GLP1 Antibody (5B10) - BSA Free

Images

 
Immunocytochemistry/ Immunofluorescence: Glucagon Antibody (5B10) - BSA Free [NBP1-05189] - Staining in human liver tissue. Signal is strong in the cytoplasmic site of hepatocytes. Dilution: 1:4000.
Immunohistochemistry-Paraffin: Glucagon Antibody (5B10) - BSA Free [NBP1-05189] - Staining of Human liver tissue. Hepatocytes were stained strongly. Dilution: 1:3200
Immunocytochemistry/ Immunofluorescence: Glucagon Antibody (5B10) - BSA Free [NBP1-05189] - Staining in human pancreas tissue. Signal is strong in alpha cells. Dilution: 1:4000.
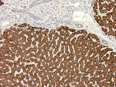
Immunohistochemistry-Paraffin: Glucagon Antibody (5B10) - BSA Free [NBP1-05189] - Staining of human pancreas tissue. Alpha cells of the Langerhans islet and scattered cells in exocrine area of pancreas were stained ...read more

Product Details

Summary
Product Discontinued
View other related GLP1 Primary Antibodies

Order Details


    • Catalog Number
      NBP1-05189
    • Availability
      Product Discontinued

    Can't find what you are looking for? Use our Antibody Concierge Service & we will help you locate your antibody!

    Or feel free to contact us for alternative products.

GLP1 Antibody (5B10) - BSA Free Summary

Immunogen
Synthetic GLP-1(7-36)amide coupled to carrier and adsorbed onto aluminum hydroxide gel.
Epitope
Mid-molecular epitope of GLP-1.
Specificity
Reacts with all forms of GLP-1, including precursor and GLP-1(9-37) /GLP-1(9-36 amide) metabolite.
Isotype
IgG1 Kappa
Clonality
Monoclonal
Host
Mouse
Gene
GCG
Purity
Protein A or G purified
Innovator's Reward
Test in a species/application not listed above to receive a full credit towards a future purchase.

Applications/Dilutions

Dilutions
  • ELISA 1:20000
  • Immunocytochemistry/ Immunofluorescence 1:4000
  • Immunohistochemistry 1:3200
  • Immunohistochemistry-Paraffin 1:3200
  • Western Blot 1:1000

Reactivity Notes

The sequence of GLP-1 is fully conserved in all mammalian species examined so far.

Packaging, Storage & Formulations

Storage
Store at 4C. Do not freeze.
Buffer
10mM Phosphate (pH 7.4) and 0.5M NaCl
Preservative
0.05% Sodium Azide
Concentration
1.0 mg/ml
Purity
Protein A or G purified

Alternate Names for GLP1 Antibody (5B10) - BSA Free

  • glicentin-related polypeptide
  • GLP1
  • GLP-1
  • glucagon-like peptide 1
  • GRPP

Background

Glucagon-like peptide 1(7-36)amide (GLP-1 (7-36)amide) is the principal active form of GLP-1, the other being GLP-1 (7-37). GLP-1 is a peptide hormone of the glucagon family, produced by the L cells of the intestinal mucosa from the same prohormone as glucagon. The active forms are potent stimulators of glucose-dependent insulin secretion. The sequence of GLP-1 is fully conserved in all mammalian species examined so far.

Limitations

This product is for research use only and is not approved for use in humans or in clinical diagnosis. Primary Antibodies are guaranteed for 1 year from date of receipt.

Customers Who Viewed This Item Also Viewed...

MAB1417
Species: Bv, Hu, Mu
Applications: ICC, IHC
NBP2-37447
Species: Hu
Applications: CyTOF-ready, ELISA, Flow, ICC/IF, IHC,  IHC-P
AF1067
Species: Hu, Mu, Rt
Applications: ELISA, IHC, Neut, WB
NBP1-86422
Species: Hu, Mu
Applications: IHC,  IHC-P
NB100-1793
Species: Hu, Pm, Mu, Rt
Applications: Flow, IB, ICC/IF, IHC, IHC-Fr,  IHC-P, PEP-ELISA
NBP2-46349
Species: Hu
Applications: IHC,  IHC-P, WB
NBP2-62664
Species: Hu
Applications: IHC,  IHC-P
NBP3-12223
Species: Hu, Pm, Rt
Applications: ELISA, ICC/IF, IHC,  IHC-P, IP, WB
NBP2-48988
Species: Hu
Applications: IHC,  IHC-P
NB100-1533
Species: Hu, Mu, Po, Rt, Sh
Applications: Flow, ICC/IF, IHC,  IHC-P, PEP-ELISA, WB
AF1067
Species: Hu, Mu, Rt
Applications: ELISA, IHC, Neut, WB
NBP1-90927
Species: Hu
Applications: IHC,  IHC-P, WB
NBP2-44318
Species: Hu
Applications: IHC,  IHC-P, PEP-ELISA, WB
AF3145
Species: Hu
Applications: WB
291-G1
Species: Hu
Applications: BA
AF1180
Species: Hu
Applications: ICC, IHC, Simple Western, WB
NBP1-97308
Species: Ca, Hu, Mu, Rt
Applications: DB, ICC/IF, IHC,  IHC-P, KD, Simple Western, WB
NB120-14817
Species: Hu, Rt
Applications: ICC/IF, IHC, S-ELISA, WB

Publications for GLP1 Antibody (NBP1-05189) (0)

There are no publications for GLP1 Antibody (NBP1-05189).
By submitting your publication information earn gift cards and discounts for future purchases.

Reviews for GLP1 Antibody (NBP1-05189) (0)

There are no reviews for GLP1 Antibody (NBP1-05189). By submitting a review you will receive an Amazon e-Gift Card or Novus Product Discount.
  • Review with no image -- $10/€7/£6/$10 CAD/¥70 Yuan/¥1110 Yen
  • Review with an image -- $25/€18/£15/$25 CAD/¥150 Yuan/¥2500 Yen

Product General Protocols

Find general support by application which include: protocols, troubleshooting, illustrated assays, videos and webinars.

Video Protocols

WB Video Protocol
ICC/IF Video Protocol

FAQs for GLP1 Antibody (NBP1-05189) (0)

There are no specific FAQs related to this product. Read our general customer & technical service FAQs.

Secondary Antibodies

 

Isotype Controls

Additional GLP1 Products

Array NBP1-05189

Research Areas for GLP1 Antibody (NBP1-05189)

Find related products by research area.

Blogs on GLP1

There are no specific blogs for GLP1, but you can read our latest blog posts.

Contact Information

Product PDFs

Calculators

Concentration Calculator

The concentration calculator allows you to quickly calculate the volume, mass or concentration of your vial. Simply enter your mass, volume, or concentration values for your reagent and the calculator will determine the rest.

=
÷

Review this Product

Be the first to review our GLP1 Antibody (5B10) - BSA Free and receive a gift card or discount.

Bioinformatics

Gene Symbol GCG