GLI-3 Antibody

Images

 
Independent Antibodies: Western Blot: GLI-3 Antibody [NBP1-79019] - Whole cell lysate from 293T (15 and 50 mcg for WB; 1 mg for IP, 20% of IP loaded), Jurkat (J; 50 mcg) and HeLa (H; 50 mcg) cells. Affinity ...read more
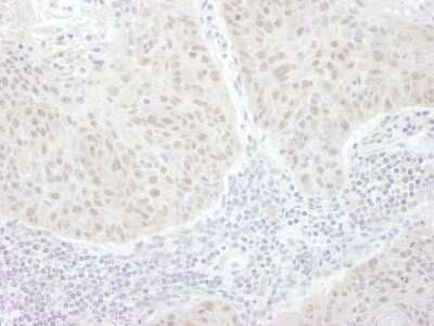
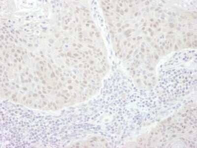
Immunohistochemistry-Paraffin: GLI-3 Antibody [NBP1-79019] - Sample: FFPE section of human lung cancer. Antibody: Affinity purified rabbit anti- GLI3 used at a dilution of 1:1,000 (1ug/ml). Detection: DAB

Product Details

Summary
Product Discontinued
View other related GLI-3 Primary Antibodies

Order Details


    • Catalog Number
      NBP1-79019
    • Availability
      Product Discontinued

    Can't find what you are looking for? Use our Antibody Concierge Service & we will help you locate your antibody!

    Or feel free to contact us for alternative products.

GLI-3 Antibody Summary

Immunogen
The immunogen recognized by this antibody maps to a region between residue 875 and 925 of human GLI Family Zinc Finger 3 using the numbering given in entry NP_000159.3 (GeneID 2737).
Predicted Species
Mouse (100%), Chimpanzee (100%). Backed by our 100% Guarantee.
Isotype
IgG
Clonality
Polyclonal
Host
Rabbit
Gene
GLI3
Purity
Immunogen affinity purified
Innovator's Reward
Test in a species/application not listed above to receive a full credit towards a future purchase.

Applications/Dilutions

Dilutions
  • Immunohistochemistry 1:500-1:2000
  • Immunohistochemistry-Paraffin 1:500 - 1:2000
  • Immunoprecipitation 2-10 ug/mg lysate
  • Western Blot 1:2000-1:10000
Application Notes
Epitope retrieval with citrate buffer pH6.0 is recommended for FFPE tissue sections.
Publications
Read Publications using
NBP1-79019 in the following applications:

Packaging, Storage & Formulations

Storage
Store at 4C. Do not freeze.
Buffer
Tris-Citrate/Phosphate (pH 7.0 - 8.0)
Preservative
0.09% Sodium Azide
Concentration
1.0 mg/ml
Purity
Immunogen affinity purified

Alternate Names for GLI-3 Antibody

  • ACLS
  • ACLSPAPAPHS
  • ADD
  • Bph
  • GCPS
  • GLI family zinc finger 3
  • GLI3 form of 190 kDa
  • GLI3 full length protein
  • GLI3
  • GLI-3
  • GLI3-190
  • GLI3FL
  • GLI-Kruppel family member GLI3
  • glioma-associated oncogene family zinc finger 3
  • Greig cephalopolysyndactyly syndrome
  • oncogene GLI3
  • PAP-A
  • PAPA1
  • PAPB
  • PAPBDNA-binding protein
  • Pdn
  • PHS
  • PPDIV
  • Xt
  • zinc finger protein GLI3

Background

Gli-3 (also known as Zinc Finger Protein Gli-3 or GLI-Kruppel family member GLI-3) belongs to the GLI C2H2-type zinc-finger protein family and contains 5 C2H2-type zinc fingers. Gli-3 is very important for normal limb and brain development and is implicated in the transduction of Shh signal. Gli-3 is a nuclear protein expressed in a wide variety of normal adult tissues, including lung, colon, spleen, placenta, testis, and myometrium. Defects in Gli-3 are the cause of Greig cephalo-polysyndactyly syndrome (GCPS); an autosomal dominant disorder-affecting limb and craniofacial development. Two isoforms of human Gli-3 have been reported. One is the fulllength protein at ~170-190kDa and the other is a truncated isoform at ~80kDa.

Limitations

This product is for research use only and is not approved for use in humans or in clinical diagnosis. Primary Antibodies are guaranteed for 1 year from date of receipt.

Customers Who Viewed This Item Also Viewed...

NB600-600
Species: Ca, Hu, Mu
Applications: ChIP, ELISA, Flow-IC, IB, ICC/IF, IHC,  IHC-P, KD, WB
AF3635
Species: Mu
Applications: IHC, WB
NBP1-47914
Species: Hu, Mu, Rt
Applications: Flow, ICC/IF, IHC,  IHC-P, WB
H00002523-P01
Species: Hu
Applications: ELISA, AP, PA, WB
H00003077-M01
Species: Hu
Applications: ELISA, ICC/IF, WB
MAB41051
Species: Hu, Mu
Applications: WB
AF1705
Species: Mu
Applications: IHC, WB
NLS2666
Species: Bt, Bv, Ca, Eq, Ha, Hu, Pm, Mu, Po, Rb, Rt
Applications: ICC/IF, IHC,  IHC-P
NBP3-04509
Species: Hu, Mu, Rt
Applications: ELISA, IHC,  IHC-P, WB
NBP2-24614
Species: Hu, Mu, Ma-Op, Pm, Rt
Applications: WB
NBP2-24763
Species: Hu, Pm
Applications: IHC,  IHC-P, WB
NBP1-87345
Species: Hu
Applications: ICC/IF, IHC,  IHC-P
NBP1-87343
Species: Hu, Rt
Applications: IHC,  IHC-P, WB
NBP2-48909
Species: Hu, Mu
Applications: ICC/IF, IHC,  IHC-P, KO
NBP3-04411
Species: Hu, Mu, Rt
Applications: IHC,  IHC-P, WB
NBP3-20223
Species: Hu
Applications: ICC/IF, IP, WB
423-F8
Species: Hu, Mu
Applications: BA

Publications for GLI-3 Antibody (NBP1-79019)(2)

We have publications tested in 1 confirmed species: Human.

We have publications tested in 2 applications: IF/IHC, IP.


Filter By Application
IF/IHC
(1)
IP
(1)
All Applications
Filter By Species
Human
(1)
All Species

Reviews for GLI-3 Antibody (NBP1-79019) (0)

There are no reviews for GLI-3 Antibody (NBP1-79019). By submitting a review you will receive an Amazon e-Gift Card or Novus Product Discount.
  • Review with no image -- $10/€7/£6/$10 CAD/¥70 Yuan/¥1110 Yen
  • Review with an image -- $25/€18/£15/$25 CAD/¥150 Yuan/¥2500 Yen

Product General Protocols

Find general support by application which include: protocols, troubleshooting, illustrated assays, videos and webinars.

Video Protocols

WB Video Protocol

FAQs for GLI-3 Antibody (NBP1-79019). (Showing 1 - 1 of 1 FAQs).

  1. I came to know about your antibodies in the EMBO meeting at Nice (22-25Sep 2012). I am interested in using Gli3 antibody in western blot with chick protein samples. I saw that you have a range of this antibody in your products. However, I am not able to understand the datasheet properly. You know that Gli3 has a short repressor form (~83kDa) and an activator form (~190kDa). Do any of your antibodies recognize both these forms or just one of them?
    • Here at Novus we have several Gli3 antibodies that have been validated for use in western blots. Unfortunately, all of these antibodies have been raised against human immunogens, rather than chicken, and our antibodies have not been validated (checked) for use with chicken Gli3. However, I have run a report on how the human Gli3 sequence compares with the Gli3 from chicken, and there is 77% identity. Normally, our lab recommends that it if the percentage is 85% or greater, it is likely that the antibody will be suitable; 77% is slightly lower but relatively close to this. If you do go ahead and test one of our Gli3 antibodies with your chick sample, you will be eligible for our Innovators Reward Program, where Novus will provide you a 50% refund on the purchased product as well as a 50% discount on a future product of equal or lesser value; this is regardless of whether the antibody proved suitable for the species or not. Following your experiment, you would email innovators@novusbio.com to apply for your award. Can I ask, do you require an antibody that recognizes the activator form of Gli3, and/or the repressor form of Gli3? For your information, for each of these antibodies (linked to above), the 'Immunogen' section on the web page / datasheet for that product describes which region of (human) Gli3 the antibody was raised against. Of the antibodies which have western blot images available on our website (NBP1-79019, NBP1-79020 and H00002737-A01), you can see that the blots suggest that a single high molecular weight band (the full-length form rather than the truncated form) only is detected. If you have any particular antibodies that you are interested in, please let me know, and I will consult our lab to see if they have any additional information on which region/form(s) of Gli3 particular antibodies target.

Secondary Antibodies

 

Isotype Controls

Additional GLI-3 Products

Array NBP1-79019

Research Areas for GLI-3 Antibody (NBP1-79019)

Find related products by research area.

Blogs on GLI-3

There are no specific blogs for GLI-3, but you can read our latest blog posts.

Contact Information

Product PDFs

Calculators

Concentration Calculator

The concentration calculator allows you to quickly calculate the volume, mass or concentration of your vial. Simply enter your mass, volume, or concentration values for your reagent and the calculator will determine the rest.

=
÷

Review this Product

Be the first to review our GLI-3 Antibody and receive a gift card or discount.

Bioinformatics

Gene Symbol GLI3
Entrez
Uniprot