IL-36 gamma/IL-1F9 Antibody (OTI2F4) - Azide and BSA Free

Images

 
Western Blot: IL-36 gamma/IL-1F9 Antibody (OTI2F4) - Azide and BSA Free [NBP2-72055] - Analysis of HEK293T cells were transfected with the pCMV6-ENTRY control (Left lane) or pCMV6-ENTRY IL1F9.
Immunocytochemistry/ Immunofluorescence: IL-36 gamma/IL-1F9 Antibody (OTI2F4) - Azide and BSA Free [NBP2-72055] - Analysis of HeLa cells.
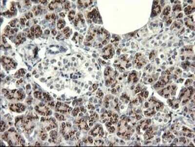
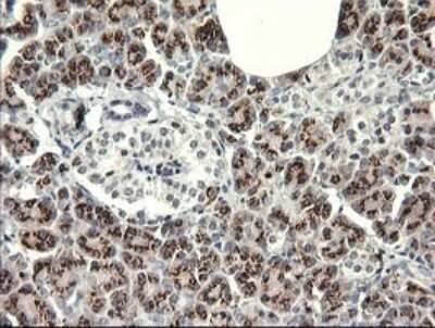
Immunohistochemistry: IL-36 gamma/IL-1F9 Antibody (OTI2F4) - Azide and BSA Free [NBP2-72055] - Analysis of Human pancreas tissue. (Heat-induced epitope retrieval by 10mM citric buffer, pH6.0, 120C for 3min)
Western Blot: IL-36 gamma/IL-1F9 Antibody (OTI2F4) - Azide and BSA Free [NBP2-72055] - HEK293T cells were transfected with the pCMV6-ENTRY control (Left lane) or pCMV6-ENTRY IL1F9 ( Right lane) cDNA for 48 hrs and ...read more
Immunohistochemistry: IL-36 gamma/IL-1F9 Antibody (OTI2F4) - Azide and BSA Free [NBP2-72055] - Analysis of Adenocarcinoma of Human colon tissue. (Heat-induced epitope retrieval by 10mM citric buffer, pH6.0, 120C for ...read more

Product Details

Summary
Reactivity HuSpecies Glossary
Applications WB, ICC/IF, IHC
Clone
OTI2F4
Clonality
Monoclonal
Host
Mouse
Conjugate
Unconjugated
Format
Azide and BSA Free
Concentration
LYOPH

Order Details

IL-36 gamma/IL-1F9 Antibody (OTI2F4) - Azide and BSA Free Summary

Description
Novus Biologicals Mouse IL-36 gamma/IL-1F9 Antibody (OTI2F4) - Azide and BSA Free (NBP2-45749) is a monoclonal antibody validated for use in IHC, WB and ICC/IF. All Novus Biologicals antibodies are covered by our 100% guarantee.
Immunogen
Full length human recombinant protein of human IL1F9(NP_062564) produced in HEK293T cell.
Isotype
IgG1
Clonality
Monoclonal
Host
Mouse
Gene
IL36G
Purity
Immunogen affinity purified
Innovator's Reward
Test in a species/application not listed above to receive a full credit towards a future purchase.

Applications/Dilutions

Dilutions
  • Immunocytochemistry/ Immunofluorescence 1:100
  • Immunohistochemistry 1:150
  • Immunohistochemistry-Paraffin
  • Western Blot 1:4000
Theoretical MW
18.5 kDa.
Disclaimer note: The observed molecular weight of the protein may vary from the listed predicted molecular weight due to post translational modifications, post translation cleavages, relative charges, and other experimental factors.

Packaging, Storage & Formulations

Storage
Store at -20C. Avoid freeze-thaw cycles.
Buffer
Lyophilized from PBS (pH 7.3) with 8% Trehalose
Preservative
No Preservative
Concentration
LYOPH
Purity
Immunogen affinity purified
Reconstitution Instructions
we recommend adding 100uL distilled water to a final antibody concentration of about 1 mg/mL. To use this carrier-free antibody for conjugation experiment, we strongly recommend performing another round of desalting process.

Alternate Names for IL-36 gamma/IL-1F9 Antibody (OTI2F4) - Azide and BSA Free

  • IL-1 epsilon
  • IL-1 H1
  • IL-1 Related Protein 2
  • IL-1(EPSILON)
  • IL1E
  • IL-1-epsilon
  • IL1F9
  • IL-1F9
  • IL1H1
  • IL-1H1
  • IL-1-Related Protein 2
  • IL1RP2
  • IL-1rp2
  • IL36 gamma
  • IL-36 gamma
  • IL36G
  • interleukin 1 family, member 9
  • interleukin 1-related protein 2
  • Interleukin 36, Gamma
  • Interleukin-1 epsilon
  • interleukin-1 family member 9
  • Interleukin-1 homolog 1
  • Interleukin-36 Gamma

Limitations

This product is for research use only and is not approved for use in humans or in clinical diagnosis. Primary Antibodies are guaranteed for 1 year from date of receipt.

Customers Who Viewed This Item Also Viewed...

DY1099-05
Species: Hu
Applications: ELISA
AF2297
Species: Mu
Applications: Block, ELISA, WB
AF2354
Species: Mu
Applications: WB
201-LB
Species: Hu
Applications: BA
DRA00B
Species: Hu
Applications: ELISA
M6000B
Species: Mu
Applications: ELISA
MAB840
Species: Hu
Applications: CyTOF-ready, Flow, ICC, IHC, Neut
AF676
Species: Hu
Applications: CyTOF-ready, Flow, WB
DY421
Species: Mu
Applications: ELISA
6507-IL/CF
Species: Hu
Applications: BA
DY1975
Species: Hu
Applications: ELISA
7625
Species: Mu
Applications: ELISA
AF3626
Species: Mu
Applications: CyTOF-ready, ELISA(Cap), ELISA(Det), ELISA(Sta), ICC, IHC, ICFlow, Neut, WB
1275-IL/CF
Species: Hu
Applications: BA
NB100-56583
Species: Hu, Rb, Rt
Applications: Flow, IHC,  IHC-P, KO, Simple Western, WB

Publications for IL-36 gamma/IL-1F9 Antibody (NBP2-72055) (0)

There are no publications for IL-36 gamma/IL-1F9 Antibody (NBP2-72055).
By submitting your publication information earn gift cards and discounts for future purchases.

Reviews for IL-36 gamma/IL-1F9 Antibody (NBP2-72055) (0)

There are no reviews for IL-36 gamma/IL-1F9 Antibody (NBP2-72055). By submitting a review you will receive an Amazon e-Gift Card or Novus Product Discount.
  • Review with no image -- $10/€7/£6/$10 CAD/¥70 Yuan/¥1110 Yen
  • Review with an image -- $25/€18/£15/$25 CAD/¥150 Yuan/¥2500 Yen

Product General Protocols

Find general support by application which include: protocols, troubleshooting, illustrated assays, videos and webinars.

Video Protocols

WB Video Protocol
ICC/IF Video Protocol

FAQs for IL-36 gamma/IL-1F9 Antibody (NBP2-72055) (0)

There are no specific FAQs related to this product. Read our general customer & technical service FAQs.

Secondary Antibodies

 

Isotype Controls

Additional IL-36 gamma/IL-1F9 Products

Research Areas for IL-36 gamma/IL-1F9 Antibody (NBP2-72055)

Find related products by research area.

Blogs on IL-36 gamma/IL-1F9

There are no specific blogs for IL-36 gamma/IL-1F9, but you can read our latest blog posts.

Customers Who Bought This Also Bought

Contact Information

Product PDFs

Calculators

Concentration Calculator

The concentration calculator allows you to quickly calculate the volume, mass or concentration of your vial. Simply enter your mass, volume, or concentration values for your reagent and the calculator will determine the rest.

=
÷

Review this Product

Be the first to review our IL-36 gamma/IL-1F9 Antibody (OTI2F4) - Azide and BSA Free and receive a gift card or discount.

Bioinformatics

Gene Symbol IL36G