Gephyrin/GPHN Antibody (OTI3B6)

Images

 
Western Blot: Gephyrin/GPHN Antibody (3B6) [NBP2-03449] - Analysis of extracts (35ug) from 9 different cell lines by using anti-Gephyrin monoclonal antibody.
Immunocytochemistry/ Immunofluorescence: Gephyrin/GPHN Antibody (3B6) [NBP2-03449] - Staining of COS7 cells transiently transfected by pCMV6-ENTRY Gephyrin.
Immunohistochemistry-Paraffin: Gephyrin/GPHN Antibody (3B6) [NBP2-03449] - Staining of paraffin-embedded Human prostate tissue using anti-Gephyrin mouse monoclonal antibody.
Flow Cytometry: Gephyrin/GPHN Antibody (3B6) [NBP2-03449] - HEK293T cells transfected with either overexpression plasmid (Red) or empty vector control plasmid (Blue) were immunostained by anti-Gephyrin antibody, and ...read more
Western Blot: Gephyrin/GPHN Antibody (3B6) [NBP2-03449] - HEK293T cells were transfected with the pCMV6-ENTRY control (Left lane) or pCMV6-ENTRY Gephyrin (Right lane) cDNA for 48 hrs and lysed. Equivalent amounts of ...read more
Immunohistochemistry-Paraffin: Gephyrin/GPHN Antibody (3B6) [NBP2-03449] - Staining of paraffin-embedded Adenocarcinoma of Human colon tissue using anti-Gephyrin mouse monoclonal antibody.
Immunohistochemistry-Paraffin: Gephyrin/GPHN Antibody (3B6) [NBP2-03449] - Staining of paraffin-embedded Adenocarcinoma of Human ovary tissue using anti-Gephyrin mouse monoclonal antibody.
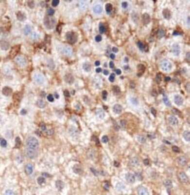
Immunohistochemistry-Paraffin: Gephyrin/GPHN Antibody (3B6) [NBP2-03449] - Staining of paraffin-embedded Human liver tissue using anti-Gephyrin mouse monoclonal antibody.
Flow Cytometry: Gephyrin/GPHN Antibody (3B6) [NBP2-03449] - Analysis of Jurkat cells, using anti-Gephyrin antibody, (Red), compared to a nonspecific negative control antibody (Blue).

Product Details

Summary
Reactivity Hu, Mu, Rt, PmSpecies Glossary
Applications WB, Flow, ICC/IF, IHC
Clone
OTI3B6
Clonality
Monoclonal
Host
Mouse
Conjugate
Unconjugated
Concentration
1 mg/ml

Order Details

Gephyrin/GPHN Antibody (OTI3B6) Summary

Description
Novus Biologicals Mouse Gephyrin/GPHN Antibody (OTI3B6) (NBP2-03449) is a monoclonal antibody validated for use in IHC, WB, Flow and ICC/IF. All Novus Biologicals antibodies are covered by our 100% guarantee.
Immunogen
Full length human recombinant protein of human GPHN (NP_065857) produced in HEK293T cell.
Isotype
IgG2a
Clonality
Monoclonal
Host
Mouse
Gene
GPHN
Purity
Immunogen affinity purified
Innovator's Reward
Test in a species/application not listed above to receive a full credit towards a future purchase.

Applications/Dilutions

Dilutions
  • Flow Cytometry 1:100
  • Immunocytochemistry/ Immunofluorescence 1:100
  • Immunohistochemistry 1:150
  • Immunohistochemistry-Paraffin 1:150
  • Western Blot 1:500-2000
Theoretical MW
83.3 kDa.
Disclaimer note: The observed molecular weight of the protein may vary from the listed predicted molecular weight due to post translational modifications, post translation cleavages, relative charges, and other experimental factors.
Reviewed Applications
Read 1 Review rated 5
using
NBP2-03449 in the following applications:

Reactivity Notes

Please note that this antibody is reactive to Mouse and derived from the same host, Mouse. Mouse-On-Mouse blocking reagent may be needed for IHC and ICC experiments to reduce high background signal. You can find these reagents under catalog numbers PK-2200-NB and MP-2400-NB. Please contact Technical Support if you have any questions.

Packaging, Storage & Formulations

Storage
Store at -20C. Avoid freeze-thaw cycles.
Buffer
PBS (pH 7.3), 1.0% BSA and 50% Glycerol
Preservative
0.02% Sodium Azide
Concentration
1 mg/ml
Purity
Immunogen affinity purified

Alternate Names for Gephyrin/GPHN Antibody (OTI3B6)

  • GEPH
  • Gephyrin
  • GPH
  • GPHN
  • GPHRYN
  • KIAA1385GPHGEPH

Background

This gene encodes a neuronal assembly protein that anchors inhibitory neurotransmitter receptors to the postsynaptic cytoskeleton via high affinity binding to a receptor subunit domain and tubulin dimers. In nonneuronal tissues, the encoded protein is also required for molybdenum cofactor biosynthesis. Mutations in this gene may be associated with the neurological condition hyperplexia and also lead to molybdenum cofactor deficiency. Numerous alternatively spliced transcript variants encoding different isoforms have been described; however, the full-length nature of all transcript variants is not currently known. [provided by RefSeq].

Limitations

This product is for research use only and is not approved for use in humans or in clinical diagnosis. Primary Antibodies are guaranteed for 1 year from date of receipt.

Customers Who Viewed This Item Also Viewed...

MAB7848
Species: Hu
Applications: IHC, WB
NBP2-20857
Species: Hu, Mu, Rt
Applications: ICC/IF, IHC, IHC-Fr,  IHC-P, WB
NBP1-85533
Species: Hu
Applications: ICC/IF, IHC,  IHC-P, WB
NB110-41404
Species: Bv, Hu, Mu, Rt
Applications: ICC/IF, IHC, WB
AF2086
Species: Hu, Mu, Rt
Applications: IHC, Simple Western, WB
NBP2-41299
Species: Hu, Mu, Rt
Applications: ELISA, ICC/IF, IHC,  IHC-P, WB
NBP2-86653
Species: Hu
Applications: IHC,  IHC-P, WB
AF2247
Species: Hu
Applications: IHC, WB
NB300-653
Species: Ch, Fe, Hu, Pm, Mu, Rt
Applications: ELISA, ICC/IF, IHC, IHC-Fr,  IHC-P, IP, WB
NBP1-71771
Species: Dr, Hu, Mu
Applications: ICC/IF, IHC,  IHC-P, WB
NBP2-61774
Species: Hu
Applications: ELISA, Flow, ICC/IF, WB
NBP1-81045
Species: Hu
Applications: ICC/IF, IHC,  IHC-P, WB
NB300-113
Species: Hu, Mu, Rt
Applications: IHC, IHC-Fr, IP, WB
NB300-556
Species: Hu, In, Mu, Pm, Rt
Applications: B/N, ChIP, Flow, ICC/IF, IHC, IHC-Fr,  IHC-P, IP, WB
NBP1-92130
Species: Hu
Applications: ICC/IF, IHC,  IHC-P
NB600-607
Species: Hu, Rt
Applications: ELISA, IHC,  IHC-P, WB
NBP1-32423
Species: Hu, Mu
Applications: ICC/IF, IHC,  IHC-P, WB
NBP2-50028
Species: Bv, Hu, Mu, Rt
Applications: ICC/IF, IHC-FrFl, IHC,  IHC-P, WB

Publications for Gephyrin/GPHN Antibody (NBP2-03449) (0)

There are no publications for Gephyrin/GPHN Antibody (NBP2-03449).
By submitting your publication information earn gift cards and discounts for future purchases.

Review for Gephyrin/GPHN Antibody (NBP2-03449) (1) 51

Average Rating: 5
(Based on 1 review)
We have 1 review tested in 1 species: Mouse.

Reviews using NBP2-03449:
Filter by Applications
IF
(1)
All Applications
Filter by Species
Mouse
(1)
All Species
Images Ratings Applications Species Date Details
  5
reviewed by:
Fugui Li
IF Mouse 10/06/2014
View

Summary

ApplicationImmunofluorescence
Sample Testedmouse brain sections
SpeciesMouse

Product General Protocols

Find general support by application which include: protocols, troubleshooting, illustrated assays, videos and webinars.

Video Protocols

WB Video Protocol
ICC/IF Video Protocol

FAQs for Gephyrin/GPHN Antibody (NBP2-03449) (0)

There are no specific FAQs related to this product. Read our general customer & technical service FAQs.

Secondary Antibodies

 

Isotype Controls

Additional Gephyrin/GPHN Products

Research Areas for Gephyrin/GPHN Antibody (NBP2-03449)

Find related products by research area.

Blogs on Gephyrin/GPHN

There are no specific blogs for Gephyrin/GPHN, but you can read our latest blog posts.

Customers Who Bought This Also Bought

Contact Information

Product PDFs

Calculators

Concentration Calculator

The concentration calculator allows you to quickly calculate the volume, mass or concentration of your vial. Simply enter your mass, volume, or concentration values for your reagent and the calculator will determine the rest.

=
÷

Recent Reviews

5
5
1
4
0
3
0
2
0
1
0

 
Fugui Li
10/06/2014
Application: IF
Species: Mouse

Bioinformatics

Gene Symbol GPHN
Entrez