] antibody washed with ...read more
Flow Cytometry: JNK1 [p Thr183, p Thr221] Antibody (ST500) [NBP2-67514] - Analysis of Hela cells with Phospho-JNK1/2/3(T183+T183+T221) antibody at 1/50 dilution (blue) compared with an unlabelled control (cells without ...read more
Western Blot: JNK1 [p Thr183, p Thr221] Antibody (ST500) [NBP2-67514] - Analysis of Phospho-JNK1/2/3(T183+T183+T221) on different lysates using anti-Phospho-JNK1/2/3(T183+T183+T221) antibody at 1/1,000 dilution. ...read more
Immunocytochemistry/ Immunofluorescence: JNK1 [p Thr183, p Thr221] Antibody (ST500) [NBP2-67514] - Staining Phospho-JNK1/2/3(T183+T183+T221) in Hela cells (green). The nuclear counter stain is DAPI (blue). Cells were ...read more
Immunocytochemistry/ Immunofluorescence: JNK1 [p Thr183, p Thr221] Antibody (ST500) [NBP2-67514] - Staining Phospho-JNK1/2/3(T183+T183+T221) in HUVEC cells (green). The nuclear counter stain is DAPI (blue). Cells were ...read more
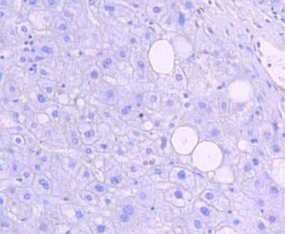
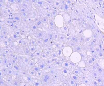
Immunohistochemistry-Paraffin: JNK1 [p Thr183, p Thr221] Antibody (ST500) [NBP2-67514] - Analysis of paraffin-embedded human liver tissue using anti-Phospho-JNK1/2/3(T183+T183+T221) antibody. Counter stained with ...read more
Immunohistochemistry-Paraffin: JNK1 [p Thr183, p Thr221] Antibody (ST500) [NBP2-67514] - Analysis of paraffin-embedded human uterus tissue using anti-Phospho-JNK1/2/3(T183+T183+T221) antibody. Counter stained with ...read more
Immunohistochemistry-Paraffin: JNK1 [p Thr183, p Thr221] Antibody (ST500) [NBP2-67514] - Analysis of paraffin-embedded mouse heart tissue using anti-Phospho-JNK1/2/3(T183+T183+T221) antibody. Counter stained with ...read more
Immunohistochemistry-Paraffin: JNK1 [p Thr183, p Thr221] Antibody (ST500) [NBP2-67514] - Analysis of paraffin-embedded human colon tissue with Rabbit anti-Phospho-JNK1/2/3(T183+T183+T221) antibody washed with ddH2O and ...read more
Immunohistochemistry-Paraffin: JNK1 [p Thr183, p Thr221] Antibody (ST500) [NBP2-67514] - Analysis of paraffin-embedded human endometrium tissue with Rabbit anti-JNK1 [p Thr183, p Thr183, p Thr221) antibody washed with ...read more

Product Details

Summary
Product Discontinued
View other related JNK1 Primary Antibodies

Order Details


    • Catalog Number
      NBP2-67514
    • Availability
      Product Discontinued

    Can't find what you are looking for? Use our Antibody Concierge Service & we will help you locate your antibody!

    Or feel free to contact us for alternative products.

JNK1 [p Thr183, p Thr221] Antibody (ST500) Summary

Additional Information
Recombinant Monoclonal Antibody.
Immunogen
Synthetic phospho-peptide corresponding to residues surrounding Thr183 + Thr183 + Thr221 of Human JNK1/2/3 aa 161-204 / 427. (SwissProt: P45983 Human; SwissProt: P45984 Human; SwissProt: P53779 Human; SwissProt: Q61831 Mouse; SwissProt: Q91Y86 Mouse; SwissProt: Q9WTU6 Mouse; SwissProt: P49185 Rat; SwissProt: P49186 Rat; SwissProt: P49187 Rat)
Modification
p Thr183, p Thr221
Localization
Cytoplasm, Membrane, Mitochondrion, Nucleus.
Isotype
IgG
Clonality
Monoclonal
Host
Rabbit
Gene
MAPK8
Purity
Protein A purified
Innovator's Reward
Test in a species/application not listed above to receive a full credit towards a future purchase.

Applications/Dilutions

Dilutions
  • Flow Cytometry 1:50-1:100
  • Immunocytochemistry/ Immunofluorescence 1:50-1:200
  • Immunohistochemistry
  • Immunohistochemistry-Paraffin 1:50-1:400
  • Immunoprecipitation
  • Western Blot 1:1000-1:2000
Reviewed Applications
Read 1 Review rated 2
using
NBP2-67514 in the following applications:

Packaging, Storage & Formulations

Storage
Store at 4C short term. Aliquot and store at -20C long term. Avoid freeze-thaw cycles.
Buffer
TBS (pH7.4), 0.05% BSA, 40% Glycerol
Preservative
0.05% Sodium Azide
Concentration
1 mg/ml
Purity
Protein A purified

Alternate Names for JNK1 [p Thr183, p Thr221] Antibody (ST500)

  • c-Jun N-terminal kinase 1
  • EC 2.7.11
  • EC 2.7.11.24
  • JNK1 alpha protein kinase
  • JNK1 beta protein kinase
  • JNK1
  • JNK1JNK1A2
  • JNK-46
  • JUN N-terminal kinase
  • MAP kinase 8
  • MAPK 8
  • MAPK8
  • mitogen-activated protein kinase 8 isoform JNK1 alpha1
  • mitogen-activated protein kinase 8 isoform JNK1 beta2
  • mitogen-activated protein kinase 8
  • PRKM8
  • PRKM8JNK
  • protein kinase JNK1
  • SAPK1
  • SAPK1JNK21B1/2
  • Stress-activated protein kinase 1
  • Stress-activated protein kinase JNK1

Background

JNK1, also known as MAPK1, is a JNK protein subgroup familymenber of the mitogen-activated protein kinase (MAPK) superfamily and is part of a signal transduction cascade that is activated by cytokines and by exposure to environmental stresses. Components of the JNK (c-Jun N-terminal kinase) signaling pathway have been shown to interact with the insulin signaling pathway and play a pivotal role in lifespan regulation and stress resistance in many diverse organisms. Therefore, JNK1 plays a role in regulating both life span and stress resistance.

Limitations

This product is for research use only and is not approved for use in humans or in clinical diagnosis. Primary Antibodies are guaranteed for 1 year from date of receipt.

Customers Who Viewed This Item Also Viewed...

AF1230
Species: Hu, Mu, Rt
Applications: IHC, KO, WB
NBP2-67471
Species: Hu, Mu, Rt
Applications: ICC/IF, IHC,  IHC-P, WB
DYC1825-2
Species: Hu, Mu, Rt
Applications: ELISA
AF8691
Species: Hu, Mu, Rt
Applications: IHC, KO, Simple Western, WB
AF467
Species: Hu, Mu
Applications: CyTOF-ready, Flow, ICC, IHC, Simple Western, WB
NBP2-37568
Species: Hu
Applications: ELISA, Flow, ICC/IF, IHC,  IHC-P, WB
NBP2-00764
Species: Hu, Mu, Rt
Applications: Flow, IHC,  IHC-P, WB
NBP1-81575
Species: Hu, Mu, Rt
Applications: ICC/IF, IHC,  IHC-P, WB
H00010598-M01
Species: Hu, Mu, Rt
Applications: ELISA, ICC/IF, S-ELISA, WB
NBP1-68874
Species: Hu, Mu, Rt
Applications: PEP-ELISA, WB
MAB1846
Species: Hu, Mu, Rt
Applications: ICC, KO, WB
NBP2-72710
Species: Ca, Hu, Mu, Rt
Applications: CyTOF-ready, Flow, ICC/IF, IHC,  IHC-P, IP, WB
NBP2-50037
Species: Hu, Mu, Rt
Applications: ICC/IF, IHC, KO, WB
AF887
Species: Hu, Mu, Rt
Applications: CyTOF-ready, IHC, ICFlow, Simple Western, WB
NB100-56583
Species: Hu, Rb, Rt
Applications: Flow, IHC,  IHC-P, KO, Simple Western, WB
NBP2-13304
Species: Hu
Applications: ICC/IF, IHC,  IHC-P, WB
NBP3-16602
Species: Hu, Mu, Rt
Applications: IHC,  IHC-P, IP, WB

Publications for JNK1 Antibody (NBP2-67514) (0)

There are no publications for JNK1 Antibody (NBP2-67514).
By submitting your publication information earn gift cards and discounts for future purchases.

Review for JNK1 Antibody (NBP2-67514) (1) 21

Average Rating: 2
(Based on 1 review)
We have 1 review tested in 1 species: Human.

Reviews using NBP2-67514:
Filter by Applications
WB
(1)
All Applications
Filter by Species
Human
(1)
All Species
Images Ratings Applications Species Date Details
Western Blot JNK1 NBP2-67514
Enlarge
2
reviewed by:
Pauline Jeannot
WB Human 10/17/2021
View

Summary

ApplicationWestern Blot
Sample TestedU251 glioma cell line; whole cell lysate
SpeciesHuman
LotHN1207

Comments

Comments***Bio-Techne Response: Thank you for reviewing our product. We are sorry to hear that this product did not perform as expected. We have been in touch with the customer to resolve this issue according to our Product Guarantee and to the customer’s satisfaction.***

Product General Protocols

Video Protocols

WB Video Protocol
ICC/IF Video Protocol

FAQs for JNK1 Antibody (NBP2-67514) (0)

There are no specific FAQs related to this product. Read our general customer & technical service FAQs.

Secondary Antibodies

 

Isotype Controls

Additional JNK1 Products

Research Areas for JNK1 Antibody (NBP2-67514)

Find related products by research area.

Blogs on JNK1.

MAPK8/JNK1 - A multifunctional kinase and drug target for cancer therapeutics
The c-Jun N-terminal kinase (JNK) family is a group of regulatory kinases with important functions in cell morphogenesis, inflammation, differentiation, and cell death (1). Aberrant activation of JNK family proteins in cancers has led to interest i...  Read full blog post.

Use Of c-Myc Antibodies In Non-Invasive Cancer Studies
Novus Biologicals specializes in offering top quality antibody reagents to many of the transcription factor proteins that are widely expressed in cancer cells.C-Myc is one of several transcription factor proteins covered by our antibody catalog. Enc...  Read full blog post.

Contact Information

Product PDFs

Calculators

Concentration Calculator

The concentration calculator allows you to quickly calculate the volume, mass or concentration of your vial. Simply enter your mass, volume, or concentration values for your reagent and the calculator will determine the rest.

=
÷

Recent Reviews

2
5
0
4
0
3
0
2
1
1
0

Pauline Jeannot
10/17/2021
Application: WB
Species: Human

Bioinformatics

Gene Symbol MAPK8