JAB1 Antibody (JB34-96)

Images

 
Western Blot: JAB1 Antibody (JB34-96) [NBP2-75546] - Analysis of JAB1 on different lysate using anti-JAB1 antibody at 1/500 dilution.Positive control:Lane 1: Mouse testis tissue Lane 2: PC-3MLane 3: A549
Immunocytochemistry/ Immunofluorescence: JAB1 Antibody (JB34-96) [NBP2-75546] - Staining JAB1 in A431 cells (green). The nuclear counter stain is DAPI (blue). Cells were fixed in paraformaldehyde, permeabilised with ...read more
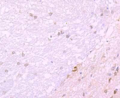
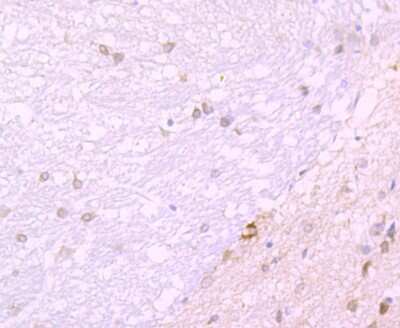
Immunohistochemistry-Paraffin: JAB1 Antibody (JB34-96) [NBP2-75546] - Analysis of paraffin-embedded rat brain tissue using anti-JAB1 antibody. Counter stained with hematoxylin.
Immunocytochemistry/ Immunofluorescence: JAB1 Antibody (JB34-96) [NBP2-75546] - Staining JAB1 in A549 cells (green). The nuclear counter stain is DAPI (blue). Cells were fixed in paraformaldehyde, permeabilised with ...read more
Immunocytochemistry/ Immunofluorescence: JAB1 Antibody (JB34-96) [NBP2-75546] - Staining JAB1 in PC-3M cells (green). The nuclear counter stain is DAPI (blue). Cells were fixed in paraformaldehyde, permeabilised with ...read more
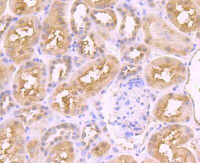
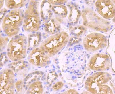
Immunohistochemistry-Paraffin: JAB1 Antibody (JB34-96) [NBP2-75546] - Analysis of paraffin-embedded human kidney tissue using anti-JAB1 antibody. Counter stained with hematoxylin.
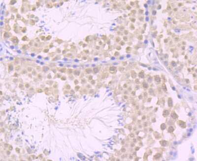
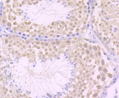
Immunohistochemistry-Paraffin: JAB1 Antibody (JB34-96) [NBP2-75546] - Analysis of paraffin-embedded mouse testis tissue using anti-JAB1 antibody. Counter stained with hematoxylin.

Product Details

Summary
Product Discontinued
View other related JAB1 Primary Antibodies

Order Details


    • Catalog Number
      NBP2-75546
    • Availability
      Product Discontinued

    Can't find what you are looking for? Use our Antibody Concierge Service & we will help you locate your antibody!

    Or feel free to contact us for alternative products.

JAB1 Antibody (JB34-96) Summary

Additional Information
Recombinant Monoclonal Antibody.
Immunogen
Recombinant protein within Human JAB1 aa 1-140 / 334. (SwissProt: Q92905 Human; SwissProt: O35864 Mouse; Entrez Gene: 312916 Rat)
Localization
Cytoplasm. Nucleus.
Isotype
IgG
Clonality
Monoclonal
Host
Rabbit
Gene
COPS5
Purity
Protein A purified
Innovator's Reward
Test in a species/application not listed above to receive a full credit towards a future purchase.

Applications/Dilutions

Dilutions
  • Immunocytochemistry/ Immunofluorescence 1:100-1:500
  • Immunohistochemistry
  • Immunohistochemistry-Paraffin 1:50-1:200
  • Immunoprecipitation
  • Western Blot 1:500
Theoretical MW
37 kDa.
Disclaimer note: The observed molecular weight of the protein may vary from the listed predicted molecular weight due to post translational modifications, post translation cleavages, relative charges, and other experimental factors.

Packaging, Storage & Formulations

Storage
Store at 4C short term. Aliquot and store at -20C long term. Avoid freeze-thaw cycles.
Buffer
TBS (pH7.4), 0.05% BSA, 40% Glycerol
Preservative
0.05% Sodium Azide
Concentration
1 mg/ml
Purity
Protein A purified

Alternate Names for JAB1 Antibody (JB34-96)

  • COP9 constitutive photomorphogenic homolog subunit 5 (Arabidopsis)
  • COP9 signalosome complex subunit 5
  • COPS5
  • CSN5
  • CSN5COP9 (constitutive photomorphogenic, Arabidopsis, homolog) subunit 5
  • EC 3.4
  • JAB1
  • JAB138 kDa Mov34 homolog
  • Jun activation domain-binding protein 1
  • MOV-34
  • SGN5
  • SGN5MGC3149
  • Signalosome subunit 5

Background

The protein encoded by the JAB1 gene is one of the eight subunits of COP9 signalosome, a highly conserved protein complex that functions as an important regulator in multiple signaling pathways. The structure and function of COP9 signalosome is similar to that of the 19S regulatory particle of 26S proteasome. COP9 signalosome has been shown to interact with SCF-type E3 ubiquitin ligases and act as a positive regulator of E3 ubiquitin ligases. This protein is reported to be involved in the degradation of cyclin-dependent kinase inhibitor CDKN1B/p27Kip1. It is also known to be an coactivator that increases the specificity of JUN/AP1 transcription factors. (provided by RefSeq)

Limitations

This product is for research use only and is not approved for use in humans or in clinical diagnosis. Primary Antibodies are guaranteed for 1 year from date of receipt.

Customers Who Viewed This Item Also Viewed...

NBP2-67471
Species: Hu, Mu, Rt
Applications: ICC/IF, IHC,  IHC-P, WB
NBP3-35268
Species: Hu, Mu, Rt
Applications: ELISA, ICC/IF, WB
AF1555
Species: Hu
Applications: WB
NBP1-90949
Species: Hu
Applications: IHC,  IHC-P, WB
NBP1-80616
Species: Hu, Mu, Rt
Applications: IHC,  IHC-P, WB
NBP2-03198
Species: Hu
Applications: Flow, ICC/IF, IHC,  IHC-P, WB
NBP3-26876
Species: Hu
Applications: IHC,  IHC-P
NBP2-47561
Species: Hu
Applications: ICC/IF, IHC,  IHC-P, WB
MAB7557
Species: Hu
Applications: IHC, WB
NBP2-50037
Species: Hu, Mu, Rt
Applications: ICC/IF, IHC, KO, WB
MAB289
Species: Hu
Applications: Simple Western, WB
AF2214
Species: Hu
Applications: ICC, IHC, WB
NBP3-16602
Species: Hu, Mu, Rt
Applications: IHC,  IHC-P, IP, WB
NBP1-89544
Species: Hu
Applications: ChIP-EXO-SEQ, ICC/IF, IHC,  IHC-P, WB
NB200-103
Species: Hu, Mu, Rt, Xp(-), Ye
Applications: CyTOF-ready, ELISA, Flow-IC, Flow, ICC/IF, IHC, IHC-Fr,  IHC-P, IP, WB
AF3059
Species: Mu
Applications: ICC, Simple Western, WB
AF2065
Species: Mu
Applications: ICC, IHC, Simple Western, WB
UL-812
Species: Hu, Mu, Rt
Applications: EnzAct
NBP2-49142
Species: Hu
Applications: IHC,  IHC-P, KD, WB
NBP2-75546
Species: Hu, Mu, Rt
Applications: WB, ICC/IF, IHC, IP

Publications for JAB1 Antibody (NBP2-75546) (0)

There are no publications for JAB1 Antibody (NBP2-75546).
By submitting your publication information earn gift cards and discounts for future purchases.

Reviews for JAB1 Antibody (NBP2-75546) (0)

There are no reviews for JAB1 Antibody (NBP2-75546). By submitting a review you will receive an Amazon e-Gift Card or Novus Product Discount.
  • Review with no image -- $10/€7/£6/$10 CAD/¥70 Yuan/¥1110 Yen
  • Review with an image -- $25/€18/£15/$25 CAD/¥150 Yuan/¥2500 Yen

Product General Protocols

Find general support by application which include: protocols, troubleshooting, illustrated assays, videos and webinars.

Video Protocols

WB Video Protocol
ICC/IF Video Protocol

FAQs for JAB1 Antibody (NBP2-75546) (0)

There are no specific FAQs related to this product. Read our general customer & technical service FAQs.

Secondary Antibodies

 

Isotype Controls

Additional JAB1 Products

Research Areas for JAB1 Antibody (NBP2-75546)

Find related products by research area.

Blogs on JAB1

There are no specific blogs for JAB1, but you can read our latest blog posts.

Contact Information

Product PDFs

Calculators

Concentration Calculator

The concentration calculator allows you to quickly calculate the volume, mass or concentration of your vial. Simply enter your mass, volume, or concentration values for your reagent and the calculator will determine the rest.

=
÷

Review this Product

Be the first to review our JAB1 Antibody (JB34-96) and receive a gift card or discount.

Bioinformatics

Gene Symbol COPS5