Involucrin Antibody (SY5)

Images

 

Product Details

Summary
Product Discontinued
View other related Involucrin Primary Antibodies

Order Details


    • Catalog Number
      NBP2-34264
    • Availability
      Product Discontinued

    Can't find what you are looking for? Use our Antibody Concierge Service & we will help you locate your antibody!

    Or feel free to contact us for alternative products.

Involucrin Antibody (SY5) Summary

Immunogen
Purified involucrin from human keratinocytes
Localization
Cytoplasmic
Marker
Squamous Cell Terminal Differentiation Marker
Specificity
It recognizes a protein of 66kDa-170kDa, identified as involucrin. In Western blotting of cultured human keratinocytes, this MAb reacts with a 120kDa protein. It stains the involucrin in a variety of sizes: 170kDa in MCF-7 cells, a doublet of ~115kDa and 150kDa in gorilla and owl monkey, 66kDa in dog, and a doublet of 105kDa in pig. Its epitope maps between codon 421-568 of human involucrin. Involucrin is expressed in a range of stratified squamous epithelia, including the cornea, which lacks a distinct cornified layer. In normal epidermis, it is first expressed in the upper spinous layers, and in keratinocyte cultures, all cells that have left the basal layer express it. Involucrin expression is altered in pathological conditions: in psoriasis and other benign epidermal hyperplasias, involucrin expression begins closer to the basal layer than normal; expression is abnormal in squamous cell carcinomas and premalignant lesions, and is reduced in severe dysplasias of the larynx and cervix.
Isotype
IgG1 Kappa
Clonality
Monoclonal
Host
Mouse
Gene
IVL
Purity
Protein A purified
Innovator's Reward
Test in a species/application not listed above to receive a full credit towards a future purchase.

Applications/Dilutions

Dilutions
  • ELISA 1-5ug/ml for coating
  • Flow Cytometry 0.5-1ug/million cells
  • Immunocytochemistry/ Immunofluorescence 1-2ug/ml
  • Immunohistochemistry
  • Immunohistochemistry-Frozen 1-2ug/ml
  • Immunohistochemistry-Paraffin 1-2ug/ml
  • Immunoprecipitation 1-2ug/500ug protein
  • Western Blot 0.5-1.0ug/ml
Application Notes
Human Chromosome Location: 1q21.3
Mol. Weight of Antigen: 66-170kDa
Reviewed Applications
Read 1 Review rated 4
using
NBP2-34264 in the following applications:

Reactivity Notes

Gorilla, Owl Monkey

Packaging, Storage & Formulations

Storage
Store at 4C.
Buffer
10 mM PBS with 0.05% BSA
Preservative
0.05% Sodium Azide
Concentration
0.2 mg/ml
Purity
Protein A purified

Alternate Names for Involucrin Antibody (SY5)

  • involucrin

Background

Stains paraffin embedded human tissue, so will be useful for studies of changes in involucrin expression in pathological studies.

Limitations

This product is for research use only and is not approved for use in humans or in clinical diagnosis. Primary Antibodies are guaranteed for 1 year from date of receipt.

Customers Who Viewed This Item Also Viewed...

NBP1-87528
Species: Hu
Applications: ICC/IF, IHC,  IHC-P
NBP2-61736
Species: Hu, Pm, Mu, Rt
Applications: ELISA, Flow, IHC,  IHC-P, WB
NBP2-34270
Species: Hu, Mu, Rt
Applications: Flow, ICC/IF, IHC, IHC-Fr,  IHC-P, Simple Western
NBP2-29429
Species: Bv, Ca, Ch, Hu, Pm, Mu, Rb, Rt, Re, Ze
Applications: COMET, CyTOF-reported, Dual ISH-IHC, Flow-IC, Flow, ICC/IF, IHC, IHC-Fr,  IHC-P, mIF, Single-Cell Western, WB
NBP2-67471
Species: Hu, Mu, Rt
Applications: ICC/IF, IHC,  IHC-P, WB
NB500-106
Species: Ch, Dr, Fi, Hu, Mar, Mu, Po, Pm, Rb, Rt, Ye, Ze
Applications: ChIP, ChIP, ELISA, Flow, ICC/IF, IHC-FrFl, IHC, IHC-Fr,  IHC-P, IP, Simple Western, WB
236-EG
Species: Hu
Applications: BA
NBP2-67559
Species: Hu
Applications: Flow, ICC/IF, IHC,  IHC-P, WB
NBP2-61931
Species: Hu, Rt
Applications: Flow, ICC/IF, IHC,  IHC-P, WB
NBP2-50037
Species: Hu, Mu, Rt
Applications: ICC/IF, IHC, KO, WB
AF1916
Species: Hu
Applications: ICC, IHC, WB
AF7355
Species: Hu
Applications: ICC, Simple Western, WB
NBP3-15261
Species: Hu, Mu, Rt
Applications: ICC/IF, IHC,  IHC-P, WB
NBP2-29463
Species: Pm, Hu, Pm, Mu
Applications: Flow, ICC/IF, IHC,  IHC-P, WB
NB100-687
Species: Hu, Mu, Rt
Applications: Flow, ICC/IF, IHC,  IHC-P, Simple Western, WB
NB100-355
Species: Bv, Ca, Ch, Hu, Mu, Po, Pm, Rt, Xp
Applications: CyTOF-ready, Flow, ICC/IF, IF, IHC, IHC-Fr,  IHC-P, IP, In vivo, KO, Simple Western, WB
AF231
Species: Hu
Applications: CyTOF-ready, Dual ISH-IHC, ELISA(Cap), ELISA(Det), ELISA(Sta), Flow, ICC, IHC, IP, Simple Western, WB
NBP1-18885
Species: Hu
Applications: ICC/IF, IHC,  IHC-P, IP, KO, WB

Publications for Involucrin Antibody (NBP2-34264) (0)

There are no publications for Involucrin Antibody (NBP2-34264).
By submitting your publication information earn gift cards and discounts for future purchases.

Review for Involucrin Antibody (NBP2-34264) (1) 41

Average Rating: 4
(Based on 1 review)
We have 1 review tested in 1 species: Human.

Reviews using NBP2-34264:
Filter by Applications
 IHC-P
(1)
All Applications
Filter by Species
Human
(1)
All Species
Images Ratings Applications Species Date Details
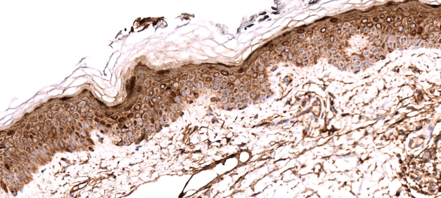
Immunohistochemistry-Paraffin Involucrin NBP2-34264
Enlarge
4
reviewed by:
Verified Customer
 IHC-P Human 12/08/2016
View

Summary

ApplicationImmunohistochemistry-Paraffin
Sample Testedhuman skin
SpeciesHuman
Lot37131p160623

Product General Protocols

Video Protocols

WB Video Protocol
ICC/IF Video Protocol

FAQs for Involucrin Antibody (NBP2-34264) (0)

There are no specific FAQs related to this product. Read our general customer & technical service FAQs.

Secondary Antibodies

 

Isotype Controls

Additional Involucrin Products

Research Areas for Involucrin Antibody (NBP2-34264)

Find related products by research area.

Blogs on Involucrin

There are no specific blogs for Involucrin, but you can read our latest blog posts.

Contact Information

Product PDFs

Calculators

Concentration Calculator

The concentration calculator allows you to quickly calculate the volume, mass or concentration of your vial. Simply enter your mass, volume, or concentration values for your reagent and the calculator will determine the rest.

=
÷

Recent Reviews

4
5
0
4
1
3
0
2
0
1
0

Verified Customer
12/08/2016
Application:  IHC-P
Species: Human

Bioinformatics

Gene Symbol IVL
Uniprot