GPR15 Antibody

Images

 
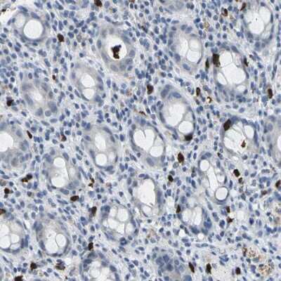
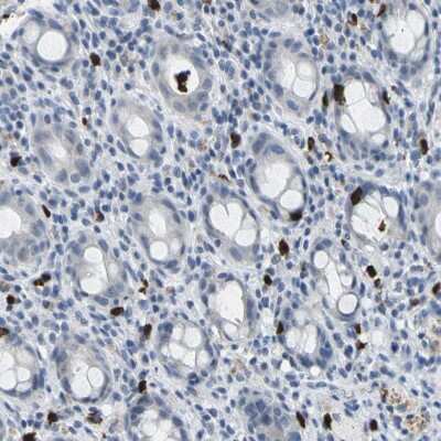
Immunohistochemistry-Paraffin: GPR15 Antibody [NBP1-87574] - Staining of human rectum shows positivity in immune cells.

Product Details

Summary
Product Discontinued
View other related GPR15 Primary Antibodies

Order Details


    • Catalog Number
      NBP1-87574
    • Availability
      Product Discontinued

    Can't find what you are looking for? Use our Antibody Concierge Service & we will help you locate your antibody!

    Or feel free to contact us for alternative products.

GPR15 Antibody Summary

Immunogen
This antibody was developed against Recombinant Protein corresponding to amino acids: MDPEETSVYLDYYYATSPNSDIRETHSHVPYTSVF
Isotype
IgG
Clonality
Polyclonal
Host
Rabbit
Gene
GPR15
Purity
Immunogen affinity purified
Innovator's Reward
Test in a species/application not listed above to receive a full credit towards a future purchase.

Applications/Dilutions

Dilutions
  • Immunohistochemistry 1:50 - 1:200
  • Immunohistochemistry-Paraffin 1:50 - 1:200
Application Notes
For IHC-Paraffin, HIER pH 6 retrieval is recommended.

Packaging, Storage & Formulations

Storage
Store at 4C short term. Aliquot and store at -20C long term. Avoid freeze-thaw cycles.
Buffer
PBS (pH 7.2) and 40% Glycerol
Preservative
0.02% Sodium Azide
Purity
Immunogen affinity purified

Alternate Names for GPR15 Antibody

  • Bob
  • Brother of Bonzo
  • G protein-coupled receptor 15
  • GPR15
  • G-protein coupled receptor 15
  • MGC126828
  • MGC126830

Background

G protein-coupled receptor GPR15 is an Orphan-A GPCR with an unknown ligand. Coreceptor usage of primary human immunodeficiency virus type 1 (HIV-1) isolates varies according to biological phenotype. The chemokine receptors CCR5 and CXCR4 are the major coreceptors that, together with CD4, govern HIV-1 entry into cells. Some HIV-1, HIV-2, and SIV isolates of different genetic subtypes and biological phenotypes use BOB/GPR15 for productive infection, suggesting that this cofactor may play a role in HIV-1 pathogenesis and transmission. GPR15 expression has been reported in CD4(+) T lymphocytes, alveolar macrophages, and the basal surface of the small intestinal epithelium. ESTs have been isolated from normal brain and kidney cancer libraries.

Limitations

This product is for research use only and is not approved for use in humans or in clinical diagnosis. Primary Antibodies are guaranteed for 1 year from date of receipt.

Customers Who Viewed This Item Also Viewed...

MAB699
Species: Hu
Applications: CyTOF-reported, Flow
MAB182
Species: Hu
Applications: CyTOF-ready, Flow, ICC, Neut
MAB172
Species: Hu
Applications: CyTOF-ready, Flow, IHC, Neut
MAB155
Species: Hu
Applications: CyTOF-ready, Flow, IHC, Neut
NBP1-19371
Species: Ca, Hu, Mu, Po, Rb, Rt
Applications: Dual ISH-IHC, Flow, ICC/IF, IHC, IHC-Fr,  IHC-P, Simple Western, WB
MAB1429
Species: Hu
Applications: CyTOF-ready, Flow, Neut
MAB145
Species: Hu
Applications: CyTOF-ready, Flow
NBP3-12283
Species: Hu, Mu, Rt
Applications: ELISA, IHC,  IHC-P, IP, WB
NLS74
Species: Hu
Applications: ICC/IF, IHC,  IHC-P, WB
DRN00B
Species: Hu
Applications: ELISA
MAB150
Species: Hu
Applications: CyTOF-ready, Flow, IHC
AF5825
Species: Hu, Mu
Applications: CyTOF-ready, Flow, WB
DMD00
Species: Hu
Applications: ELISA
NB100-524
Species: Hu, Mu
Applications: Flow-IC, Flow, ICC/IF, IHC, IHC-Fr,  IHC-P, IP, WB
MAB1567
Species: Hu
Applications: CyTOF-reported, Flow
NBP2-79843
Species: Hu
Applications: CyTOF-ready, ELISA, Flow, ICC/IF, IHC,  IHC-P, PA, WB
H00006910-M01
Species: Fi, Hu, Pm, Mu
Applications: ELISA, ICC/IF, KD, WB
NBP1-79286
Species: Rt
Applications: WB

Publications for GPR15 Antibody (NBP1-87574) (0)

There are no publications for GPR15 Antibody (NBP1-87574).
By submitting your publication information earn gift cards and discounts for future purchases.

Reviews for GPR15 Antibody (NBP1-87574) (0)

There are no reviews for GPR15 Antibody (NBP1-87574). By submitting a review you will receive an Amazon e-Gift Card or Novus Product Discount.
  • Review with no image -- $10/€7/£6/$10 CAD/¥70 Yuan/¥1110 Yen
  • Review with an image -- $25/€18/£15/$25 CAD/¥150 Yuan/¥2500 Yen

Product General Protocols

Find general support by application which include: protocols, troubleshooting, illustrated assays, videos and webinars.

FAQs for GPR15 Antibody (NBP1-87574) (0)

There are no specific FAQs related to this product. Read our general customer & technical service FAQs.

Secondary Antibodies

 

Isotype Controls

Additional GPR15 Products

Array NBP1-87574

Research Areas for GPR15 Antibody (NBP1-87574)

Find related products by research area.

Blogs on GPR15

There are no specific blogs for GPR15, but you can read our latest blog posts.

Contact Information

Product PDFs

Calculators

Concentration Calculator

The concentration calculator allows you to quickly calculate the volume, mass or concentration of your vial. Simply enter your mass, volume, or concentration values for your reagent and the calculator will determine the rest.

=
÷

Review this Product

Be the first to review our GPR15 Antibody and receive a gift card or discount.

Bioinformatics

Gene Symbol GPR15