IkB-beta Antibody (SN0648)

Images

 
Western Blot: IkB-beta Antibody (SN0648) [NBP2-67645] - Analysis of IKB beta on different lysates using anti-IKB beta antibody at 1/1,000 dilution. Positive control: Lane 1: Jurkat Lane 2: Hela Lane 3: THP-1
Immunocytochemistry/ Immunofluorescence: IkB-beta Antibody (SN0648) [NBP2-67645] - Staining IKB beta in MCF-7 cells (green). The nuclear counter stain is DAPI (blue). Cells were fixed in paraformaldehyde, permeabilised ...read more
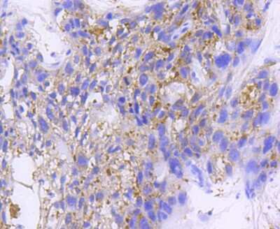
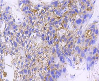
Immunohistochemistry-Paraffin: IkB-beta Antibody (SN0648) [NBP2-67645] - Analysis of paraffin-embedded human breast carcinoma tissue using anti-IKB beta antibody. Counter stained with hematoxylin.
Immunocytochemistry/ Immunofluorescence: IkB-beta Antibody (SN0648) [NBP2-67645] - Staining IKB beta in A549 cells (green). The nuclear counter stain is DAPI (blue). Cells were fixed in paraformaldehyde, permeabilised ...read more

Product Details

Summary
Product Discontinued
View other related IkB-beta Primary Antibodies

Order Details


    • Catalog Number
      NBP2-67645
    • Availability
      Product Discontinued

    Can't find what you are looking for? Use our Antibody Concierge Service & we will help you locate your antibody!

    Or feel free to contact us for alternative products.

IkB-beta Antibody (SN0648) Summary

Additional Information
Recombinant Monoclonal Antibody.
Immunogen
Synthetic peptide within Human IkB-beta aa 322-356 / 356. (SwissProt: Q15653 Human)
Localization
Nucleus, Cytoplasm.
Isotype
IgG
Clonality
Monoclonal
Host
Rabbit
Gene
NFKBIB
Purity
Protein A purified
Innovator's Reward
Test in a species/application not listed above to receive a full credit towards a future purchase.

Applications/Dilutions

Dilutions
  • Immunocytochemistry/ Immunofluorescence 1:50-1:200
  • Immunohistochemistry
  • Immunohistochemistry-Paraffin 1:50-1:200
  • Immunoprecipitation
  • Western Blot 1:500-1:1000

Packaging, Storage & Formulations

Storage
Store at 4C short term. Aliquot and store at -20C long term. Avoid freeze-thaw cycles.
Buffer
TBS (pH7.4), 0.05% BSA, 40% Glycerol
Preservative
0.05% Sodium Azide
Concentration
1 mg/ml
Purity
Protein A purified

Alternate Names for IkB-beta Antibody (SN0648)

  • beta
  • IkappaBbeta
  • I-kappa-B-beta
  • ikB-B
  • IkBbeta
  • IkB-beta
  • IKBBikB-beta
  • NF-kappa-B inhibitor beta
  • NF-kappa-BIB
  • NFKBIB
  • nuclear factor of kappa light polypeptide gene enhancer in B-cells inhibitor
  • Thyroid receptor-interacting protein 9
  • TR-interacting protein 9
  • TRIP-9
  • TRIP9ikappaBbeta

Background

NFKB1 (MIM 164011) or NFKB2 (MIM 164012) is bound to REL (MIM 164910), RELA (MIM 164014), or RELB (MIM 604758) to form the NFKB complex. The NFKB complex is inhibited by I-kappa-B proteins (NFKBIA, MIM 164008, or NFKBIB), which inactivate NF-kappa-B by trapping it in the cytoplasm. Phosphorylation of serine residues on the I-kappa-B proteins by kinases (IKBKA, MIM 600664 or IKBKB, MIM 603258) marks them for destruction via the ubiquitination pathway, thereby allowing activation of the NF-kappa-B complex. Activated NFKB complex translocates into the nucleus and binds DNA at kappa-B-binding motifs such as 5-prime GGGRNNYYCC 3-prime or 5-prime HGGARNYYCC 3-prime (where H is A, C, or T; R is an A or G purine; and Y is a C or T pyrimidine).[supplied by OMIM]

Limitations

This product is for research use only and is not approved for use in humans or in clinical diagnosis. Primary Antibodies are guaranteed for 1 year from date of receipt.

Customers Who Viewed This Item Also Viewed...

NB100-56583
Species: Hu, Rb, Rt
Applications: Flow, IHC,  IHC-P, KO, Simple Western, WB
NB100-56507
Species: Hu, Mu, Rt
Applications: CyTOF-ready, Flow, ICC/IF, IHC,  IHC-P, IP, KO, Simple Western, WB
NB100-2176
Species: Hu, Mu, Rt
Applications: ChIP, ICC/IF, IHC,  IHC-P, IP, WB
AF2849
Species: Mu, Rt
Applications: WB
NBP2-02665
Species: Ca, Hu, Pm, Po, Pm, Rt
Applications: Flow, ICC/IF, IHC,  IHC-P, WB
MAB4364
Species: Rt
Applications: ICC, IHC, IP, KO, WB
AF2699
Species: Mu
Applications: Simple Western, WB
AF632
Species: Hu
Applications: AgAct, Simple Western, WB
NBP1-88650
Species: Hu
Applications: IHC,  IHC-P, KD, WB
NBP2-01345
Species: Hu, Mu, Rt
Applications: Flow, ICC/IF, IHC,  IHC-P, WB
NBP1-87762
Species: Hu
Applications: ICC/IF, IHC,  IHC-P, WB
NB100-56509
Species: Hu, Mu, Rt
Applications: CyTOF-ready, Flow, IB, ICC/IF, IHC,  IHC-P, IP, Simple Western, WB
NB100-56704
Species: Hu, Mu, Pm, Rt
Applications: ChIP, ChIP, Flow-IC, Flow, ICC/IF, IHC, IHC-Fr,  IHC-P, IP, Simple Western, WB
DCP00
Species: Hu
Applications: ELISA
NB300-605
Species: Hu, Mu, Po, Rt
Applications: Flow, IB, ICC/IF, IHC, IHC-Fr,  IHC-P, In vitro, WB
NBP2-67471
Species: Hu, Mu, Rt
Applications: ICC/IF, IHC,  IHC-P, WB
MAB3199
Species: Hu, Mu, Rt
Applications: ICC, WB
NBP1-87760
Species: Hu
Applications: ICC/IF, IHC,  IHC-P, KD, Simple Western, WB
AF1230
Species: Hu, Mu, Rt
Applications: IHC, KO, WB

Publications for IkB-beta Antibody (NBP2-67645) (0)

There are no publications for IkB-beta Antibody (NBP2-67645).
By submitting your publication information earn gift cards and discounts for future purchases.

Reviews for IkB-beta Antibody (NBP2-67645) (0)

There are no reviews for IkB-beta Antibody (NBP2-67645). By submitting a review you will receive an Amazon e-Gift Card or Novus Product Discount.
  • Review with no image -- $10/€7/£6/$10 CAD/¥70 Yuan/¥1110 Yen
  • Review with an image -- $25/€18/£15/$25 CAD/¥150 Yuan/¥2500 Yen

Product General Protocols

Find general support by application which include: protocols, troubleshooting, illustrated assays, videos and webinars.

Video Protocols

WB Video Protocol
ICC/IF Video Protocol

FAQs for IkB-beta Antibody (NBP2-67645) (0)

There are no specific FAQs related to this product. Read our general customer & technical service FAQs.

Secondary Antibodies

 

Isotype Controls

Additional IkB-beta Products

Research Areas for IkB-beta Antibody (NBP2-67645)

Find related products by research area.

Blogs on IkB-beta

There are no specific blogs for IkB-beta, but you can read our latest blog posts.

Contact Information

Product PDFs

Calculators

Concentration Calculator

The concentration calculator allows you to quickly calculate the volume, mass or concentration of your vial. Simply enter your mass, volume, or concentration values for your reagent and the calculator will determine the rest.

=
÷

Review this Product

Be the first to review our IkB-beta Antibody (SN0648) and receive a gift card or discount.

Bioinformatics

Gene Symbol NFKBIB