JAB1 Antibody (2A10.8)

Images

 
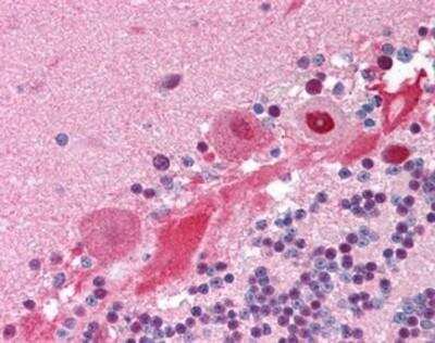
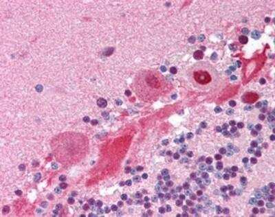
Immunohistochemistry-Paraffin: JAB1 Antibody (2A10.8) [NBP1-03055] - Staining of human brain, cerebellum. Immunohistochemistry of formalin-fixed, paraffin-embedded tissue after heat-induced antigen retrieval. Antibody ...read more

Product Details

Summary
Product Discontinued
View other related JAB1 Primary Antibodies

Order Details


    • Catalog Number
      NBP1-03055
    • Availability
      Product Discontinued

    Can't find what you are looking for? Use our Antibody Concierge Service & we will help you locate your antibody!

    Or feel free to contact us for alternative products.

JAB1 Antibody (2A10.8) Summary

Immunogen
Recombinant mouse COPS5.
Specificity
The full-length mouse JAB-1 gene expressed in E. coli.
Isotype
IgG2b
Clonality
Monoclonal
Host
Mouse
Gene
COPS5
Purity
Protein G purified
Innovator's Reward
Test in a species/application not listed above to receive a full credit towards a future purchase.

Applications/Dilutions

Dilutions
  • Immunocytochemistry/ Immunofluorescence 1:10-1:500
  • Immunohistochemistry 1:10-1:500
  • Immunohistochemistry-Paraffin 5 ug/ml
  • Immunoprecipitation 1:10-1:500
  • Western Blot 1:100-1:2000

Reactivity Notes

Please note that this antibody is reactive to Mouse and derived from the same host, Mouse. Additional Mouse on Mouse blocking steps may be required for IHC and ICC experiments. Please contact Technical Support for more information.

Packaging, Storage & Formulations

Storage
Store at 4C short term. Aliquot and store at -20C long term. Avoid freeze-thaw cycles.
Buffer
PBS (pH 7.4)
Preservative
No Preservative
Concentration
1 mg/ml
Purity
Protein G purified

Alternate Names for JAB1 Antibody (2A10.8)

  • COP9 constitutive photomorphogenic homolog subunit 5 (Arabidopsis)
  • COP9 signalosome complex subunit 5
  • COPS5
  • CSN5
  • CSN5COP9 (constitutive photomorphogenic, Arabidopsis, homolog) subunit 5
  • EC 3.4
  • JAB1
  • JAB138 kDa Mov34 homolog
  • Jun activation domain-binding protein 1
  • MOV-34
  • SGN5
  • SGN5MGC3149
  • Signalosome subunit 5

Background

JAB-1 is a 38 kDa protein which was originally described as a coactivator for cJUN. It is present in a large protein complex called the """"Signalosome"""", which has been proposed to play a signaling role in mammalian cells. This protein complex appears to be analogous to the COP9 complex in plants, which is important in light-mediated plant development. Although the specific function of JAB-1 in this complex is unclear, it has recently been implicated in targeting proteins for degradation by the proteasome.

Limitations

This product is for research use only and is not approved for use in humans or in clinical diagnosis. Primary Antibodies are guaranteed for 1 year from date of receipt.

Customers Who Viewed This Item Also Viewed...

NBP2-67471
Species: Hu, Mu, Rt
Applications: ICC/IF, IHC,  IHC-P, WB
NBP3-35268
Species: Hu, Mu, Rt
Applications: ELISA, ICC/IF, WB
AF1555
Species: Hu
Applications: WB
NBP1-90949
Species: Hu
Applications: IHC,  IHC-P, WB
NBP1-80616
Species: Hu, Mu, Rt
Applications: IHC,  IHC-P, WB
NBP2-03198
Species: Hu
Applications: Flow, ICC/IF, IHC,  IHC-P, WB
NBP3-26876
Species: Hu
Applications: IHC,  IHC-P
NBP2-47561
Species: Hu
Applications: ICC/IF, IHC,  IHC-P, WB
MAB7557
Species: Hu
Applications: IHC, WB
NBP2-50037
Species: Hu, Mu, Rt
Applications: ICC/IF, IHC, KO, WB
MAB289
Species: Hu
Applications: Simple Western, WB
AF2214
Species: Hu
Applications: ICC, IHC, WB
NBP3-16602
Species: Hu, Mu, Rt
Applications: IHC,  IHC-P, IP, WB
NBP1-89544
Species: Hu
Applications: ChIP-EXO-SEQ, ICC/IF, IHC,  IHC-P, WB
NB200-103
Species: Hu, Mu, Rt, Xp(-), Ye
Applications: CyTOF-ready, ELISA, Flow-IC, Flow, ICC/IF, IHC, IHC-Fr,  IHC-P, IP, WB
AF3059
Species: Mu
Applications: ICC, Simple Western, WB
AF2065
Species: Mu
Applications: ICC, IHC, Simple Western, WB
UL-812
Species: Hu, Mu, Rt
Applications: EnzAct
NBP2-49142
Species: Hu
Applications: IHC,  IHC-P, KD, WB
NBP1-03055
Species: Hu, Mu
Applications: WB, ICC/IF, IHC, IP

Publications for JAB1 Antibody (NBP1-03055) (0)

There are no publications for JAB1 Antibody (NBP1-03055).
By submitting your publication information earn gift cards and discounts for future purchases.

Reviews for JAB1 Antibody (NBP1-03055) (0)

There are no reviews for JAB1 Antibody (NBP1-03055). By submitting a review you will receive an Amazon e-Gift Card or Novus Product Discount.
  • Review with no image -- $10/€7/£6/$10 CAD/¥70 Yuan/¥1110 Yen
  • Review with an image -- $25/€18/£15/$25 CAD/¥150 Yuan/¥2500 Yen

Product General Protocols

Find general support by application which include: protocols, troubleshooting, illustrated assays, videos and webinars.

Video Protocols

WB Video Protocol
ICC/IF Video Protocol

FAQs for JAB1 Antibody (NBP1-03055) (0)

There are no specific FAQs related to this product. Read our general customer & technical service FAQs.

Secondary Antibodies

 

Isotype Controls

Additional JAB1 Products

Research Areas for JAB1 Antibody (NBP1-03055)

Find related products by research area.

Blogs on JAB1

There are no specific blogs for JAB1, but you can read our latest blog posts.

Contact Information

Product PDFs

Calculators

Concentration Calculator

The concentration calculator allows you to quickly calculate the volume, mass or concentration of your vial. Simply enter your mass, volume, or concentration values for your reagent and the calculator will determine the rest.

=
÷

Review this Product

Be the first to review our JAB1 Antibody (2A10.8) and receive a gift card or discount.

Bioinformatics

Gene Symbol COPS5
Entrez
Uniprot