GRWD1 Antibody

Images

 
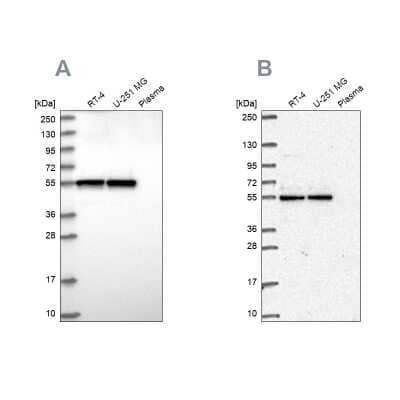
Independent Antibodies: Western Blot: GRWD1 Antibody [NBP1-81790] - Analysis using Anti-GRWD1 antibody NBP1-81790 (A) shows similar pattern to independent antibody NBP2-56888 (B).
Immunocytochemistry/ Immunofluorescence: GRWD1 Antibody [NBP1-81790] - Immunofluorescent staining of human cell line U-2 OS shows localization to nucleus, nucleoli & cytosol.
Immunohistochemistry-Paraffin: GRWD1 Antibody [NBP1-81790] - Staining of human lymph node shows nuclear positivity.

Product Details

Summary
Product Discontinued
View other related GRWD1 Primary Antibodies
Validated by:
 

Independent Antibodies

       

Order Details


    • Catalog Number
      NBP1-81790
    • Availability
      Product Discontinued

    Can't find what you are looking for? Use our Antibody Concierge Service & we will help you locate your antibody!

    Or feel free to contact us for alternative products.

GRWD1 Antibody Summary

Immunogen
This antibody was developed against Recombinant Protein corresponding to amino acids: PVTSVEWHPQDSGVFAASGADHQITQWDLAVERDPEAGDVEADPGLADLPQQLLFVHQGETELKELHWHPQCPGLLVSTALSGFTIFRTISV
Isotype
IgG
Clonality
Polyclonal
Host
Rabbit
Gene
GRWD1
Purity
Immunogen affinity purified
Innovator's Reward
Test in a species/application not listed above to receive a full credit towards a future purchase.

Applications/Dilutions

Dilutions
  • Immunocytochemistry/ Immunofluorescence 0.25-2 ug/ml
  • Immunohistochemistry 1:200 - 1:500
  • Immunohistochemistry-Paraffin 1:200 - 1:500
  • Western Blot 0.04-0.4 ug/ml
Application Notes
For IHC-Paraffin, HIER pH 6 retrieval is recommended. ICC/IF Fixation Permeabilization: Use PFA/Triton X-100.

Reactivity Notes

Immunogen displays the following percentage of sequence identity for non-tested species: Mouse (89%), Rat (89%)

Packaging, Storage & Formulations

Storage
Store at 4C short term. Aliquot and store at -20C long term. Avoid freeze-thaw cycles.
Buffer
PBS (pH 7.2) and 40% Glycerol
Preservative
0.02% Sodium Azide
Purity
Immunogen affinity purified

Alternate Names for GRWD1 Antibody

  • CDW4
  • CUL4- and DDB1-associated WDR protein 4
  • glutamate-rich WD repeat containing 1
  • GRWDglutamate rich WD repeat protein GRWD
  • KIAA1942regulator of ribosome biogenesis 1 homolog
  • RRB1
  • WD repeat domain 28
  • WDR28glutamate-rich WD repeat-containing protein 1

Background

GRWD1 is a component of the 50S and 80S preribosomal complexes and plays a role in ribosome biogenesis (Gratenstein et al., 2005 [PubMed 15885502]).[supplied by OMIM]

Limitations

This product is for research use only and is not approved for use in humans or in clinical diagnosis. Primary Antibodies are guaranteed for 1 year from date of receipt.

Customers Who Viewed This Item Also Viewed...

MAB6495
Species: Hu
Applications: ICC, Simple Western, WB
NBP2-20214
Species: Hu, Mu
Applications: ICC/IF, IHC,  IHC-P, WB
NBP3-38152
Species: Hu, Mu, Rt
Applications: ELISA, IHC,  IHC-P, WB
NBP1-21389
Species: Hu, Mu
Applications: IHC,  IHC-P, IP, WB
NBP2-93574
Species: Hu, Mu, Rt
Applications: ICC/IF, IHC,  IHC-P, WB
AF4885
Species: Mu
Applications: IP, WB
NB110-61646
Species: Hu, Mu
Applications: ICC/IF, IHC,  IHC-P, IP, WB
NBP2-15840
Species: Hu, Mu, Rt
Applications: ICC/IF, IHC,  IHC-P, WB
NBP2-36776
Species: Hu
Applications: ICC/IF, IHC,  IHC-P, KD, WB
NB600-279
Species: Hu
Applications: IHC,  IHC-P, IP, WB
255-SC
Species: Hu
Applications: BA
NBP2-67899
Species: Hu, Mu, Rt
Applications: Flow, ICC/IF, IHC,  IHC-P, IP, WB
NB100-55310
Species: Hu, Mu
Applications: IP, WB
NBP1-31308
Species: Bv, Hu, Mu, Rt
Applications: ICC/IF, IHC,  IHC-P, Simple Western, WB
NBP2-49142
Species: Hu
Applications: IHC,  IHC-P, KD, WB
NB100-91662
Species: Hu, Mu, Rt
Applications: Flow, ICC/IF, IHC,  IHC-P, Simple Western, WB
NB100-2567
Species: Hu
Applications: IHC,  IHC-P, IP, WB
AF748
Species: Hu, Mu
Applications: CyTOF-ready, Dual ISH-IHC, Flow, ICC, IHC, Simple Western, WB

Publications for GRWD1 Antibody (NBP1-81790) (0)

There are no publications for GRWD1 Antibody (NBP1-81790).
By submitting your publication information earn gift cards and discounts for future purchases.

Reviews for GRWD1 Antibody (NBP1-81790) (0)

There are no reviews for GRWD1 Antibody (NBP1-81790). By submitting a review you will receive an Amazon e-Gift Card or Novus Product Discount.
  • Review with no image -- $10/€7/£6/$10 CAD/¥70 Yuan/¥1110 Yen
  • Review with an image -- $25/€18/£15/$25 CAD/¥150 Yuan/¥2500 Yen

Product General Protocols

Find general support by application which include: protocols, troubleshooting, illustrated assays, videos and webinars.

Video Protocols

WB Video Protocol
ICC/IF Video Protocol

FAQs for GRWD1 Antibody (NBP1-81790) (0)

There are no specific FAQs related to this product. Read our general customer & technical service FAQs.

Contact Information

Product PDFs

Calculators

Concentration Calculator

The concentration calculator allows you to quickly calculate the volume, mass or concentration of your vial. Simply enter your mass, volume, or concentration values for your reagent and the calculator will determine the rest.

=
÷

Review this Product

Be the first to review our GRWD1 Antibody and receive a gift card or discount.

Bioinformatics

Gene Symbol GRWD1