Histone H2AX Antibody (CL5157) - Azide and BSA Free

Images

 
Staining of human cerebellum shows strong nuclear immunoreactivity in neuronal and glial cells.
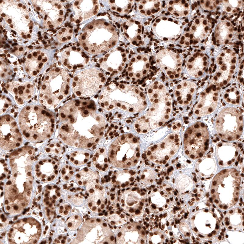
Staining of human kidney shows strong nuclear positivity in renal tubules cells.
Staining of human endometrium shows strong nuclear immunoreactivity in glandular and stromal cells.
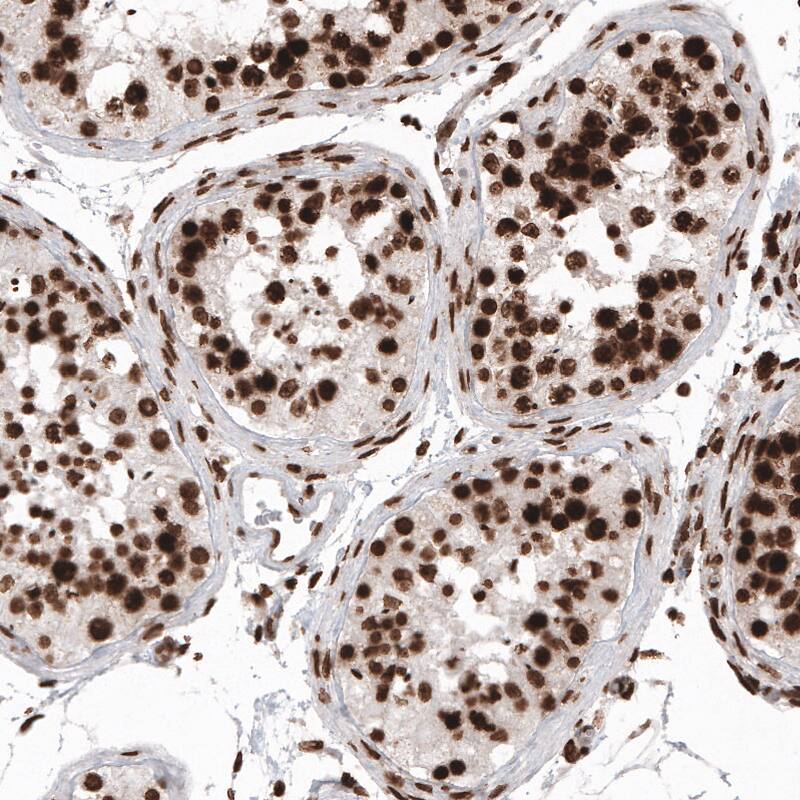
Staining of human testis shows strong nuclear positivity in cells in seminiferous tubules.
Staining of MCF7 cells using the Anti-Histone H2AX monoclonal antibody) .

Product Details

Summary
Reactivity HuSpecies Glossary
Applications ICC/IF, IHC
Clone
CL5157
Clonality
Monoclonal
Host
Mouse
Conjugate
Unconjugated
Format
Azide and BSA Free
Concentration
LYOPH

Order Details

Histone H2AX Antibody (CL5157) - Azide and BSA Free Summary

Description
Novus Biologicals Mouse Histone H2AX Antibody (CL5157) - Azide and BSA Free (NBP3-21157) is a monoclonal antibody validated for use in IHC and ICC/IF. All Novus Biologicals antibodies are covered by our 100% guarantee.
Immunogen
This antibody was generated using a synthetic peptide of P16104, with the exact immunogen sequence remaining proprietary.
Isotype
IgG2a
Clonality
Monoclonal
Host
Mouse
Gene
H2AX
Purity
Protein A purified
Innovator's Reward
Test in a species/application not listed above to receive a full credit towards a future purchase.

Applications/Dilutions

Dilutions
  • Immunocytochemistry/ Immunofluorescence 2-10 ug/ml
  • Immunohistochemistry-Paraffin 1:20000 - 1:50000
Application Notes
Immunocytochemistry/ Immunofluorescence/IF Fixation Permeabilization: Use PFA/Triton X-100. For IHC-Paraffin, HIER pH 6 retrieval is recommended.

Packaging, Storage & Formulations

Storage
Store at 4C short term. Aliquot and store at -20C long term. Avoid freeze-thaw cycles.
Buffer
Lyophilized from a 0.2 um filtered solution in PBS with Trehalose
Preservative
No Preservative
Concentration
LYOPH
Purity
Protein A purified
Reconstitution Instructions
Centrifuge the vial of lyophilized antibody at 12,000 x g for 20 seconds. Reconstitute by adding sterile, distilled water to achieve a final antibody concentration of 1mg/ml.

Alternate Names for Histone H2AX Antibody (CL5157) - Azide and BSA Free

  • H2A.X
  • H2A/X
  • H2AFX
  • Histone H2AX

Limitations

This product is for research use only and is not approved for use in humans or in clinical diagnosis. Primary Antibodies are guaranteed for 1 year from date of receipt.

Customers Who Viewed This Item Also Viewed...

NB100-309
Species: Hu, Pm, Mu, Rt
Applications: ChIP, ELISA, Flow, ICC/IF, IHC,  IHC-P, IP, KD, PAGE, Single-Cell Western, WB
NB200-103
Species: Hu, Mu, Rt, Xp(-), Ye
Applications: CyTOF-ready, ELISA, Flow-IC, Flow, ICC/IF, IHC, IHC-Fr,  IHC-P, IP, WB
NBP2-71688
Species: Ca, Hu, Mu, Rt
Applications: CyTOF-ready, Flow, ICC/IF, IHC,  IHC-P, IP, WB
NB100-304
Species: Bt, Bv, Ca, Fi, Gt, Hu, Mu, Pm, Rt
Applications: ChIP, ChIP, Flow-IC, Flow, IB, ICC/IF, IHC, IHC-Fr,  IHC-P, IP, ISH, KD, KO, WB
NB100-464
Species: Hu, Mu
Applications: IHC,  IHC-P, IP, WB
NB100-308
Species: Hu, Mu
Applications: Func, ICC/IF, IP, In vitro, KO, WB
NBP2-29463
Species: Pm, Hu, Pm, Mu
Applications: Flow, ICC/IF, IHC,  IHC-P, WB
NBP2-03417
Species: Hu, Mu, Rt
Applications: Flow, IHC,  IHC-P, WB
NB100-56585
Species: Hu
Applications: ICC/IF, IHC,  IHC-P, WB
NB100-143
Species: Ha, Hu, Ma, Mu, Pm
Applications: ChIP, ChIP, ELISA, Flow, IB, ICC/IF, IHC,  IHC-P, IP, ISH, KD, KO, PAGE, WB
NBP2-27335
Species: Hu, Mu, Rt(-)
Applications: CyTOF-ready, Flow, ICC/IF, WB
NB100-395
Species: Hu, Mu
Applications: ICC/IF, IP, WB
AF2396
Species: Hu
Applications: IHC, Simple Western, WB
NB100-598
Species: Hu
Applications: CyTOF-ready, Flow, ICC/IF, IP, WB
NBP2-22128
Species: Hu
Applications: ELISA, ICC/IF, IHC,  IHC-P, WB
NBP2-46085
Species: Hu
Applications: IHC,  IHC-P, WB
H00027065-M01
Species: Hu, Rt
Applications: ELISA, ICC/IF, S-ELISA, WB

Publications for Histone H2AX Antibody (NBP3-44279) (0)

There are no publications for Histone H2AX Antibody (NBP3-44279).
By submitting your publication information earn gift cards and discounts for future purchases.

Reviews for Histone H2AX Antibody (NBP3-44279) (0)

There are no reviews for Histone H2AX Antibody (NBP3-44279). By submitting a review you will receive an Amazon e-Gift Card or Novus Product Discount.
  • Review with no image -- $10/€7/£6/$10 CAD/¥70 Yuan/¥1110 Yen
  • Review with an image -- $25/€18/£15/$25 CAD/¥150 Yuan/¥2500 Yen

Product General Protocols

Find general support by application which include: protocols, troubleshooting, illustrated assays, videos and webinars.

Video Protocols

ICC/IF Video Protocol

FAQs for Histone H2AX Antibody (NBP3-44279) (0)

There are no specific FAQs related to this product. Read our general customer & technical service FAQs.

Customers Who Bought This Also Bought

Contact Information

Product PDFs

Calculators

Concentration Calculator

The concentration calculator allows you to quickly calculate the volume, mass or concentration of your vial. Simply enter your mass, volume, or concentration values for your reagent and the calculator will determine the rest.

=
÷

Review this Product

Be the first to review our Histone H2AX Antibody (CL5157) - Azide and BSA Free and receive a gift card or discount.

Bioinformatics

Gene Symbol H2AX