IQGAP1 Antibody (JG38-74)

Images

 
Western Blot: IQGAP1 Antibody (JG38-74) [NBP2-75545] - Analysis of IQGAP1 on different lysates using anti-IQGAP1 antibody at 1/1,000 dilution. Positive control: Lane 1: HUVEC Lane 2: A431 Lane 3: Mouse placenta
Immunocytochemistry/ Immunofluorescence: IQGAP1 Antibody (JG38-74) [NBP2-75545] - Staining IQGAP1 in SiHa cells (green). The nuclear counter stain is DAPI (blue). Cells were fixed in paraformaldehyde, permeabilised with ...read more
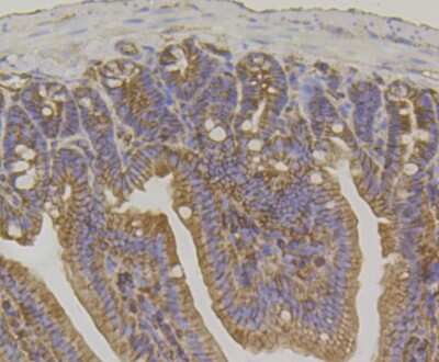
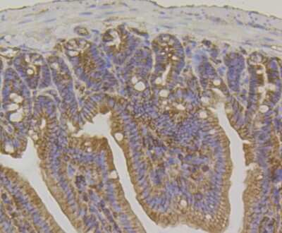
Immunohistochemistry-Paraffin: IQGAP1 Antibody (JG38-74) [NBP2-75545] - Analysis of paraffin-embedded mouse colon tissue using anti-IQGAP1 antibody. Counter stained with hematoxylin.
Flow Cytometry: IQGAP1 Antibody (JG38-74) [NBP2-75545] - Flow cytomeAnalysis of SiHa cells with IQGAP1 antibody at 1/100 dilution (purple) compared with an unlabelled control (cells without incubation with primary ...read more
Immunocytochemistry/ Immunofluorescence: IQGAP1 Antibody (JG38-74) [NBP2-75545] - Staining IQGAP1 in A431 cells (green). The nuclear counter stain is DAPI (blue). Cells were fixed in paraformaldehyde, permeabilised with ...read more
Immunocytochemistry/ Immunofluorescence: IQGAP1 Antibody (JG38-74) [NBP2-75545] - Staining IQGAP1 in Hela cells (green). The nuclear counter stain is DAPI (blue). Cells were fixed in paraformaldehyde, permeabilised with ...read more
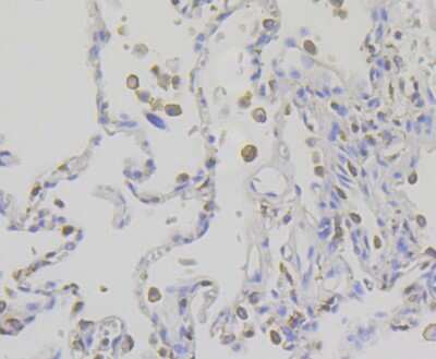
Immunohistochemistry-Paraffin: IQGAP1 Antibody (JG38-74) [NBP2-75545] - Analysis of paraffin-embedded human lung cancer tissue using anti-IQGAP1 antibody. Counter stained with hematoxylin.
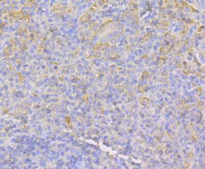
Immunohistochemistry-Paraffin: IQGAP1 Antibody (JG38-74) [NBP2-75545] - Analysis of paraffin-embedded human spleen tissue using anti-IQGAP1 antibody. Counter stained with hematoxylin.
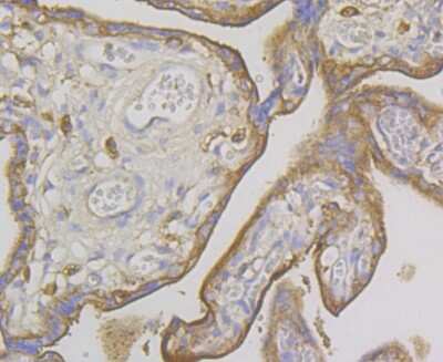
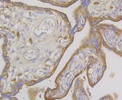
Immunohistochemistry-Paraffin: IQGAP1 Antibody (JG38-74) [NBP2-75545] - Analysis of paraffin-embedded human placenta tissue using anti-IQGAP1 antibody. Counter stained with hematoxylin.

Product Details

Summary
Product Discontinued
View other related IQGAP1 Primary Antibodies

Order Details


    • Catalog Number
      NBP2-75545
    • Availability
      Product Discontinued

    Can't find what you are looking for? Use our Antibody Concierge Service & we will help you locate your antibody!

    Or feel free to contact us for alternative products.

IQGAP1 Antibody (JG38-74) Summary

Additional Information
Recombinant Monoclonal Antibody.
Immunogen
Recombinant protein within Human IQGAP1 aa 10-100 / 1657. (SwissProt: P46940 Human; SwissProt: Q9JKF1 Mouse)
Localization
Cell membrane. Cytoplasm. Nucleus.
Isotype
IgG
Clonality
Monoclonal
Host
Rabbit
Gene
IQGAP1
Purity
Protein A purified
Innovator's Reward
Test in a species/application not listed above to receive a full credit towards a future purchase.

Applications/Dilutions

Dilutions
  • Flow Cytometry 1:50-1:100
  • Immunocytochemistry/ Immunofluorescence 1:50-1:200
  • Immunohistochemistry
  • Immunohistochemistry-Paraffin 1:50-1:200
  • Western Blot 1:500-1:2000
Theoretical MW
189 kDa.
Disclaimer note: The observed molecular weight of the protein may vary from the listed predicted molecular weight due to post translational modifications, post translation cleavages, relative charges, and other experimental factors.

Packaging, Storage & Formulations

Storage
Store at 4C short term. Aliquot and store at -20C long term. Avoid freeze-thaw cycles.
Buffer
TBS (pH7.4), 0.05% BSA, 40% Glycerol
Preservative
0.05% Sodium Azide
Concentration
1 mg/ml
Purity
Protein A purified

Alternate Names for IQGAP1 Antibody (JG38-74)

  • HUMORFA01
  • IQ motif containing GTPase activating protein 1
  • IQGAP1
  • KIAA0051ras GTPase-activating-like protein IQGAP1
  • p195
  • p195RasGAP-like with IQ motifs
  • SAR1

Background

IQGAP1 encodes a member of the IQGAP family. The protein contains four IQ domains, one calponin homology domain, one Ras-GAP domain and one WW domain. It interacts with components of the cytoskeleton, with cell adhesion molecules, and with several signaling molecules to regulate cell morphology and motility. Expression of the protein is upregulated by gene amplification in two gastric cancer cell lines.

Limitations

This product is for research use only and is not approved for use in humans or in clinical diagnosis. Primary Antibodies are guaranteed for 1 year from date of receipt.

Customers Who Viewed This Item Also Viewed...

NBP1-30027
Species: Hu, Mu, Rt
Applications: ICC/IF, IHC,  IHC-P, WB
DAN00
Species: Hu
Applications: ELISA
NBP2-67895
Species: Hu, Mu, Rt
Applications: Flow, IHC,  IHC-P, IP, WB
NB100-91266
Species: Hu, Mu, Rt
Applications: ICC/IF, IHC, IHC-Fr,  IHC-P, WB
NBP1-77078
Species: Hu, Mu, Rb, Rt
Applications: ELISA, ICC/IF, IHC,  IHC-P, WB
AF4277
Species: Mu
Applications: ELISA(Cap), ELISA(Det), ELISA(Sta), IHC, IP, WB
NBP2-14871
Species: Mu, Rt
Applications: ICC/IF, WB
NB120-2860
Species: Ba, Bv, Ch, Hu, Mu, Rt
Applications: ELISA, Flow, ICC/IF, IHC,  IHC-P, WB
NBP2-15669
Species: Mu, Rt, Ze
Applications: IHC-WhMt, IHC, WB
H00009197-M07
Species: Ha, Hu, Mu, Rt
Applications: ELISA, ICC/IF, KD, WB
NB100-309
Species: Hu, Pm, Mu, Rt
Applications: ChIP, ELISA, Flow, ICC/IF, IHC,  IHC-P, IP, KD, PAGE, Single-Cell Western, WB
AF1329
Species: Hu, Mu, Rt
Applications: ChIP, CyTOF-ready, ICC, IHC, ICFlow, Simple Western, WB
NBP1-77368
Species: Hu, Mu, Rb, Rt
Applications: ELISA, ICC/IF, IHC,  IHC-P, WB
AF748
Species: Hu, Mu
Applications: CyTOF-ready, Dual ISH-IHC, Flow, ICC, IHC, Simple Western, WB
AF1513
Species: Mu
Applications: CyTOF-ready, Flow, IHC, IP, Simple Western, WB
AF887
Species: Hu, Mu, Rt
Applications: CyTOF-ready, IHC, ICFlow, Simple Western, WB
DYC1825-2
Species: Hu, Mu, Rt
Applications: ELISA
NBP2-75545
Species: Hu, Mu
Applications: WB, Flow, ICC/IF, IHC

Publications for IQGAP1 Antibody (NBP2-75545) (0)

There are no publications for IQGAP1 Antibody (NBP2-75545).
By submitting your publication information earn gift cards and discounts for future purchases.

Reviews for IQGAP1 Antibody (NBP2-75545) (0)

There are no reviews for IQGAP1 Antibody (NBP2-75545). By submitting a review you will receive an Amazon e-Gift Card or Novus Product Discount.
  • Review with no image -- $10/€7/£6/$10 CAD/¥70 Yuan/¥1110 Yen
  • Review with an image -- $25/€18/£15/$25 CAD/¥150 Yuan/¥2500 Yen

Product General Protocols

Find general support by application which include: protocols, troubleshooting, illustrated assays, videos and webinars.

Video Protocols

WB Video Protocol
ICC/IF Video Protocol

FAQs for IQGAP1 Antibody (NBP2-75545) (0)

There are no specific FAQs related to this product. Read our general customer & technical service FAQs.

Secondary Antibodies

 

Isotype Controls

Additional IQGAP1 Products

Research Areas for IQGAP1 Antibody (NBP2-75545)

Find related products by research area.

Blogs on IQGAP1

There are no specific blogs for IQGAP1, but you can read our latest blog posts.

Contact Information

Product PDFs

Calculators

Concentration Calculator

The concentration calculator allows you to quickly calculate the volume, mass or concentration of your vial. Simply enter your mass, volume, or concentration values for your reagent and the calculator will determine the rest.

=
÷

Review this Product

Be the first to review our IQGAP1 Antibody (JG38-74) and receive a gift card or discount.

Bioinformatics

Gene Symbol IQGAP1