IL-17RD/SEF Antibody

Images

 
Western Blot: IL-17 RD/SEF Antibody [NBP2-16944] - Rat tissue extract (50 ug) was separated by 7.5% SDS-PAGE, and the membrane was blotted with IL17 Receptor D antibody diluted at 1:3000. The HRP-conjugated anti-rabbit ...read more
Immunocytochemistry/ Immunofluorescence: IL17RD Antibody [NBP2-16944] - Immunofluorescence analysis of methanol-fixed MCF-7, using antibody at 1:500 dilution.
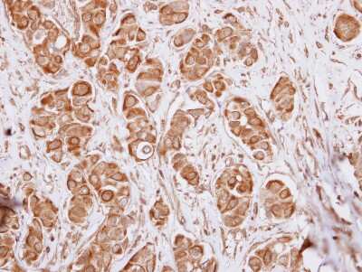
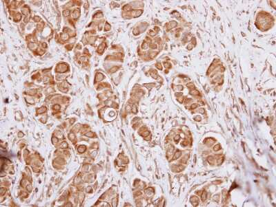
Immunohistochemistry-Paraffin: IL17RD Antibody [NBP2-16944] - Immunohistochemical analysis of paraffin-embedded Breast ca, using antibody at 1:250 dilution.
Western Blot: IL17RD Antibody [NBP2-16944] - Sample (30 ug of whole cell lysate) A: IMR32 7. 5% SDS PAGE gel, diluted at 1:3000.

Product Details

Summary
Product Discontinued
View other related IL-17RD/SEF Primary Antibodies

Order Details


    • Catalog Number
      NBP2-16944
    • Availability
      Product Discontinued

    Can't find what you are looking for? Use our Antibody Concierge Service & we will help you locate your antibody!

    Or feel free to contact us for alternative products.

IL-17RD/SEF Antibody Summary

Immunogen
Recombinant protein encompassing a sequence within the N-terminus region of human IL17 Receptor D. The exact sequence is proprietary.
Localization
Golgi apparatus membrane; Single-pass type I membrane protein; Cell membrane; Single-pass type I membrane protein; Isoform 4: Cytoplasm;
Predicted Species
Mouse (92%), Bovine (91%). Backed by our 100% Guarantee.
Isotype
IgG
Clonality
Polyclonal
Host
Rabbit
Gene
IL17RD
Purity
Immunogen affinity purified
Innovator's Reward
Test in a species/application not listed above to receive a full credit towards a future purchase.

Applications/Dilutions

Dilutions
  • Immunocytochemistry/ Immunofluorescence 1:100-1:1000
  • Immunohistochemistry 1:100-1:1000
  • Immunohistochemistry-Paraffin 1:100-1:1000
  • Western Blot 1:500-1:3000
Theoretical MW
82 kDa.
Disclaimer note: The observed molecular weight of the protein may vary from the listed predicted molecular weight due to post translational modifications, post translation cleavages, relative charges, and other experimental factors.
Publications
Read Publication using
NBP2-16944 in the following applications:

Reactivity Notes

Chicken (81%).

Packaging, Storage & Formulations

Storage
Aliquot and store at -20C or -80C. Avoid freeze-thaw cycles.
Buffer
PBS (pH 7), 20% Glycerol, 1% BSA
Preservative
0.01% Thimerosal
Purity
Immunogen affinity purified

Alternate Names for IL-17RD/SEF Antibody

  • FLJ35755
  • IL-17 RD
  • IL17RD
  • IL-17RD
  • IL-17RDIL-17 receptor D
  • IL17Rhom
  • IL17RLM
  • IL17RLMDKFZp434N1928
  • interleukin 17 receptor D
  • interleukin-17 receptor D
  • Interleukin-17 receptor-like protein
  • MGC133309
  • Sef homolog
  • SEF
  • SEFhSef

Background

Fibroblast growth factors (FGFs; see MIM 603726) are secreted proteins involved in cellular proliferation, migration, differentiation, and survival. FGF activity is negatively regulated by members of the 'sprouty' family (e.g., SPRY1, MIM 602465). The SEF protein is a modulator of FGF signaling.[supplied by OMIM]

Limitations

This product is for research use only and is not approved for use in humans or in clinical diagnosis. Primary Antibodies are guaranteed for 1 year from date of receipt.

Customers Who Viewed This Item Also Viewed...

AF1230
Species: Hu, Mu, Rt
Applications: IHC, KO, WB
DY421
Species: Mu
Applications: ELISA
233-FB
Species: Hu
Applications: BA
NBP2-44520
Species: Ca(-), Hu, Rt(-)
Applications: Flow-IC, Flow, ICC/IF, IF, IHC,  IHC-P, MI, WB
MAB177
Species: Hu
Applications: CyTOF-ready, Flow, KO, Neut, WB
AF467
Species: Hu, Mu
Applications: CyTOF-ready, Flow, ICC, IHC, Simple Western, WB
NBP1-87581
Species: Hu
Applications: IHC,  IHC-P, WB
423-F8
Species: Hu, Mu
Applications: BA
NBP2-22203
Species: Hu, Pm, Mu, Rt
Applications: ELISA, Flow, ICC/IF, IHC,  IHC-P, WB
NBP1-47833
Species: Hu, Mu, Rt
Applications: ICC/IF, IHC,  IHC-P, WB
AF2340
Species: Hu
Applications: CyTOF-ready, Flow, IP, WB
AF3749
Species: Hu
Applications: IHC, WB
NBP2-33278
Species: Hu
Applications: ICC/IF, WB
NB100-56740
Species: Hu, Mu
Applications: IHC,  IHC-P, IP, Simple Western, WB
H00006301-M01
Species: Hu, Mu, Ze
Applications: ChIP, ELISA, ICC/IF, IHC,  IHC-P, IP, KD, WB
NBP2-20262
Species: Hu
Applications: ICC/IF, IHC,  IHC-P, WB
⚠ WARNING: This product can expose you to chemicals including mercury, which is known to the State of California to cause reproductive toxicity with developmental effects.  For more information go to www.P65Warnings.ca.gov.

Publications for IL-17RD/SEF Antibody (NBP2-16944)(1)

We have publications tested in 1 confirmed species: Rat.

We have publications tested in 1 application: IF/IHC.


Filter By Application
IF/IHC
(1)
All Applications
Filter By Species
Rat
(1)
All Species

Reviews for IL-17RD/SEF Antibody (NBP2-16944) (0)

There are no reviews for IL-17RD/SEF Antibody (NBP2-16944). By submitting a review you will receive an Amazon e-Gift Card or Novus Product Discount.
  • Review with no image -- $10/€7/£6/$10 CAD/¥70 Yuan/¥1110 Yen
  • Review with an image -- $25/€18/£15/$25 CAD/¥150 Yuan/¥2500 Yen

Product General Protocols

Find general support by application which include: protocols, troubleshooting, illustrated assays, videos and webinars.

Video Protocols

WB Video Protocol
ICC/IF Video Protocol

FAQs for IL-17RD/SEF Antibody (NBP2-16944) (0)

There are no specific FAQs related to this product. Read our general customer & technical service FAQs.

Contact Information

Product PDFs

Calculators

Concentration Calculator

The concentration calculator allows you to quickly calculate the volume, mass or concentration of your vial. Simply enter your mass, volume, or concentration values for your reagent and the calculator will determine the rest.

=
÷

Review this Product

Be the first to review our IL-17RD/SEF Antibody and receive a gift card or discount.

Bioinformatics

Gene Symbol IL17RD
Uniprot