HDAC9 Antibody (JU30-44)

Images

 
Western Blot: HDAC9 Antibody (JU30-44) [NBP2-75519] - Western blot analysis of HDAC9 on K562 cell lysates. Proteins were transferred to a PVDF membrane and blocked with 5% BSA in PBS for 1 hour at room temperature. The ...read more
Immunocytochemistry/ Immunofluorescence: HDAC9 Antibody (JU30-44) [NBP2-75519] - Staining HDAC9 in SH-SY5Y cells (green). The nuclear counter stain is DAPI (blue). Cells were fixed in paraformaldehyde, permeabilised ...read more
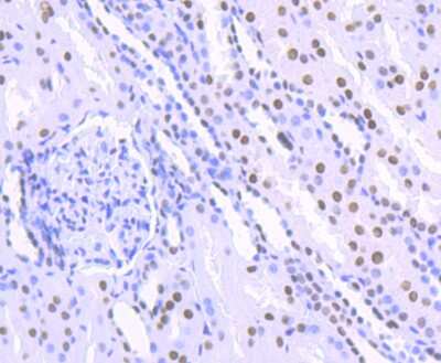
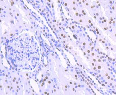
Immunohistochemistry-Paraffin: HDAC9 Antibody (JU30-44) [NBP2-75519] - Analysis of paraffin-embedded human kidney tissue using anti-HDAC9 antibody. Counter stained with hematoxylin.
Western Blot: HDAC9 Antibody (JU30-44) [NBP2-75519] - Analysis of HDAC9 on different lysates using anti-HDAC9 antibody at 1/1,000 dilution.Positive control:Lane 1: K562 Lane 2: HepG2 Lane 3: Raji
Immunocytochemistry/ Immunofluorescence: HDAC9 Antibody (JU30-44) [NBP2-75519] - Staining HDAC9 in A431 cells (green). The nuclear counter stain is DAPI (blue). Cells were fixed in paraformaldehyde, permeabilised with ...read more
Immunocytochemistry/ Immunofluorescence: HDAC9 Antibody (JU30-44) [NBP2-75519] - Staining HDAC9 in PC-3M cells (green). The nuclear counter stain is DAPI (blue). Cells were fixed in paraformaldehyde, permeabilised with ...read more
Immunohistochemistry-Paraffin: HDAC9 Antibody (JU30-44) [NBP2-75519] - Analysis of paraffin-embedded human tonsil tissue using anti-HDAC9 antibody. Counter stained with hematoxylin.
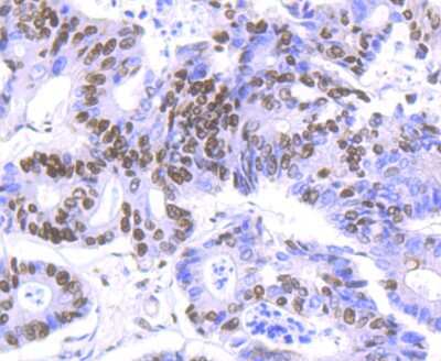
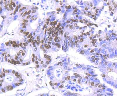
Immunohistochemistry-Paraffin: HDAC9 Antibody (JU30-44) [NBP2-75519] - Analysis of paraffin-embedded human colon cancer tissue using anti-HDAC9 antibody. Counter stained with hematoxylin.

Product Details

Summary
Product Discontinued
View other related HDAC9 Primary Antibodies

Order Details


    • Catalog Number
      NBP2-75519
    • Availability
      Product Discontinued

    Can't find what you are looking for? Use our Antibody Concierge Service & we will help you locate your antibody!

    Or feel free to contact us for alternative products.

HDAC9 Antibody (JU30-44) Summary

Additional Information
Recombinant Monoclonal Antibody.
Immunogen
Synthetic peptide within Human HDAC9 aa 1-50 / 1,011. (SwissProt: Q9UKV0 Human)
Localization
Nucleus.
Isotype
IgG
Clonality
Monoclonal
Host
Rabbit
Gene
HDAC9
Purity
Protein A purified
Innovator's Reward
Test in a species/application not listed above to receive a full credit towards a future purchase.

Applications/Dilutions

Dilutions
  • Immunocytochemistry/ Immunofluorescence 1:50-1:200
  • Immunohistochemistry
  • Immunohistochemistry-Paraffin 1:50-1:200
  • Immunoprecipitation
  • Western Blot 1:500-1:2000
Theoretical MW
111 kDa.
Disclaimer note: The observed molecular weight of the protein may vary from the listed predicted molecular weight due to post translational modifications, post translation cleavages, relative charges, and other experimental factors.

Packaging, Storage & Formulations

Storage
Store at 4C short term. Aliquot and store at -20C long term. Avoid freeze-thaw cycles.
Buffer
TBS (pH7.4), 0.05% BSA, 40% Glycerol
Preservative
0.05% Sodium Azide
Concentration
1 mg/ml
Purity
Protein A purified

Alternate Names for HDAC9 Antibody (JU30-44)

  • EC 3.5.1.98
  • HD7b
  • HD7HDAC
  • HD9
  • HDAC7
  • HDAC7B
  • HDAC7BDKFZp779K1053
  • HDAC9
  • HDRP
  • histone deacetylase 4/5-related protein
  • Histone deacetylase 7B
  • histone deacetylase 9
  • Histone deacetylase-related protein
  • KIAA0744
  • KIAA0744HDAC9B
  • MEF-2 interacting transcription repressor (MITR) protein
  • MEF2-interacting transcription repressor MITR
  • MITR
  • MITRHDAC9FL

Background

In the intact cell, DNA closely associates with histones and other nuclear proteins to form chromatin. The remodeling of chromatin is believed to be a critical component of transcriptional regulation and a major source of this remodeling is brought about by the acetylation of nucleosomal histones. Acetylation of lysine residues in the amino terminal tail domain of histone results in an allosteric change in the nucleosomal conformation and an increased accessibility to transcription factors by DNA. Conversely, the deacetylation of histones is associated with transcriptional silencing. Several mammalian proteins have been identified as nuclear histone acetylases, including GCN5, PCAF (p300/CBP-associated factor), p300/CBP, HAT1 and the TFIID subunit TAF II p250. Mammalian HDAC8, isolated from human kidney, is a histone deacetylase that shares homology to other HDACs but has different tissue distribution. HDAC8 is localized to the nucleus and plays a role in the development of a broad range of tissues and in the etiology of cancer.

Limitations

This product is for research use only and is not approved for use in humans or in clinical diagnosis. Primary Antibodies are guaranteed for 1 year from date of receipt.

Customers Who Viewed This Item Also Viewed...

NB100-56340
Species: Hu, Mu, Rt
Applications: IHC, IHC-Fr,  IHC-P, KO, Simple Western, WB
NBP2-29463
Species: Pm, Hu, Pm, Mu
Applications: Flow, ICC/IF, IHC,  IHC-P, WB
NBP1-87109
Species: Hu, Mu
Applications: ICC/IF, IHC,  IHC-P, KD, WB
H00007001-M01
Species: Hu
Applications: ELISA, ICC/IF, IHC,  IHC-P, KD, WB
NB100-1669
Species: Hu
Applications: ChIP, ICC/IF, IHC,  IHC-P, IP, Simple Western, WB
NBP2-07996
Species: Hu
Applications: WB
NBP2-52486
Species: Hu
Applications: CyTOF-ready, ELISA, Flow, ICC/IF, IHC,  IHC-P, WB
NB500-171
Species: Hu, I, Mu, Rt, Xp, Ye
Applications: ChIP, IB, ICC/IF, IHC,  IHC-P, Single-Cell Western, WB
NBP2-46085
Species: Hu
Applications: IHC,  IHC-P, WB
H00027065-M01
Species: Hu, Rt
Applications: ELISA, ICC/IF, S-ELISA, WB
NBP2-22151
Species: Hu, Mu, Pm, Rt
Applications: ICC/IF, IHC,  IHC-P, Simple Western, WB
NLS3775
Species: Hu, Pm
Applications: ICC/IF, IHC,  IHC-P
NBP1-85351
Species: Hu, Mu, Rt
Applications: ICC/IF, IHC,  IHC-P, WB
NB200-103
Species: Hu, Mu, Rt, Xp(-), Ye
Applications: CyTOF-ready, ELISA, Flow-IC, Flow, ICC/IF, IHC, IHC-Fr,  IHC-P, IP, WB
2695-SE
Species: Hu
Applications: EnzAct
NBP2-22152
Species: Hu, Mu, Pm, Rt
Applications: ChIP, ChIP, ICC/IF, IHC,  IHC-P, WB
NB100-56343
Species: Hu, Mu
Applications: ChIP, ChIP, ICC/IF, IP, Simple Western, WB
NB100-616
Species: Hu, Mu, Md, Pm, Rt
Applications: ChIP, EM, Flow-IC, Flow, ICC/IF, IP, In vitro, KD, WB
NBP3-03473
Species: Hu, Mu, Rt
Applications: ICC/IF, IHC,  IHC-P, KO, WB

Publications for HDAC9 Antibody (NBP2-75519) (0)

There are no publications for HDAC9 Antibody (NBP2-75519).
By submitting your publication information earn gift cards and discounts for future purchases.

Reviews for HDAC9 Antibody (NBP2-75519) (0)

There are no reviews for HDAC9 Antibody (NBP2-75519). By submitting a review you will receive an Amazon e-Gift Card or Novus Product Discount.
  • Review with no image -- $10/€7/£6/$10 CAD/¥70 Yuan/¥1110 Yen
  • Review with an image -- $25/€18/£15/$25 CAD/¥150 Yuan/¥2500 Yen

Product General Protocols

Find general support by application which include: protocols, troubleshooting, illustrated assays, videos and webinars.

Video Protocols

WB Video Protocol
ICC/IF Video Protocol

FAQs for HDAC9 Antibody (NBP2-75519) (0)

There are no specific FAQs related to this product. Read our general customer & technical service FAQs.

Secondary Antibodies

 

Isotype Controls

Additional HDAC9 Products

Research Areas for HDAC9 Antibody (NBP2-75519)

Find related products by research area.

Blogs on HDAC9

There are no specific blogs for HDAC9, but you can read our latest blog posts.

Contact Information

Product PDFs

Calculators

Concentration Calculator

The concentration calculator allows you to quickly calculate the volume, mass or concentration of your vial. Simply enter your mass, volume, or concentration values for your reagent and the calculator will determine the rest.

=
÷

Review this Product

Be the first to review our HDAC9 Antibody (JU30-44) and receive a gift card or discount.

Bioinformatics

Gene Symbol HDAC9