ISY1 Antibody - BSA Free

Images

 
Western Blot: ISY1 Antibody [NBP1-81865] - Lane 1: NIH-3T3 cell lysate (Mouse embryonic fibroblast cells). Lane 2: NBT-II cell lysate (Rat Wistar bladder tumor cells).
Immunohistochemistry-Paraffin: ISY1 Antibody [NBP1-81865] - Staining of human lymphoid tissues shows moderate to strong nuclear positivity in a subset of lymphoid cells.
Western Blot: ISY1 Antibody [NBP1-81865] - Lane 1: Marker [kDa] 229, 112, 84, 48, 32, 27, 17. Lane 2: Human cell line RT-4. Lane 3: Human cell line U-251MG sp
Immunohistochemistry-Paraffin: ISY1 Antibody [NBP1-81865] - Staining of human placenta shows strong nuclear positivity in trophoblastic cells.
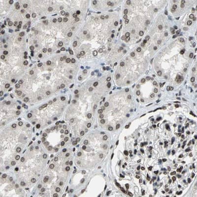
Immunohistochemistry-Paraffin: ISY1 Antibody [NBP1-81865] - Staining of human kidney shows moderate nuclear positivity in cells in tubules.
Immunohistochemistry-Paraffin: ISY1 Antibody [NBP1-81865] - Staining of human testis shows strong nuclear positivity in cells in seminiferous ducts.

Product Details

Summary
Reactivity Hu, Mu, Rt, ChSpecies Glossary
Applications WB, IHC
Clonality
Polyclonal
Host
Rabbit
Conjugate
Unconjugated
Format
BSA Free

Order Details

View Available Formulations
Catalog# & Formulation Size Price

ISY1 Antibody - BSA Free Summary

Description
Novus Biologicals Rabbit ISY1 Antibody - BSA Free (NBP1-81865) is a polyclonal antibody validated for use in IHC and WB. Anti-ISY1 Antibody: Cited in 1 publication. All Novus Biologicals antibodies are covered by our 100% guarantee.
Immunogen
This antibody was developed against Recombinant Protein corresponding to amino acids: GKVKERRPFLASECTELPKAEKWRRQIIGEISKKVAQIQNAGLGEFRIRDLNDEINKLLREKGHWEVRIKELGGPDYGKVGPKMLDHEGKEVPGNRGYKYFGAAKDLPGVRELFEKEPLPPPRK
Isotype
IgG
Clonality
Polyclonal
Host
Rabbit
Gene
ISY1
Purity
Immunogen affinity purified
Innovator's Reward
Test in a species/application not listed above to receive a full credit towards a future purchase.

Applications/Dilutions

Dilutions
  • Immunohistochemistry 1:50 - 1:200
  • Immunohistochemistry-Paraffin 1:50 - 1:200
  • Western Blot 0.04-0.4 ug/ml
Application Notes
For IHC-Paraffin, HIER pH 6 retrieval is recommended.
Control Peptide
ISY1 Protein (NBP1-81865PEP)
Publications
Read Publications using
NBP1-81865 in the following applications:

  • WB
    2 publications

Reactivity Notes

Chicken reactivity reported in scientific literature (Youngworth et al).

Packaging, Storage & Formulations

Storage
Store at 4C short term. Aliquot and store at -20C long term. Avoid freeze-thaw cycles.
Buffer
PBS (pH 7.2) and 40% Glycerol
Preservative
0.02% Sodium Azide
Purity
Immunogen affinity purified

Alternate Names for ISY1 Antibody - BSA Free

  • functional spliceosome-associated protein 33
  • ISY1 splicing factor homolog (S. cerevisiae)
  • KIAA1160fSAP33
  • pre-mRNA-splicing factor ISY1 homolog

Background

ISY1 may play a role in pre-mRNA splicing (Potential)

Limitations

This product is for research use only and is not approved for use in humans or in clinical diagnosis. Primary Antibodies are guaranteed for 1 year from date of receipt.

Customers Who Viewed This Item Also Viewed...

NBP2-46033
Species: Hu, Mu, Rt
Applications: IHC,  IHC-P, WB
H00056949-M01
Species: Hu
Applications: ELISA, ICC/IF, IHC,  IHC-P, S-ELISA, WB
NBP3-15920
Species: Hu, Mu, Rt
Applications: IHC,  IHC-P, WB
NBP1-92271
Species: Hu
Applications: ICC/IF, IHC,  IHC-P, WB
NBP3-35253
Species: Hu, Mu, Rt
Applications: ELISA, ICC/IF, IHC,  IHC-P, IP, WB
NB100-2866
Species: Hu
Applications: ICC/IF, IP, KD, WB
NBP2-45466
Species: Hu, Mu, Rt
Applications: IHC,  IHC-P, PAGE, WB
NBP1-92692
Species: Hu, Mu, Rt
Applications: ICC/IF, IHC, WB
NBP1-84519
Species: Hu
Applications: ChIP-EXO-SEQ, ICC/IF, IHC,  IHC-P
NBP2-80524
Species: Hu, Mu, Rt
Applications: IHC,  IHC-P, WB
NBP2-00918
Species: Ca, Hu, Mu, Rt
Applications: Flow, ICC/IF, IHC,  IHC-P, WB
NBP2-33447
Species: Hu
Applications: ICC/IF, IHC,  IHC-P, IP, KD, WB
NBP2-81781
Species: Hu, Mu, Rt
Applications: ELISA, ICC/IF, IHC,  IHC-P, WB
NBP2-13923
Species: Hu
Applications: ICC/IF, IHC,  IHC-P, KD, WB
NBP2-13920
Species: Hu
Applications: ICC/IF, IHC,  IHC-P
NBP1-85269
Species: Hu, Mu, Rt
Applications: ICC/IF, IHC,  IHC-P, WB
NBP2-13381
Species: Hu
Applications: Simple Western, WB
NBP1-81865
Species: Hu, Mu, Rt, Ch
Applications: WB, IHC

Publications for ISY1 Antibody (NBP1-81865)(2)

We have publications tested in 1 confirmed species: Chicken.

We have publications tested in 1 application: WB.


Filter By Application
WB
(2)
All Applications
Filter By Species
Chicken
(2)
All Species
Showing Publications 1 - 2 of 2.
Publications using NBP1-81865 Applications Species
Youngworth IA Genetic and Genomic Analyses of Developmental Mutations in Chicken: Wingless-2 and Cleft Primary Palate Thesis (WB, Chicken) WB Chicken
Youngworth I, Delany M A Premature Stop Codon in RAF1 Is the Priority Candidate Causative Mutation of the Inherited Chicken Wingless-2 Developmental Syndrome. Genes (Basel) 2019-09-05 [PMID: 31075853] (WB, Chicken) WB Chicken

Reviews for ISY1 Antibody (NBP1-81865) (0)

There are no reviews for ISY1 Antibody (NBP1-81865). By submitting a review you will receive an Amazon e-Gift Card or Novus Product Discount.
  • Review with no image -- $10/€7/£6/$10 CAD/¥70 Yuan/¥1110 Yen
  • Review with an image -- $25/€18/£15/$25 CAD/¥150 Yuan/¥2500 Yen

Product General Protocols

Find general support by application which include: protocols, troubleshooting, illustrated assays, videos and webinars.

Video Protocols

WB Video Protocol

FAQs for ISY1 Antibody (NBP1-81865) (0)

There are no specific FAQs related to this product. Read our general customer & technical service FAQs.

Customers Who Bought This Also Bought

Contact Information

Product PDFs

Calculators

Concentration Calculator

The concentration calculator allows you to quickly calculate the volume, mass or concentration of your vial. Simply enter your mass, volume, or concentration values for your reagent and the calculator will determine the rest.

=
÷

Review this Product

Be the first to review our ISY1 Antibody - BSA Free and receive a gift card or discount.

Bioinformatics

Gene Symbol ISY1