Histone H4 [ac Lys12] Antibody

Images

 
Western Blot: Histone H4 [ac Lys12] Antibody [NB21-2064] - Analysis of NIH 3T3 histone prep lysate (A), and HeLa histone prep lysate (B) using Histone H4 [ac Lys12] antibody at 1 ug/ml.
Immunocytochemistry/ Immunofluorescence: Histone H4 [ac Lys12] Antibody [NB21-2064] - Tested at 1:10 in HeLa cells with DyLight 488 (green). Nuclei and alpha-tubulin were counterstained with DAPI (blue) and DyLight 550 ...read more
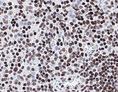
Immunohistochemistry-Paraffin: Histone H4 [ac Lys12] Antibody [NB21-2064] - Analysis of FFPE human tonsil using Histone H4 [ac Lys12] antibody at 1:500 on a Bond Rx autostainer (Leica Biosystems). The assay involved 20 ...read more

Product Details

Summary
Product Discontinued
View other related Histone H4 Primary Antibodies

Order Details


    • Catalog Number
      NB21-2064
    • Availability
      Product Discontinued

    Can't find what you are looking for? Use our Antibody Concierge Service & we will help you locate your antibody!

    Or feel free to contact us for alternative products.

Histone H4 [ac Lys12] Antibody Summary

Immunogen
Histone H4
Modification
ac Lys12
Localization
Nucleus. Chromosome
Marker
H4R3me1
Isotype
IgG
Clonality
Polyclonal
Host
Rabbit
Gene
H4C16
Purity
Immunogen affinity purified
Innovator's Reward
Test in a species/application not listed above to receive a full credit towards a future purchase.

Applications/Dilutions

Dilutions
  • Chromatin Immunoprecipitation 2-5 ug per million cells
  • Immunocytochemistry/ Immunofluorescence 1:10-1:100
  • Immunohistochemistry 1:100
  • Immunohistochemistry-Paraffin 1:500
  • Western Blot 1:500-1:1000

Reactivity Notes

Predicted to react with most mammal species.

Packaging, Storage & Formulations

Storage
Store at 4C short term. Aliquot and store at -20C long term. Avoid freeze-thaw cycles.
Buffer
20mM Potassium Phosphate (pH 7.2) and 0.15M NaCl
Preservative
0.01% Sodium Azide
Concentration
0.69 mg/ml
Purity
Immunogen affinity purified

Alternate Names for Histone H4 [ac Lys12] Antibody

  • H4
  • H4/A
  • H4/B
  • H4/C
  • H4/D
  • H4/E
  • H4/G
  • H4/H
  • H4/I
  • H4/J
  • H4/K
  • H4/M
  • H4/N
  • H4/O
  • H4/p
  • H4F2
  • H4FA
  • H4FB
  • H4FC
  • H4FD
  • H4FE
  • H4FG
  • H4FH
  • H4FI
  • H4FJ
  • H4FK
  • H4FM
  • H4FN
  • H4FO
  • H4K12ac
  • H4M
  • HIST1H4A
  • HIST1H4B
  • HIST1H4C
  • HIST1H4D
  • HIST1H4E
  • HIST1H4F
  • HIST1H4H
  • HIST1H4I
  • HIST1H4J
  • HIST1H4K
  • HIST1H4L
  • HIST2H4
  • HIST2H4A
  • HIST2H4B
  • HIST4H4
  • histone 4, H4
  • Histone Cluster 1 H4
  • Histone Cluster 1 H4i
  • Histone Cluster 4 H4
  • histone cluster 4, H4
  • Histone H4
  • MGC24116

Background

Histone H4 is an 11.4 kD nuclear protein that is a component of an octamer containing pairs of each of four core histones (H2A, H2B, H3, H4). The core histones create nucleosome structure of chromosomal fiber in eukaryotes and are dynamic in gene regulation. Histone H4 shows transcriptional regulation that is both cell cycle-dependent and -independent. Histone H4 is modified by phosphorylation, acetylation, ribosylation, and methylation. Histone H4 has been shown to interact with other histone acetytransferases, histone deacetylases, and PARP.

Limitations

This product is for research use only and is not approved for use in humans or in clinical diagnosis. Primary Antibodies are guaranteed for 1 year from date of receipt.

Customers Who Viewed This Item Also Viewed...

NB500-171
Species: Hu, I, Mu, Rt, Xp, Ye
Applications: ChIP, IB, ICC/IF, IHC,  IHC-P, Single-Cell Western, WB
NBP2-29463
Species: Pm, Hu, Pm, Mu
Applications: Flow, ICC/IF, IHC,  IHC-P, WB
NBP2-45952
Species: Hu, Mu, Rt
Applications: IHC,  IHC-P, WB
NB100-56340
Species: Hu, Mu, Rt
Applications: IHC, IHC-Fr,  IHC-P, KO, Simple Western, WB
NBP3-48615
Species: Hu, Mu, Rt
Applications: ICC/IF, IHC,  IHC-P, WB
NB100-616
Species: Hu, Mu, Md, Pm, Rt
Applications: ChIP, EM, Flow-IC, Flow, ICC/IF, IP, In vitro, KD, WB
NBP1-91269
Species: Hu, Mu
Applications: ICC/IF (-), IHC (-), WB
H00007001-M01
Species: Hu
Applications: ELISA, ICC/IF, IHC,  IHC-P, KD, WB
2695-SE
Species: Hu
Applications: EnzAct
NBP1-87039
Species: Hu
Applications: ChIP-EXO-SEQ, ICC/IF, IHC,  IHC-P, WB
MAB2676
Species: Hu, Mu, Rt
Applications: ICC, WB
NBP1-87109
Species: Hu, Mu
Applications: ICC/IF, IHC,  IHC-P, KD, WB
NB100-1669
Species: Hu
Applications: ChIP, ICC/IF, IHC,  IHC-P, IP, Simple Western, WB
NB100-55251
Species: Hu, Mu
Applications: IHC,  IHC-P, IP, WB
NBP1-85482
Species: Hu
Applications: ICC/IF, IHC,  IHC-P, WB
NBP2-46085
Species: Hu
Applications: IHC,  IHC-P, WB
H00027065-M01
Species: Hu, Rt
Applications: ELISA, ICC/IF, S-ELISA, WB
MAB3228
Species: Hu, Mu, Rt
Applications: ICC, KO, WB

Publications for Histone H4 Antibody (NB21-2064) (0)

There are no publications for Histone H4 Antibody (NB21-2064).
By submitting your publication information earn gift cards and discounts for future purchases.

Reviews for Histone H4 Antibody (NB21-2064) (0)

There are no reviews for Histone H4 Antibody (NB21-2064). By submitting a review you will receive an Amazon e-Gift Card or Novus Product Discount.
  • Review with no image -- $10/€7/£6/$10 CAD/¥70 Yuan/¥1110 Yen
  • Review with an image -- $25/€18/£15/$25 CAD/¥150 Yuan/¥2500 Yen

Product General Protocols

Find general support by application which include: protocols, troubleshooting, illustrated assays, videos and webinars.

Video Protocols

WB Video Protocol
ChIP Webinar
ChIP Video Protocol
ICC/IF Video Protocol

FAQs for Histone H4 Antibody (NB21-2064) (0)

There are no specific FAQs related to this product. Read our general customer & technical service FAQs.

Secondary Antibodies

 

Isotype Controls

Additional Histone H4 Products

Research Areas for Histone H4 Antibody (NB21-2064)

Find related products by research area.

Blogs on Histone H4.

H4 - Monitoring global chromatin structure through histone modifications
Histones make up the main protein component of chromatin and are responsible for storing and organizing the genome in a compact yet accessible manner. In addition to storage, histones play an important role in the regulation of various cellular pro...  Read full blog post.

Histone H4 Phosphorylation: Affecting Liver Regeneration and Cancer
Histones are highly conserved proteins that function in the organization of nuclear DNA to create chromatin in eukaryotic cells. Post-translational alterations of histones are critical to monitoring and regulating DNA structure, expression, and gene t...  Read full blog post.

Histone H4: Implications in Liver Cancer
Histones are highly conserved proteins that function in the organization of nuclear DNA to create chromatin in eukaryotic cells. Post-translational alterations of histones are critical to monitoring and regulating DNA structure, expression, and gene t...  Read full blog post.

"Come Fly with Me" - New Drosophila Model Developed for Direct in Vivo Study of Histones
Forming the major protein component of chromatin, histones are essential to the structure and organization of chromosomes, forming the nucleosome around which DNA is packaged and wrapped.Antibody studies have revealed histones undergo various posttr...  Read full blog post.

Contact Information

Product PDFs

Calculators

Concentration Calculator

The concentration calculator allows you to quickly calculate the volume, mass or concentration of your vial. Simply enter your mass, volume, or concentration values for your reagent and the calculator will determine the rest.

=
÷

Review this Product

Be the first to review our Histone H4 [ac Lys12] Antibody and receive a gift card or discount.

Bioinformatics

Gene Symbol H4C16
Entrez
Uniprot