Gelsolin/GSN Antibody (JB36-68)

Images

 
Western Blot: Gelsolin/GSN Antibody (JB36-68) [NBP2-75503] - Analysis of Gelsolin on different lysates using anti-Gelsolin antibody at 1/500 dilution.Positive control:Lane 1: Mouse thymus Lane 2: Mouse lungLane 3: ...read more
Immunocytochemistry/ Immunofluorescence: Gelsolin/GSN Antibody (JB36-68) [NBP2-75503] - Staining Gelsolin in NIH-3T3 cells (green). The nuclear counter stain is DAPI (blue). Cells were fixed in paraformaldehyde, ...read more
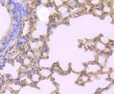
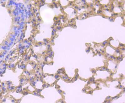
Immunohistochemistry-Paraffin: Gelsolin/GSN Antibody (JB36-68) [NBP2-75503] - Analysis of paraffin-embedded mouse lung tissue using anti-Gelsolin antibody. Counter stained with hematoxylin.
Flow Cytometry: Gelsolin/GSN Antibody (JB36-68) [NBP2-75503] - Analysis of THP-1 cells with Gelsolin antibody at 1/100 dilution (red) compared with an unlabelled control (cells without incubation with primary antibody; ...read more
Immunocytochemistry/ Immunofluorescence: Gelsolin/GSN Antibody (JB36-68) [NBP2-75503] - Staining Gelsolin in SiHa cells (green). The nuclear counter stain is DAPI (blue). Cells were fixed in paraformaldehyde, ...read more
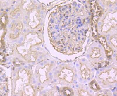
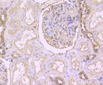
Immunohistochemistry-Paraffin: Gelsolin/GSN Antibody (JB36-68) [NBP2-75503] - Analysis of paraffin-embedded human kidney tissue using anti-Gelsolin antibody. Counter stained with hematoxylin.
Immunohistochemistry-Paraffin: Gelsolin/GSN Antibody (JB36-68) [NBP2-75503] - Analysis of paraffin-embedded human spleen tissue using anti-Gelsolin antibody. Counter stained with hematoxylin.

Product Details

Summary
Product Discontinued
View other related Gelsolin/GSN Primary Antibodies

Order Details


    • Catalog Number
      NBP2-75503
    • Availability
      Product Discontinued

    Can't find what you are looking for? Use our Antibody Concierge Service & we will help you locate your antibody!

    Or feel free to contact us for alternative products.

Gelsolin/GSN Antibody (JB36-68) Summary

Additional Information
Recombinant Monoclonal Antibody.
Immunogen
Synthetic peptide within Human Gelsolin/GSN aa 431-480 / 782. (SwissProt: P06396 Human; SwissProt: P13020 Mouse)
Localization
Cytoskeleton. Secreted.
Isotype
IgG
Clonality
Monoclonal
Host
Rabbit
Gene
GSN
Purity
Protein A purified
Innovator's Reward
Test in a species/application not listed above to receive a full credit towards a future purchase.

Applications/Dilutions

Dilutions
  • Flow Cytometry 1:50-1:100
  • Immunocytochemistry/ Immunofluorescence 1:50-1:200
  • Immunohistochemistry
  • Immunohistochemistry-Paraffin 1:50-1:200
  • Western Blot 1:500-1:2000
Theoretical MW
86 kDa.
Disclaimer note: The observed molecular weight of the protein may vary from the listed predicted molecular weight due to post translational modifications, post translation cleavages, relative charges, and other experimental factors.

Packaging, Storage & Formulations

Storage
Store at 4C short term. Aliquot and store at -20C long term. Avoid freeze-thaw cycles.
Buffer
TBS (pH7.4), 0.05% BSA, 40% Glycerol
Preservative
0.05% Sodium Azide
Concentration
1 mg/ml
Purity
Protein A purified

Alternate Names for Gelsolin/GSN Antibody (JB36-68)

  • Actin-depolymerizing factor
  • ADF
  • AGEL
  • Brevin
  • DKFZp313L0718
  • gelsolin (amyloidosis, Finnish type)
  • Gelsolin
  • GSN

Background

Gelsolin is a calcium regulated actin binding protein. Gelsolin is a regulator of actin filament assembly and disassembly and consists of six homologous subdomains (S1-S6). When C-terminal tail (S6) is bound to calcium ion, it straightens and exposes actin binding sites located on S2s helices, leading to Gelsolin actin-serving activity (1). Gelsolin is inhibited by phosphatidylinositol (4,5)-bisphosphate (PIP2), where PIP2 will bind to S1, S2, and S3 sites. Gelsolin is involved in podosome formation and has been linked to inhibition of apoptosis by preventing release of cytochrome C (2).

Limitations

This product is for research use only and is not approved for use in humans or in clinical diagnosis. Primary Antibodies are guaranteed for 1 year from date of receipt.

Customers Who Viewed This Item Also Viewed...

NBP1-85010
Species: Hu
Applications: IHC,  IHC-P
NBP2-00527
Species: Ca, Hu, Pm, Mu, Pm
Applications: Flow, ICC/IF, IHC,  IHC-P, WB
NBP3-15868
Species: Hu, Mu, Rt
Applications: ELISA, ICC/IF, IHC,  IHC-P, WB
NBP2-52983
Species: Hu, Mu
Applications: Flow, ICC/IF, IHC,  IHC-P, WB
H00010097-M01
Species: Hu
Applications: ELISA, IHC,  IHC-P, S-ELISA, WB
MAB4470
Species: All-Multi
Applications: Flow, ICC, IHC, WB
NBP1-89230
Species: Hu
Applications: IHC,  IHC-P, WB
NBP2-00748
Species: Hu, Pm, Mu, Rt
Applications: Flow, ICC/IF, IHC,  IHC-P, WB
NBP1-30955
Species: Hu, Mu
Applications: ICC/IF, IHC,  IHC-P, WB
AF1444
Species: Mu
Applications: IHC, WB
AF3846
Species: Hu, Mu, Rt
Applications: IHC, WB
NBP1-84999
Species: Hu
Applications: IHC,  IHC-P, WB
MAB6896
Species: Hu, Mu, Rt
Applications: IHC, Simple Western, WB
NBP2-52575
Species: Hu
Applications: CyTOF-ready, ELISA, Flow, ICC/IF, IHC,  IHC-P, WB
H00347527-P01
Species: Hu
Applications: ELISA, AP, PA, WB
202-IL
Species: Hu
Applications: BA
NBP1-88027
Species: Eq, Hu, Mu, Rt
Applications: IHC,  IHC-P, Simple Western, WB
NBP2-75503
Species: Hu, Mu
Applications: WB, Flow, ICC/IF, IHC

Publications for Gelsolin/GSN Antibody (NBP2-75503) (0)

There are no publications for Gelsolin/GSN Antibody (NBP2-75503).
By submitting your publication information earn gift cards and discounts for future purchases.

Reviews for Gelsolin/GSN Antibody (NBP2-75503) (0)

There are no reviews for Gelsolin/GSN Antibody (NBP2-75503). By submitting a review you will receive an Amazon e-Gift Card or Novus Product Discount.
  • Review with no image -- $10/€7/£6/$10 CAD/¥70 Yuan/¥1110 Yen
  • Review with an image -- $25/€18/£15/$25 CAD/¥150 Yuan/¥2500 Yen

Product General Protocols

Find general support by application which include: protocols, troubleshooting, illustrated assays, videos and webinars.

Video Protocols

WB Video Protocol
ICC/IF Video Protocol

FAQs for Gelsolin/GSN Antibody (NBP2-75503) (0)

There are no specific FAQs related to this product. Read our general customer & technical service FAQs.

Secondary Antibodies

 

Isotype Controls

Additional Gelsolin/GSN Products

Research Areas for Gelsolin/GSN Antibody (NBP2-75503)

Find related products by research area.

Blogs on Gelsolin/GSN

There are no specific blogs for Gelsolin/GSN, but you can read our latest blog posts.

Contact Information

Product PDFs

Calculators

Concentration Calculator

The concentration calculator allows you to quickly calculate the volume, mass or concentration of your vial. Simply enter your mass, volume, or concentration values for your reagent and the calculator will determine the rest.

=
÷

Review this Product

Be the first to review our Gelsolin/GSN Antibody (JB36-68) and receive a gift card or discount.

Bioinformatics

Gene Symbol GSN