HDAC1 Antibody (SY12-04)

Images

 
Western Blot: HDAC1 Antibody (SY12-04) [NBP2-67389] - Analysis of HDAC1 on different lysates with Rabbit anti-HDAC1 antibody at 1/1,000 dilution. Lane 1: MCF-7 cell lysate Lane 2: Jurkat cell lysate Lysates/proteins at ...read more
Immunocytochemistry/ Immunofluorescence: HDAC1 Antibody (SY12-04) [NBP2-67389] - Analysis of SiHa cells labeling HDAC1 with Rabbit anti-HDAC1 antibody permeabilized with 0.05% Triton X-100 in PBS for 20 minutes, and ...read more
Immunohistochemistry-Paraffin: HDAC1 Antibody (SY12-04) [NBP2-67389] - Analysis of paraffin-embedded human colon tissue using anti-HDAC1 antibody. The section was pre-treated using heat mediated antigen retrieval with ...read more
Western Blot: HDAC1 Antibody (SY12-04) [NBP2-67389] - Analysis of HDAC1 on different lysates. Proteins were transferred to a PVDF membrane and blocked with 5% BSA in PBS for 1 hour at room temperature. The primary ...read more
Immunohistochemistry-Paraffin: HDAC1 Antibody (SY12-04) [NBP2-67389] - Analysis of paraffin-embedded mouse pancreas tissue using anti-HDAC1 antibody. The section was pre-treated using heat mediated antigen retrieval ...read more
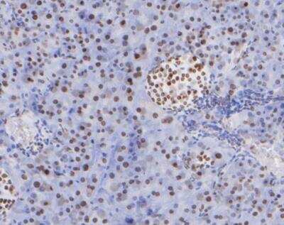
Immunohistochemistry-Paraffin: HDAC1 Antibody (SY12-04) [NBP2-67389] - Analysis of paraffin-embedded human pancreas tissue using anti-HDAC1 antibody. The section was pre-treated using heat mediated antigen retrieval ...read more
Immunohistochemistry-Paraffin: HDAC1 Antibody (SY12-04) [NBP2-67389] - Analysis of paraffin-embedded mouse colon tissue using anti-HDAC1 antibody. The section was pre-treated using heat mediated antigen retrieval with ...read more

Product Details

Summary
Product Discontinued
View other related HDAC1 Primary Antibodies

Order Details


    • Catalog Number
      NBP2-67389
    • Availability
      Product Discontinued

    Can't find what you are looking for? Use our Antibody Concierge Service & we will help you locate your antibody!

    Or feel free to contact us for alternative products.

HDAC1 Antibody (SY12-04) Summary

Additional Information
Recombinant Monoclonal Antibody.
Immunogen
Synthetic peptide within human HDAC1 aa 420-460. (SwissProt: Q13547 Human; SwissProt: O09106 Mouse; SwissProt: Q4QQW4 Rat)
Localization
Nucleus.
Isotype
IgG
Clonality
Monoclonal
Host
Rabbit
Gene
HDAC1
Purity
Protein A purified
Innovator's Reward
Test in a species/application not listed above to receive a full credit towards a future purchase.

Applications/Dilutions

Dilutions
  • Immunocytochemistry/ Immunofluorescence
  • Immunohistochemistry
  • Immunohistochemistry-Paraffin 1:50-1:200
  • Western Blot 1:500-1:2000

Packaging, Storage & Formulations

Storage
Store at 4C short term. Aliquot and store at -20C long term. Avoid freeze-thaw cycles.
Buffer
TBS (pH7.4), 0.05% BSA, 40% Glycerol
Preservative
0.05% Sodium Azide
Concentration
1 mg/ml
Purity
Protein A purified

Alternate Names for HDAC1 Antibody (SY12-04)

  • EC 3.5.1.98
  • GON-10
  • HD1
  • HD1DKFZp686H12203
  • Histone Deacetylase 1
  • KDAC1
  • reduced potassium dependency, yeast homolog-like 1
  • RPD3L1
  • RPD3L1RPD3

Background

Histone acetylation and deacetylation, catalyzed by multisubunit complexes, play a key role in the regulation of eukaryotic gene expression. The protein encoded by this gene belongs to the histone deacetylase/acuc/apha family and is a component of the histone deacetylase complex. It also interacts with retinoblastoma tumor-suppressor protein and this complex is a key element in the control of cell proliferation and differentiation. Together with metastasis-associated protein-2, it deacetylates p53 and modulates its effect on cell growth and apoptosis.

Limitations

This product is for research use only and is not approved for use in humans or in clinical diagnosis. Primary Antibodies are guaranteed for 1 year from date of receipt.

Customers Who Viewed This Item Also Viewed...

NBP2-03993
Species: Bv, Ca, Hu, Mu, Pm
Applications: WB
NBP1-87109
Species: Hu, Mu
Applications: ICC/IF, IHC,  IHC-P, KD, WB
NBP2-29463
Species: Pm, Hu, Pm, Mu
Applications: Flow, ICC/IF, IHC,  IHC-P, WB
NB100-1669
Species: Hu
Applications: ChIP, ICC/IF, IHC,  IHC-P, IP, Simple Western, WB
NB500-171
Species: Hu, I, Mu, Rt, Xp, Ye
Applications: ChIP, IB, ICC/IF, IHC,  IHC-P, Single-Cell Western, WB
NBP2-07996
Species: Hu
Applications: WB
NBP2-52486
Species: Hu
Applications: CyTOF-ready, ELISA, Flow, ICC/IF, IHC,  IHC-P, WB
NB100-616
Species: Hu, Mu, Md, Pm, Rt
Applications: ChIP, EM, Flow-IC, Flow, ICC/IF, IP, In vitro, KD, WB
NB100-56519
Species: Bv, Hu, Mu, Po, Rt, Sh
Applications: ChIP, CyTOF-ready, Flow-IC, Flow, ICC/IF, IHC-FrFl, IHC, IHC-Fr,  IHC-P, IP, KD, Simple Western, WB
NB200-103
Species: Hu, Mu, Rt, Xp(-), Ye
Applications: CyTOF-ready, ELISA, Flow-IC, Flow, ICC/IF, IHC, IHC-Fr,  IHC-P, IP, WB
H00007001-M01
Species: Hu
Applications: ELISA, ICC/IF, IHC,  IHC-P, KD, WB
MAB2676
Species: Hu, Mu, Rt
Applications: ICC, WB
NBP2-46085
Species: Hu
Applications: IHC,  IHC-P, WB
H00027065-M01
Species: Hu, Rt
Applications: ELISA, ICC/IF, S-ELISA, WB
NB600-232
Species: Hu, Mu
Applications: ChIP, IHC,  IHC-P, IP, WB
DPSG10
Species: Hu
Applications: ELISA
3047-CC
Species: Hu
Applications: BA
NBP1-28863
Species: Hu
Applications: ELISA, ICC/IF, IHC,  IHC-P, WB
NBP1-85351
Species: Hu, Mu, Rt
Applications: ICC/IF, IHC,  IHC-P, WB
NLS3775
Species: Hu, Pm
Applications: ICC/IF, IHC,  IHC-P

Publications for HDAC1 Antibody (NBP2-67389) (0)

There are no publications for HDAC1 Antibody (NBP2-67389).
By submitting your publication information earn gift cards and discounts for future purchases.

Reviews for HDAC1 Antibody (NBP2-67389) (0)

There are no reviews for HDAC1 Antibody (NBP2-67389). By submitting a review you will receive an Amazon e-Gift Card or Novus Product Discount.
  • Review with no image -- $10/€7/£6/$10 CAD/¥70 Yuan/¥1110 Yen
  • Review with an image -- $25/€18/£15/$25 CAD/¥150 Yuan/¥2500 Yen

Product General Protocols

Find general support by application which include: protocols, troubleshooting, illustrated assays, videos and webinars.

Video Protocols

WB Video Protocol
ICC/IF Video Protocol

FAQs for HDAC1 Antibody (NBP2-67389) (0)

There are no specific FAQs related to this product. Read our general customer & technical service FAQs.

Secondary Antibodies

 

Isotype Controls

Additional HDAC1 Products

Research Areas for HDAC1 Antibody (NBP2-67389)

Find related products by research area.

Blogs on HDAC1.

The role of DNMT3B in the co-incidence of methyltransferase and tumor suppressor expression in malignancies
Epigenetics is the process of heritable change in gene activity despite alteration of the hosts DNA sequence, essentially causing a change in a phenotype without a change in the genotype of a host. To change the gene sequence without interfering w...  Read full blog post.

The role of DNMT3A in development
Epigenetics is the study of heritable change in gene activity despite alteration of the hosts DNA sequence.  Change in gene activity done independently of the DNA sequence is achieved by way of histone and DNA methylation.  Gene silencing in DNA ...  Read full blog post.

Contact Information

Product PDFs

Calculators

Concentration Calculator

The concentration calculator allows you to quickly calculate the volume, mass or concentration of your vial. Simply enter your mass, volume, or concentration values for your reagent and the calculator will determine the rest.

=
÷

Review this Product

Be the first to review our HDAC1 Antibody (SY12-04) and receive a gift card or discount.

Bioinformatics

Gene Symbol HDAC1