GPI7 Antibody - BSA Free

Images

 
Staining of human cerebral cortex shows moderate cytoplasmic positivity in neurons.
Staining of human duodenum shows strong cytoplasmic positivity in glandular cells and goblet cells.
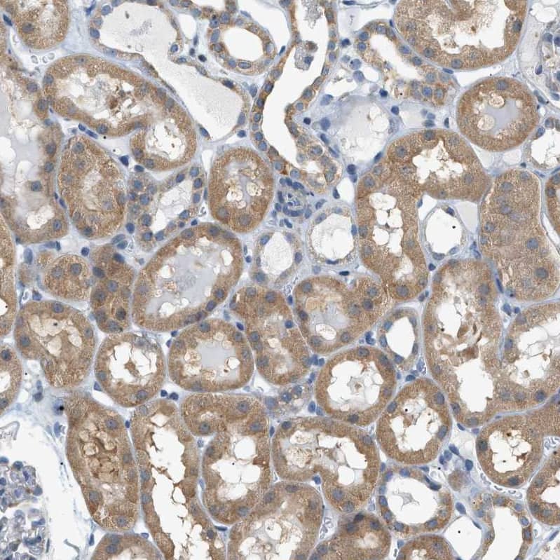
Staining of human kidney shows moderate cytoplasmic positivity in cells in tubules.
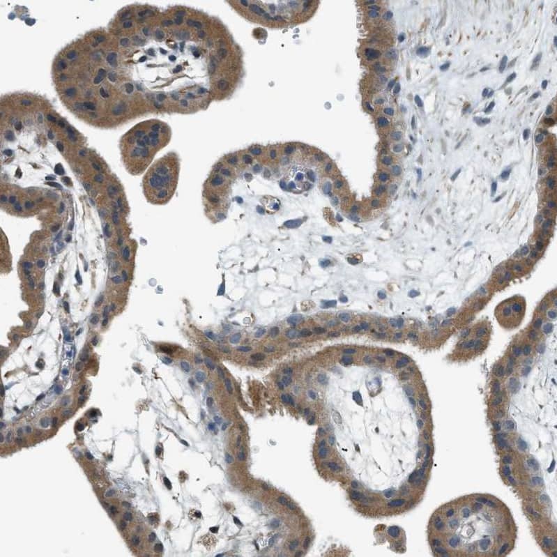
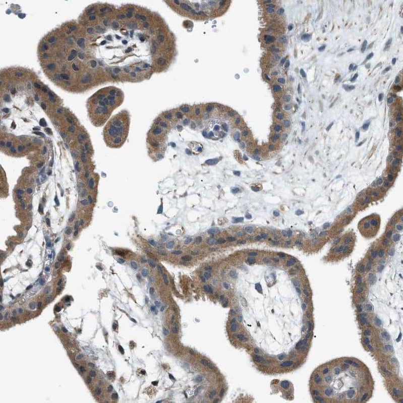
Staining of human placenta shows moderate cytoplasmic positivity in trophoblastic cells.

Product Details

Summary
Reactivity Hu, Mu, RtSpecies Glossary
Applications IHC
Clonality
Polyclonal
Host
Rabbit
Conjugate
Unconjugated
Format
BSA Free

Order Details

View Available Formulations
Catalog# & Formulation Size Price

GPI7 Antibody - BSA Free Summary

Description
Novus Biologicals Rabbit GPI7 Antibody - BSA Free (NBP1-89853) is a polyclonal antibody validated for use in IHC. Anti-GPI7 Antibody: Cited in 1 publication. All Novus Biologicals antibodies are covered by our 100% guarantee.
Immunogen
This antibody was developed against Recombinant Protein corresponding to amino acids: VEYDGTTSFFVSDYTEVDNNVTRHLDKVLKRGDWDILILHYLGLDHIGHISGPNSPLIGQKLSEMDSVLMKIHTSLQSKERETPLPNLLVLCGDHGMSETGSHGASSTEEVNTPLILISSAFERKPGDIRHPKHVQQTDVA
Predicted Species
Mouse (92%), Rat (91%). Backed by our 100% Guarantee.
Isotype
IgG
Clonality
Polyclonal
Host
Rabbit
Gene
PIGG
Purity
Immunogen affinity purified
Innovator's Reward
Test in a species/application not listed above to receive a full credit towards a future purchase.

Applications/Dilutions

Dilutions
  • Immunohistochemistry 1:200 - 1:500
  • Immunohistochemistry-Paraffin 1:200 - 1:500
Application Notes
For IHC-Paraffin, HIER pH 6 retrieval is recommended.
Control Peptide
GPI7 Protein (NBP1-89853PEP)
Publications
Read Publication using NBP1-89853.

Reactivity Notes

Reactivity reported in scientific literature (PMID: 23435261)

Packaging, Storage & Formulations

Storage
Store at 4C short term. Aliquot and store at -20C long term. Avoid freeze-thaw cycles.
Buffer
PBS (pH 7.2) and 40% Glycerol
Preservative
0.02% Sodium Azide
Purity
Immunogen affinity purified

Alternate Names for GPI7 Antibody - BSA Free

  • DKFZp434A1810
  • DKFZp434C1712
  • EC 2.-
  • FLJ20265
  • FLJ39925
  • GPI ethanolamine phosphate transferase 2
  • GPI7 homolog
  • GPI7DKFZp434M1131
  • hGPI7
  • LAS21
  • MGC131903
  • phosphatidylinositol glycan anchor biosynthesis, class G
  • phosphatidylinositol glycan, class G
  • Phosphatidylinositol-glycan biosynthesis class G protein
  • PIG-G
  • PRO4405
  • RLGS1930

Background

Ethanolamine phosphate transferase involved in glycosylphosphatidylinositol-anchor biosynthesis. Transfers ethanolamine phosphate to the GPI second mannose

Limitations

This product is for research use only and is not approved for use in humans or in clinical diagnosis. Primary Antibodies are guaranteed for 1 year from date of receipt.

Customers Who Viewed This Item Also Viewed...

NBP2-24653
Species: Hu, Mu, Rt
Applications: IHC,  IHC-P, WB
NBP2-02541
Species: Hu, Pm, Mu, Pm, Rt
Applications: ICC/IF, IHC,  IHC-P, WB
NBP1-81248
Species: Hu
Applications: ICC/IF, IHC,  IHC-P
AF4309
Species: Hu, Mu
Applications: ICC, IHC, WB
NBP1-84037
Species: Hu, Mu, Rt
Applications: IHC,  IHC-P, WB
AF1640
Species: Hu
Applications: ELISA(Cap), ELISA(Det), ELISA(Sta), IHC, WB
NBP1-28459
Species: Hu
Applications: IHC,  IHC-P, PEP-ELISA, WB
NBP2-13304
Species: Hu
Applications: ICC/IF, IHC,  IHC-P, WB
NBP2-22203
Species: Hu, Pm, Mu, Rt
Applications: ELISA, Flow, ICC/IF, IHC,  IHC-P, WB
NB100-56583
Species: Hu, Rb, Rt
Applications: Flow, IHC,  IHC-P, KO, Simple Western, WB
NB110-85468
Species: Mu
Applications: IHC, IHC-Fr,  IHC-P, WB
H00005662-B01P
Species: Hu, Rt
Applications: ICC/IF, WB
H00010380-M01
Species: Hu
Applications: ELISA, ICC/IF, IHC,  IHC-P, S-ELISA, WB
NBP1-91706
Species: Hu, Mu
Applications: ICC/IF, IHC,  IHC-P, KO, WB
NBP1-83386
Species: Hu
Applications: IHC,  IHC-P, PLA, WB
NBP3-12196
Species: Hu, Mu, Rt
Applications: DB, ELISA, IHC,  IHC-P, IP, WB
NBP2-47415
Species: Hu
Applications: ICC/IF, IHC,  IHC-P, WB
AF1347
Species: Hu, Mu, Rt
Applications: ICC, IHC, Simple Western, WB
NLS1331
Species: Bt, Bv, Ca, Gp, Ha, Hu, Pm, Mu, Po, Pm, Rb, Rt, Sh
Applications: IHC,  IHC-P
AF933
Species: Ha, Hu, Mu, Rt
Applications: Block, Flow, IHC, IP, Simple Western, WB

Publications for GPI7 Antibody (NBP1-89853)(1)

Reviews for GPI7 Antibody (NBP1-89853) (0)

There are no reviews for GPI7 Antibody (NBP1-89853). By submitting a review you will receive an Amazon e-Gift Card or Novus Product Discount.
  • Review with no image -- $10/€7/£6/$10 CAD/¥70 Yuan/¥1110 Yen
  • Review with an image -- $25/€18/£15/$25 CAD/¥150 Yuan/¥2500 Yen

Product General Protocols

Find general support by application which include: protocols, troubleshooting, illustrated assays, videos and webinars.

FAQs for GPI7 Antibody (NBP1-89853) (0)

There are no specific FAQs related to this product. Read our general customer & technical service FAQs.

Customers Who Bought This Also Bought

Contact Information

Product PDFs

Calculators

Concentration Calculator

The concentration calculator allows you to quickly calculate the volume, mass or concentration of your vial. Simply enter your mass, volume, or concentration values for your reagent and the calculator will determine the rest.

=
÷

Review this Product

Be the first to review our GPI7 Antibody - BSA Free and receive a gift card or discount.

Bioinformatics

Gene Symbol PIGG