IkB-epsilon Antibody (JM62-63)

Images

 
Western Blot: IkB-epsilon Antibody (JM62-63) [NBP2-66903] - Analysis of IKB epsilon on different cell lysates using anti-IKB epsilon antibody at 1/1,000 dilution. Positive control: Line 1: THP-1 Line 2: Jurkat Line 3: ...read more
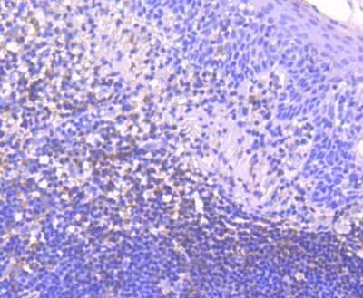
Immunohistochemistry-Paraffin: IkB-epsilon Antibody (JM62-63) [NBP2-66903] - Analysis of paraffin-embedded human tonsil tissue using anti-IKB epsilon antibody. Counter stained with hematoxylin.

Product Details

Summary
Product Discontinued
View other related IkB-epsilon Primary Antibodies

Order Details


    • Catalog Number
      NBP2-66903
    • Availability
      Product Discontinued

    Can't find what you are looking for? Use our Antibody Concierge Service & we will help you locate your antibody!

    Or feel free to contact us for alternative products.

IkB-epsilon Antibody (JM62-63) Summary

Additional Information
Recombinant Monoclonal Antibody.
Immunogen
Synthetic peptide within Human IkB-epsilon aa 175-224 / 500. (SwissProt: O00221 Human)
Localization
Cytoplasm.
Isotype
IgG
Clonality
Monoclonal
Host
Rabbit
Gene
NFKBIE
Purity
Protein A purified
Innovator's Reward
Test in a species/application not listed above to receive a full credit towards a future purchase.

Applications/Dilutions

Dilutions
  • Immunohistochemistry
  • Immunohistochemistry-Paraffin 1:50-1:200
  • Immunoprecipitation
  • Western Blot 1:500-1:1000

Packaging, Storage & Formulations

Storage
Store at 4C short term. Aliquot and store at -20C long term. Avoid freeze-thaw cycles.
Buffer
TBS (pH7.4), 0.05% BSA, 40% Glycerol
Preservative
0.05% Sodium Azide
Concentration
1 mg/ml
Purity
Protein A purified

Alternate Names for IkB-epsilon Antibody (JM62-63)

  • epsilon
  • ikappaBepsilon
  • I-kappa-B-epsilon
  • IkB-E
  • IKBENF-kappa-B inhibitor epsilon
  • IkBepsilon
  • IkB-epsilon
  • NF-kappa-BIE
  • NFKBIE
  • nuclear factor of kappa light polypeptide gene enhancer in B-cells inhibitor

Background

The transcription factor NFkappaB is retained in the cytoplasm in an inactive form by the inhibitory protein IkappaB. Activation of NFkappaB requires that IkappaB be phosphorylated on specific serine residues, which results in targeted degradation of IkappaB. IkappaB kinase alpha (IKKalpha), previously designated CHUK, interacts with IkappaB-alpha and specifically phosphorylates IkappaB-alpha on the sites that trigger its degradation, Serines 32 and 36. IKKalpha appears to be critical for NFkappaB activation in response to proinflammatory cytokines. Phosphorylation of IkappaB by IKKalpha is stimulated by the NFkappaB inducing kinase (NIK), which itself is a central regulator for NFkappaB activation in response to TNF and IL-1. The functional IKK complex contains three subunits, IKKalpha, IKKbeta and IKKgamma (also designated NEMO), and each appear to make essential contributions to IkappaB phosphorylation.

Limitations

This product is for research use only and is not approved for use in humans or in clinical diagnosis. Primary Antibodies are guaranteed for 1 year from date of receipt.

Customers Who Viewed This Item Also Viewed...

NB100-56583
Species: Hu, Rb, Rt
Applications: Flow, IHC,  IHC-P, KO, Simple Western, WB
NB100-56507
Species: Hu, Mu, Rt
Applications: CyTOF-ready, Flow, ICC/IF, IHC,  IHC-P, IP, KO, Simple Western, WB
MAB3425
Species: Hu, Rt
Applications: WB
NB100-2176
Species: Hu, Mu, Rt
Applications: ChIP, ICC/IF, IHC,  IHC-P, IP, WB
AF2699
Species: Mu
Applications: Simple Western, WB
AF2849
Species: Mu, Rt
Applications: WB
NBP2-02665
Species: Ca, Hu, Pm, Po, Pm, Rt
Applications: Flow, ICC/IF, IHC,  IHC-P, WB
MAB4364
Species: Rt
Applications: ICC, IHC, IP, KO, WB
NB100-56704
Species: Hu, Mu, Pm, Rt
Applications: ChIP, ChIP, Flow-IC, Flow, ICC/IF, IHC, IHC-Fr,  IHC-P, IP, Simple Western, WB
NB100-56509
Species: Hu, Mu, Rt
Applications: CyTOF-ready, Flow, IB, ICC/IF, IHC,  IHC-P, IP, Simple Western, WB
NBP2-20123
Species: Hu, Mu
Applications: ChIP, IHC,  IHC-P, IP, WB
AF632
Species: Hu
Applications: AgAct, Simple Western, WB
NBP1-87760
Species: Hu
Applications: ICC/IF, IHC,  IHC-P, KD, Simple Western, WB
MAB3199
Species: Hu, Mu, Rt
Applications: ICC, WB
NBP2-01345
Species: Hu, Mu, Rt
Applications: Flow, ICC/IF, IHC,  IHC-P, WB
NBP1-88650
Species: Hu
Applications: IHC,  IHC-P, KD, WB
NBP2-67471
Species: Hu, Mu, Rt
Applications: ICC/IF, IHC,  IHC-P, WB
485-MI
Species: Mu
Applications: BA
NB110-96874
Species: Ca, Ha, Hu, Mu, Rt
Applications: ICC/IF, IHC,  IHC-P, IP, WB

Publications for IkB-epsilon Antibody (NBP2-66903) (0)

There are no publications for IkB-epsilon Antibody (NBP2-66903).
By submitting your publication information earn gift cards and discounts for future purchases.

Reviews for IkB-epsilon Antibody (NBP2-66903) (0)

There are no reviews for IkB-epsilon Antibody (NBP2-66903). By submitting a review you will receive an Amazon e-Gift Card or Novus Product Discount.
  • Review with no image -- $10/€7/£6/$10 CAD/¥70 Yuan/¥1110 Yen
  • Review with an image -- $25/€18/£15/$25 CAD/¥150 Yuan/¥2500 Yen

Product General Protocols

Find general support by application which include: protocols, troubleshooting, illustrated assays, videos and webinars.

Video Protocols

WB Video Protocol

FAQs for IkB-epsilon Antibody (NBP2-66903) (0)

There are no specific FAQs related to this product. Read our general customer & technical service FAQs.

Secondary Antibodies

 

Isotype Controls

Additional IkB-epsilon Products

Research Areas for IkB-epsilon Antibody (NBP2-66903)

Find related products by research area.

Blogs on IkB-epsilon

There are no specific blogs for IkB-epsilon, but you can read our latest blog posts.

Contact Information

Product PDFs

Calculators

Concentration Calculator

The concentration calculator allows you to quickly calculate the volume, mass or concentration of your vial. Simply enter your mass, volume, or concentration values for your reagent and the calculator will determine the rest.

=
÷

Review this Product

Be the first to review our IkB-epsilon Antibody (JM62-63) and receive a gift card or discount.

Bioinformatics

Gene Symbol NFKBIE