GKAP/DLGAP1 Antibody (3G4)

Images

 
Western Blot: GKAP/DLGAP1 Antibody (3G4) [NBP2-37582] - Western blot analysis using GKAP mAb against HEK293 (1) and GKAP(AA: 490-663)-hIgGFc transfected HEK293 (2) cell lysate.
Immunocytochemistry/ Immunofluorescence: GKAP/DLGAP1 Antibody (3G4) [NBP2-37582] - Immunofluorescence analysis of NIH/3T3 cells using GKAP mouse mAb (green). Blue: DRAQ5 fluorescent DNA dye. Red: Actin filaments have ...read more
Immunohistochemistry: GKAP/DLGAP1 Antibody (3G4) [NBP2-37582] - Immunohistochemical analysis of paraffin-embedded human esophagus tissues using GKAP mouse mAb with DAB staining.
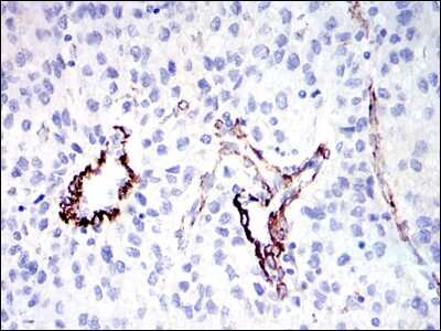
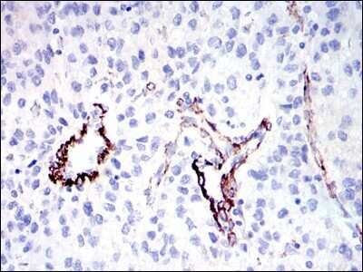
Immunohistochemistry: GKAP/DLGAP1 Antibody (3G4) [NBP2-37582] - Immunohistochemical analysis of paraffin-embedded human liver cancer tissues using GKAP mouse mAb with DAB staining.
ELISA: GKAP/DLGAP1 Antibody (3G4) [NBP2-37582] - Red: Control Antigen (100ng); Purple: Antigen (10ng); Green: Antigen (50ng); Blue: Antigen (100ng);

Product Details

Summary
Product Discontinued
View other related GKAP/DLGAP1 Primary Antibodies

Order Details


    • Catalog Number
      NBP2-37582
    • Availability
      Product Discontinued

    Can't find what you are looking for? Use our Antibody Concierge Service & we will help you locate your antibody!

    Or feel free to contact us for alternative products.

GKAP/DLGAP1 Antibody (3G4) Summary

Immunogen
Purified recombinant fragment of human GKAP expressed in E. Coli.
Isotype
IgG1
Clonality
Monoclonal
Host
Mouse
Gene
DLGAP1
Purity
Unpurified
Innovator's Reward
Test in a species/application not listed above to receive a full credit towards a future purchase.

Applications/Dilutions

Dilutions
  • ELISA 1:10000
  • Immunocytochemistry/ Immunofluorescence 1:200 - 1:1000
  • Immunohistochemistry 1:200 - 1:1000
  • Immunohistochemistry-Paraffin 1:200 - 1:1000
  • Western Blot 1:500 - 1:2000
Theoretical MW
109 kDa.
Disclaimer note: The observed molecular weight of the protein may vary from the listed predicted molecular weight due to post translational modifications, post translation cleavages, relative charges, and other experimental factors.

Packaging, Storage & Formulations

Storage
Store at 4C short term. Aliquot and store at -20C long term. Avoid freeze-thaw cycles.
Buffer
Ascites
Preservative
0.03% Sodium Azide
Purity
Unpurified

Alternate Names for GKAP/DLGAP1 Antibody (3G4)

  • DAP1
  • DAP-1-ALPHA
  • DAP-1DAP-1-BETA
  • discs, large (Drosophila) homolog-associated protein 1
  • disks large-associated protein 1
  • DLGAP1
  • GKAP
  • GKAPMGC88156
  • hGKAP
  • PSD-95/SAP90 binding protein 1
  • PSD-95/SAP90-binding protein 1
  • SAP90/PSD-95-associated protein 1
  • SAPAP1
  • SAPAP1Guanylate kinase-associated protein

Background

Members of the postsynaptic density-95 (PSD-95)/SAP90 family of membraneassociated guanylate kinase (MAGUK) proteins function as multimodular scaffolds that organize protein-signaling complexes at neuronal synapses. PSD-95/SAP90 binds guanylate kinase-associated protein (GKAP), also designated GK domain-binding protein, DAP-1-alpha, DAP-1-beta, PSD-95 binding protein, PSD-95/SAP90 associated protein, or SAPAP1, through the guanylate kinase domain. SAPAP1 is expressed widely in neurons of the cortex and hippocampus and in the Purkinje and granule cells of the cerebellum. N-terminal splice variants of SAPAP1 are expressed as 95 and 130 kDa proteins. SAPAP1 is localized specifically in the PSD of glutamatergic synapses, consistent with its direct interaction with PSD-95 family proteins.

Limitations

This product is for research use only and is not approved for use in humans or in clinical diagnosis. Primary Antibodies are guaranteed for 1 year from date of receipt.

Customers Who Viewed This Item Also Viewed...

NB300-556
Species: Hu, In, Mu, Pm, Rt
Applications: B/N, ChIP, Flow, ICC/IF, IHC, IHC-Fr,  IHC-P, IP, WB
NBP2-46421
Species: Hu, Mu, Rt
Applications: IHC,  IHC-P, WB
H00005662-B01P
Species: Hu, Rt
Applications: ICC/IF, WB
NBP2-12913
Species: Hu, Mu, Rt
Applications: ICC/IF, IHC,  IHC-P, IP, MiAr, WB
NB600-1229
Species: Hu, Mu, Rt
Applications: ICC/IF, IHC, IHC-Fr, IP, Simple Western, WB
NB300-556
Species: Hu, In, Mu, Pm, Rt
Applications: B/N, ChIP, Flow, ICC/IF, IHC, IHC-Fr,  IHC-P, IP, WB
NBP2-00594
Species: Hu, Mu, Rt
Applications: Flow, IHC,  IHC-P, WB
NB300-167
Species: Hu, Mu, Rt
Applications: ICC/IF, IHC,  IHC-P, WB
NBP2-92897
Species: Hu, Mu, Rt
Applications: ICC/IF, IHC,  IHC-P, WB
NBP2-33680
Species: Hu
Applications: IHC,  IHC-P
NBP1-91684
Species: Hu, Mu, Rt
Applications: IHC,  IHC-P, WB
AF2685
Species: Hu
Applications: IHC, Simple Western, WB
NBP1-44999
Species: Hu, Mu
Applications: ICC/IF, WB
NBP1-47610
Species: Hu, Mu, Rt
Applications: ICC/IF, IHC,  IHC-P, IP, MiAr, WB
NBP1-47778
Species: Hu, Mu, Rt
Applications: ICC/IF, IHC,  IHC-P, WB
NBP2-67796
Species: Hu, Mu, Rt
Applications: ICC/IF, IHC,  IHC-P, IP, WB
NB100-858
Species: Gp, Hu, Mu, Rt
Applications: Flow, ICC/IF, IHC-WhMt, IHC, IHC-Fr,  IHC-P, PEP-ELISA, WB
MPTX20
Species: Mu
Applications: ELISA
NBP2-50037
Species: Hu, Mu, Rt
Applications: ICC/IF, IHC, KO, WB
NBP2-37582
Species: Hu
Applications: WB, ELISA, ICC/IF, IHC

Publications for GKAP/DLGAP1 Antibody (NBP2-37582) (0)

There are no publications for GKAP/DLGAP1 Antibody (NBP2-37582).
By submitting your publication information earn gift cards and discounts for future purchases.

Reviews for GKAP/DLGAP1 Antibody (NBP2-37582) (0)

There are no reviews for GKAP/DLGAP1 Antibody (NBP2-37582). By submitting a review you will receive an Amazon e-Gift Card or Novus Product Discount.
  • Review with no image -- $10/€7/£6/$10 CAD/¥70 Yuan/¥1110 Yen
  • Review with an image -- $25/€18/£15/$25 CAD/¥150 Yuan/¥2500 Yen

Product General Protocols

Find general support by application which include: protocols, troubleshooting, illustrated assays, videos and webinars.

Video Protocols

WB Video Protocol
ICC/IF Video Protocol

FAQs for GKAP/DLGAP1 Antibody (NBP2-37582) (0)

There are no specific FAQs related to this product. Read our general customer & technical service FAQs.

Secondary Antibodies

 

Isotype Controls

Additional GKAP/DLGAP1 Products

Research Areas for GKAP/DLGAP1 Antibody (NBP2-37582)

Find related products by research area.

Blogs on GKAP/DLGAP1

There are no specific blogs for GKAP/DLGAP1, but you can read our latest blog posts.

Contact Information

Product PDFs

Calculators

Concentration Calculator

The concentration calculator allows you to quickly calculate the volume, mass or concentration of your vial. Simply enter your mass, volume, or concentration values for your reagent and the calculator will determine the rest.

=
÷

Review this Product

Be the first to review our GKAP/DLGAP1 Antibody (3G4) and receive a gift card or discount.

Bioinformatics

Gene Symbol DLGAP1