Insulysin/IDE Antibody (JJ0949)

Images

 
Western Blot: Insulysin/IDE Antibody (JJ0949) [NBP2-66907] - Analysis of Insulin degrading enzyme on hybrid fish (crucian-carp) heart tissue lysate using anti-Insulin degrading enzyme antibody at 1/500 dilution.
Immunohistochemistry-Paraffin: Insulysin/IDE Antibody (JJ0949) [NBP2-66907] - Analysis of mouse colon tissue using anti-Insulin degrading enzyme antibody. Counter stained with hematoxylin.
Western Blot: Insulysin/IDE Antibody (JJ0949) [NBP2-66907] - Analysis of Insulin degrading enzyme on different lysates using anti-Insulin degrading enzyme antibody at 1/1,000 dilution. Positive control: Lane 1: ...read more
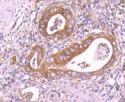
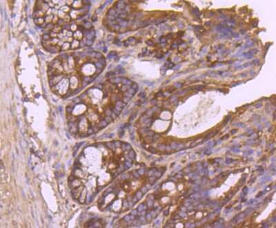
Immunohistochemistry-Paraffin: Insulysin/IDE Antibody (JJ0949) [NBP2-66907] - Analysis of human colon cancer tissue using anti-Insulin degrading enzyme antibody. Counter stained with hematoxylin.
Immunohistochemistry-Paraffin: Insulysin/IDE Antibody (JJ0949) [NBP2-66907] - Analysis of paraffin-embedded human gastric carcinoma tissue using anti-Insulin degrading enzyme antibody. Counter stained with hematoxylin.
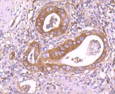
Immunohistochemistry-Paraffin: Insulysin/IDE Antibody (JJ0949) [NBP2-66907] - Analysis of human liver cancer tissue using anti-Insulin degrading enzyme antibody. Counter stained with hematoxylin.

Product Details

Summary
Product Discontinued
View other related Insulysin/IDE Primary Antibodies

Order Details


    • Catalog Number
      NBP2-66907
    • Availability
      Product Discontinued

    Can't find what you are looking for? Use our Antibody Concierge Service & we will help you locate your antibody!

    Or feel free to contact us for alternative products.

Insulysin/IDE Antibody (JJ0949) Summary

Additional Information
Recombinant Monoclonal Antibody.
Immunogen
Recombinant protein within Human Insulysin/IDE aa 1-106 / 1019. (SwissProt: P14735 Human; SwissProt: Q9JHR7 Mouse; SwissProt: P35559 Rat)
Localization
Cytoplasm, Cell membrane, Secreted.
Isotype
IgG
Clonality
Monoclonal
Host
Rabbit
Gene
IDE
Purity
Protein A purified
Innovator's Reward
Test in a species/application not listed above to receive a full credit towards a future purchase.

Applications/Dilutions

Dilutions
  • Immunohistochemistry
  • Immunohistochemistry-Paraffin 1:50-1:200
  • Western Blot 1:1000-1:2000
Publications
Read Publication using
NBP2-66907 in the following applications:

  • WB
    1 publication

Packaging, Storage & Formulations

Storage
Store at 4C short term. Aliquot and store at -20C long term. Avoid freeze-thaw cycles.
Buffer
TBS (pH7.4), 0.05% BSA, 40% Glycerol
Preservative
0.05% Sodium Azide
Concentration
1 mg/ml
Purity
Protein A purified

Alternate Names for Insulysin/IDE Antibody (JJ0949)

  • Abeta-degrading protease
  • EC 3.4.24
  • EC 3.4.24.56
  • FLJ35968
  • IDE
  • INSDEGM
  • Insulin protease
  • Insulinase
  • insulin-degrading enzyme
  • Insulysin

Background

Insulysin was identified nearly a century ago as an enzyme responsible for the degradation of insulin in cells, although the precise interactions between insulin and insulysin remain elusive. Human insulysin was cloned in 1988, and shown to be a 118 kDa protein that exists primarily as a homodimer, and perhaps also complexed with other molecules. The sequence is well conserved between humans, rats and mice, and the antibody recognizes these species. Insulysin is a metalloproteinase of the clan ME, family M16, which contains an active site HxxEH, a reversal of the canonical HExxH zinc binding motif. Considered a zinc metalloproteinase, the activity of insulysin can be blocked with EDTA or 1-10 phenanthroline. In addition to the active metalloproteinase domain, insulysin contains a second metalloproteinase site which is considered catalytically inactive, and is thought to assist in substrate binding. Insulysin is most closely related to the bacterial proteinase pitrilysin, (the human orthologue of which appears to be MPRP1) and the mammalian proteinsae nardilysin. Generally thought to be a cytoplasmic protein, insulysin has been isolated from many different tissues and cell lines, and can degrade intact insulin, insulin B chain, glucagon, denatured hemoglobin, alpha amyloid protein, TGF alpha and amylin. Recent work implicates insulysin in clearing beta amyloid plaques from the brain, and has generated much interest in Alzheimer's disease research. The pH optimum for insulysin is basic, pH 8.5, which also distinguishes it from other metalloproteinases. Insulin degrading enzyme (IDE) has a preferential affinity for insulin such that the presence of insulin will inhibit IDE mediated degradation of other substrates. IDE degrades a variety of other peptides including atrial natriuretic peptide and amylin. IDE catabolizes A beta and has been implicated as a candidate enzyme responsible for the degradation and clearance of A beta in the brain. IDE has also been shown to degrade the APP intracellular domain (AICD), a product of gamma secretase cleaved APP that may function in nuclear signaling.

Limitations

This product is for research use only and is not approved for use in humans or in clinical diagnosis. Primary Antibodies are guaranteed for 1 year from date of receipt.

Customers Who Viewed This Item Also Viewed...

MAB1417
Species: Bv, Hu, Mu
Applications: ICC, IHC
NBP2-13075
Species: Ba, Hu, Pm, Mu, Rt
Applications: DB, ELISA, IB, ICC/IF, IHC-FrFl, IHC, IHC-Fr,  IHC-P, IP, WB
AF1126
Species: Mu
Applications: ELISA(Cap), ELISA(Det), ELISA(Sta), IHC, IP, WB
1544-IR
Species: Hu
Applications: Bind
AF2396
Species: Hu
Applications: IHC, Simple Western, WB
MAB931
Species: Hu, Mu
Applications: CyTOF-ready, IHC, ICFlow, WB
NB100-74510
Species: Hu, Mu, Pm, Rt
Applications: ELISA, ICC/IF, IHC,  IHC-P, IP, WB
AF1513
Species: Mu
Applications: CyTOF-ready, Flow, IHC, IP, Simple Western, WB
NB110-60531
Species: Hu, Mu, Rt(-)
Applications: CyTOF-ready, ELISA, Flow-IC, Flow, ICC/IF, IHC,  IHC-P, IP, WB
MAB1249
Species: Hu, Mu
Applications: CyTOF-ready, ICC, ICFlow
H00003087-M02
Species: Hu
Applications: ELISA, ICC/IF, S-ELISA, WB
AF1784
Species: Hu
Applications: CyTOF-ready, IHC, IP, ICFlow, WB
NBP2-22106
Species: Hu, Mu, Rt
Applications: IHC,  IHC-P, IP, WB
291-G1
Species: Hu
Applications: BA
292-G2
Species: Hu
Applications: BA
NBP1-81838
Species: Hu
Applications: IHC,  IHC-P, WB
NBP2-33680
Species: Hu
Applications: IHC,  IHC-P
NBP2-67702
Species: Hu, Mu, Rt
Applications: ICC/IF, IHC, IHC-Fr,  IHC-P, WB

Publications for Insulysin/IDE Antibody (NBP2-66907)(1)

We have publications tested in 1 confirmed species: Hamster.

We have publications tested in 1 application: WB.


Filter By Application
WB
(1)
All Applications
Filter By Species
Hamster
(1)
All Species

Reviews for Insulysin/IDE Antibody (NBP2-66907) (0)

There are no reviews for Insulysin/IDE Antibody (NBP2-66907). By submitting a review you will receive an Amazon e-Gift Card or Novus Product Discount.
  • Review with no image -- $10/€7/£6/$10 CAD/¥70 Yuan/¥1110 Yen
  • Review with an image -- $25/€18/£15/$25 CAD/¥150 Yuan/¥2500 Yen

Product General Protocols

Find general support by application which include: protocols, troubleshooting, illustrated assays, videos and webinars.

Video Protocols

WB Video Protocol

FAQs for Insulysin/IDE Antibody (NBP2-66907) (0)

There are no specific FAQs related to this product. Read our general customer & technical service FAQs.

Secondary Antibodies

 

Isotype Controls

Additional Insulysin/IDE Products

Research Areas for Insulysin/IDE Antibody (NBP2-66907)

Find related products by research area.

Blogs on Insulysin/IDE

There are no specific blogs for Insulysin/IDE, but you can read our latest blog posts.

Contact Information

Product PDFs

Calculators

Concentration Calculator

The concentration calculator allows you to quickly calculate the volume, mass or concentration of your vial. Simply enter your mass, volume, or concentration values for your reagent and the calculator will determine the rest.

=
÷

Review this Product

Be the first to review our Insulysin/IDE Antibody (JJ0949) and receive a gift card or discount.

Bioinformatics

Gene Symbol IDE