IRAK1BP1 Antibody

Images

 
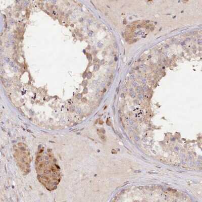
Immunohistochemistry-Paraffin: IRAK1BP1 Antibody [NBP2-34019] - Staining of human testis shows moderate cytoplasmic positivity in Leydig cells.
Immunohistochemistry-Paraffin: IRAK1BP1 Antibody [NBP2-34019] - Staining of human lymph node shows moderate to strong cytoplasmic positivity in non - germinal center cells.
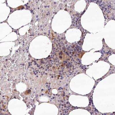
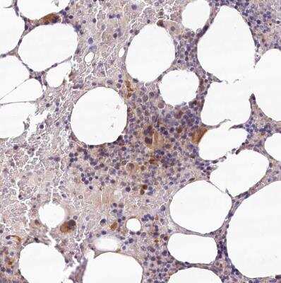
Immunohistochemistry-Paraffin: IRAK1BP1 Antibody [NBP2-34019] - Staining of human bone marrow shows moderate to strong cytoplasmic positivity in hematopoietic cells.
Immunohistochemistry-Paraffin: IRAK1BP1 Antibody [NBP2-34019] - Staining of human bone marrow shows moderate cytoplasmic positivity in megakaryocytes.
Immunohistochemistry-Paraffin: IRAK1BP1 Antibody [NBP2-34019] - Staining of human endometrium shows moderate to strong positivity in glandular cells.

Product Details

Summary
Product Discontinued
View other related IRAK1BP1 Primary Antibodies

Order Details


    • Catalog Number
      NBP2-34019
    • Availability
      Product Discontinued

    Can't find what you are looking for? Use our Antibody Concierge Service & we will help you locate your antibody!

    Or feel free to contact us for alternative products.

IRAK1BP1 Antibody Summary

Immunogen
This antibody was developed against a recombinant protein corresponding to amino acids: KSVCRRLDYITQSLQQQGVQAENITVTKDFRRVENAYHMEAEVCITFTEFGKMQNICNFLVEKLDSSVVISPPQFYHTPGS
Predicted Species
Mouse (94%), Rat (95%). Backed by our 100% Guarantee.
Isotype
IgG
Clonality
Polyclonal
Host
Rabbit
Gene
IRAK1BP1
Purity
Immunogen affinity purified
Innovator's Reward
Test in a species/application not listed above to receive a full credit towards a future purchase.

Applications/Dilutions

Dilutions
  • Immunohistochemistry 1:20 - 1:50
  • Immunohistochemistry-Paraffin 1:20 - 1:50
Application Notes
For IHC-Paraffin, HIER pH 6 retrieval is recommended.

Packaging, Storage & Formulations

Storage
Store at 4C short term. Aliquot and store at -20C long term. Avoid freeze-thaw cycles.
Buffer
PBS (pH 7.2) and 40% Glycerol
Preservative
0.02% Sodium Azide
Purity
Immunogen affinity purified

Alternate Names for IRAK1BP1 Antibody

  • ActA binding protein 3,4921528N06Rik
  • AIP70
  • interleukin-1 receptor-associated kinase 1 binding protein 1
  • interleukin-1 receptor-associated kinase 1-binding protein 1
  • MGC138458
  • MGC138460
  • SIMPL

Background

IRAK1BP1 is a component of the IRAK1-dependent TNFRSF1A signaling pathway that leads to NF-kappa-B activation and isrequired for cell survival. Acts by enhancing RELA transcriptional activity

Limitations

This product is for research use only and is not approved for use in humans or in clinical diagnosis. Primary Antibodies are guaranteed for 1 year from date of receipt.

Customers Who Viewed This Item Also Viewed...

NBP1-77068
Species: Hu, Mu, Rt
Applications: ELISA, ICC/IF, IP, WB
M6000B
Species: Mu
Applications: ELISA
NB100-2176
Species: Hu, Mu, Rt
Applications: ChIP, ICC/IF, IHC,  IHC-P, IP, WB
NBP2-02665
Species: Ca, Hu, Pm, Po, Pm, Rt
Applications: Flow, ICC/IF, IHC,  IHC-P, WB
NB100-56583
Species: Hu, Rb, Rt
Applications: Flow, IHC,  IHC-P, KO, Simple Western, WB
MAB4364
Species: Rt
Applications: ICC, IHC, IP, KO, WB
AF2849
Species: Mu, Rt
Applications: WB
DY417
Species: Mu
Applications: ELISA
H00057410-M02
Species: Hu, Mu, Rt
Applications: ELISA, S-ELISA, WB
201-LB
Species: Hu
Applications: BA
NB100-689
Species: Hu, Rt
Applications: IHC, IHC-Fr,  IHC-P, Simple Western, WB
NBP1-87760
Species: Hu
Applications: ICC/IF, IHC,  IHC-P, KD, Simple Western, WB
NBP1-84318
Species: Hu
Applications: IHC,  IHC-P, WB
AF3264
Species: Hu
Applications: CyTOF-ready, Flow, ICC, IHC, Simple Western, WB
DRT100
Species: Hu
Applications: ELISA
AF009
Species: Hu
Applications: IHC, WB
7268-CT
Species: Hu
Applications: BA

Publications for IRAK1BP1 Antibody (NBP2-34019) (0)

There are no publications for IRAK1BP1 Antibody (NBP2-34019).
By submitting your publication information earn gift cards and discounts for future purchases.

Reviews for IRAK1BP1 Antibody (NBP2-34019) (0)

There are no reviews for IRAK1BP1 Antibody (NBP2-34019). By submitting a review you will receive an Amazon e-Gift Card or Novus Product Discount.
  • Review with no image -- $10/€7/£6/$10 CAD/¥70 Yuan/¥1110 Yen
  • Review with an image -- $25/€18/£15/$25 CAD/¥150 Yuan/¥2500 Yen

Product General Protocols

Find general support by application which include: protocols, troubleshooting, illustrated assays, videos and webinars.

FAQs for IRAK1BP1 Antibody (NBP2-34019) (0)

There are no specific FAQs related to this product. Read our general customer & technical service FAQs.

Secondary Antibodies

 

Isotype Controls

Additional IRAK1BP1 Products

Research Areas for IRAK1BP1 Antibody (NBP2-34019)

Find related products by research area.

Blogs on IRAK1BP1

There are no specific blogs for IRAK1BP1, but you can read our latest blog posts.

Contact Information

Product PDFs

Calculators

Concentration Calculator

The concentration calculator allows you to quickly calculate the volume, mass or concentration of your vial. Simply enter your mass, volume, or concentration values for your reagent and the calculator will determine the rest.

=
÷

Review this Product

Be the first to review our IRAK1BP1 Antibody and receive a gift card or discount.

Bioinformatics

Gene Symbol IRAK1BP1
Uniprot