IRF2BP2 Antibody - BSA Free

Images

 
Western Blot: IRF2BP2 Antibody [NBP1-93674] - Analysis in mouse cell line NIH-3T3 and rat cell ine NBT-II.
Western Blot: IRF2BP2 Antibody [NBP1-93674] - Analysis in human cell line THP-1.
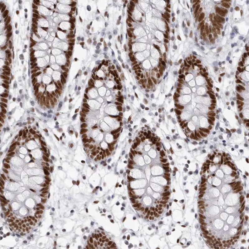
Immunohistochemistry-Paraffin: IRF2BP2 Antibody [NBP1-93674] - Staining of human colon shows strong nuclear positivity in glandular cells.
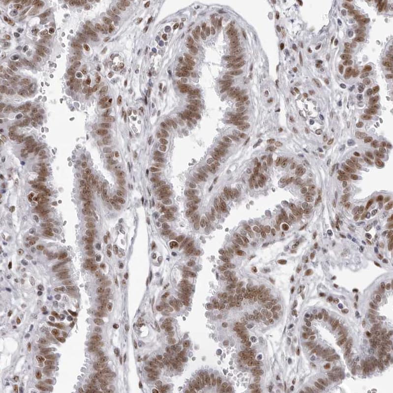
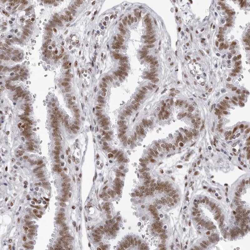
Immunohistochemistry-Paraffin: IRF2BP2 Antibody [NBP1-93674] - Staining of human endometrium shows moderate nuclear positivity in glandular cells
Immunohistochemistry-Paraffin: IRF2BP2 Antibody [NBP1-93674] - Staining of human fallopian tube shows moderate nuclear positivity in glandular cells.
Analysis in mouse cell line NIH-3T3 and rat cell line NBT-II.
Staining of human cell line U-2 OS shows localization to nucleus.
Analysis in human cell line THP-1.
Staining of human prostate shows strong nuclear positivity in glandular cells.
Staining of human colon shows strong nuclear positivity in glandular cells.
Staining of human endometrium shows moderate nuclear positivity in glandular cells.
Staining of human Fallopian tube shows moderate nuclear positivity in glandular cells.

Product Details

Summary
Reactivity Hu, Mu, RtSpecies Glossary
Applications WB, ICC/IF, IHC
Clonality
Polyclonal
Host
Rabbit
Conjugate
Unconjugated
Format
BSA Free

Order Details

View Available Formulations
Catalog# & Formulation Size Price

IRF2BP2 Antibody - BSA Free Summary

Description
Novus Biologicals Rabbit IRF2BP2 Antibody - BSA Free (NBP1-93674) is a polyclonal antibody validated for use in IHC, WB and ICC/IF. All Novus Biologicals antibodies are covered by our 100% guarantee.
Immunogen
This antibody was developed against Recombinant Protein corresponding to amino acids: QDWVNRPKTVRDTLLALHQHGHSGPFESKFKKEPALTAGRLLGFEANGANGSKAVARTARKRKPSPEPEGEVG
Isotype
IgG
Clonality
Polyclonal
Host
Rabbit
Gene
IRF2BP2
Purity
Immunogen affinity purified
Innovator's Reward
Test in a species/application not listed above to receive a full credit towards a future purchase.

Applications/Dilutions

Dilutions
  • Immunocytochemistry/ Immunofluorescence 0.25-2 ug/ml
  • Immunohistochemistry 1:500 - 1:1000
  • Immunohistochemistry-Paraffin 1:500 - 1:1000
  • Western Blot 0.04-0.4 ug/ml
Application Notes
For IHC-Paraffin, HIER pH 6 retrieval is recommended. ICC/IF Fixation Permeabilization: Use PFA/Triton X-100.
Control Peptide
IRF2BP2 Protein (NBP1-93674PEP)

Packaging, Storage & Formulations

Storage
Store at 4C short term. Aliquot and store at -20C long term. Avoid freeze-thaw cycles.
Buffer
PBS (pH 7.2) and 40% Glycerol
Preservative
0.02% Sodium Azide
Purity
Immunogen affinity purified

Alternate Names for IRF2BP2 Antibody - BSA Free

  • interferon regulatory factor 2 binding protein 2
  • IRF-2-binding protein 2

Limitations

This product is for research use only and is not approved for use in humans or in clinical diagnosis. Primary Antibodies are guaranteed for 1 year from date of receipt.

Customers Who Viewed This Item Also Viewed...

DVE00
Species: Hu
Applications: ELISA
H00003660-M02
Species: Hu
Applications: ELISA, ICC/IF, IHC,  IHC-P, S-ELISA, WB
202-IL
Species: Hu
Applications: BA
NB300-504
Species: Hu, Mu, Rt
Applications: ChIP, GS, ICC/IF, IHC, IHC-Fr,  IHC-P, IP, S-ELISA, WB
NBP1-85687
Species: Hu
Applications: ICC/IF, IHC,  IHC-P, WB
AF6800
Species: Hu
Applications: ICC, WB
NBP1-19371
Species: Ca, Hu, Mu, Po, Rb, Rt
Applications: Dual ISH-IHC, Flow, ICC/IF, IHC, IHC-Fr,  IHC-P, Simple Western, WB
6507-IL/CF
Species: Hu
Applications: BA
NBP2-02313
Species: Hu, Mu, Rt
Applications: ICC/IF, IHC,  IHC-P, WB
NBP1-82598
Species: Hu
Applications: ICC/IF, IHC,  IHC-P, WB
MAB6529
Species: Hu
Applications: Simple Western, WB
NBP1-80959
Species: Hu, Mu, Rt
Applications: ICC/IF, IHC,  IHC-P, WB
NB600-600
Species: Ca, Hu, Mu
Applications: ChIP, ELISA, Flow-IC, IB, ICC/IF, IHC,  IHC-P, KD, WB
NBP1-85131
Species: Hu
Applications: ICC/IF, IHC,  IHC-P
288-TPN/CF
Species: Hu
Applications: BA
NBP1-93674
Species: Hu, Mu, Rt
Applications: WB, ICC/IF, IHC

Publications for IRF2BP2 Antibody (NBP1-93674) (0)

There are no publications for IRF2BP2 Antibody (NBP1-93674).
By submitting your publication information earn gift cards and discounts for future purchases.

Reviews for IRF2BP2 Antibody (NBP1-93674) (0)

There are no reviews for IRF2BP2 Antibody (NBP1-93674). By submitting a review you will receive an Amazon e-Gift Card or Novus Product Discount.
  • Review with no image -- $10/€7/£6/$10 CAD/¥70 Yuan/¥1110 Yen
  • Review with an image -- $25/€18/£15/$25 CAD/¥150 Yuan/¥2500 Yen

Product General Protocols

Find general support by application which include: protocols, troubleshooting, illustrated assays, videos and webinars.

Video Protocols

WB Video Protocol
ICC/IF Video Protocol

FAQs for IRF2BP2 Antibody (NBP1-93674) (0)

There are no specific FAQs related to this product. Read our general customer & technical service FAQs.

Customers Who Bought This Also Bought

Contact Information

Product PDFs

Calculators

Concentration Calculator

The concentration calculator allows you to quickly calculate the volume, mass or concentration of your vial. Simply enter your mass, volume, or concentration values for your reagent and the calculator will determine the rest.

=
÷

Review this Product

Be the first to review our IRF2BP2 Antibody - BSA Free and receive a gift card or discount.

Bioinformatics

Gene Symbol IRF2BP2