GCLM Antibody (JM93-61)

Images

 
Western Blot: GCLM Antibody (JM93-61) [NBP2-75502] - Analysis of GCLM on different cell lysates using anti-GCLM antibody at 1/500 dilution.Positive control:Lane 1: A431 Lane 2: PC-12Lane 3: NIH-3T3
Immunocytochemistry/ Immunofluorescence: GCLM Antibody (JM93-61) [NBP2-75502] - Staining GCLM in Hela cells (green). The nuclear counter stain is DAPI (blue). Cells were fixed in paraformaldehyde, permeabilised with ...read more
Immunohistochemistry-Paraffin: GCLM Antibody (JM93-61) [NBP2-75502] - Analysis of paraffin-embedded mouse small intestine tissue using anti-GCLM antibody. Counter stained with hematoxylin.
Flow Cytometry: GCLM Antibody (JM93-61) [NBP2-75502] - Analysis of Hela cells with GCLM antibody at 1/100 dilution (red) compared with an unlabelled control (cells without incubation with primary antibody; black).
Immunocytochemistry/ Immunofluorescence: GCLM Antibody (JM93-61) [NBP2-75502] - Staining GCLM in A431 cells (green). The nuclear counter stain is DAPI (blue). Cells were fixed in paraformaldehyde, permeabilised with ...read more
Immunocytochemistry/ Immunofluorescence: GCLM Antibody (JM93-61) [NBP2-75502] - Staining GCLM in A549 cells (green). The nuclear counter stain is DAPI (blue). Cells were fixed in paraformaldehyde, permeabilised with ...read more
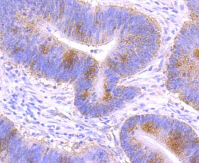
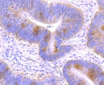
Immunohistochemistry-Paraffin: GCLM Antibody (JM93-61) [NBP2-75502] - Analysis of paraffin-embedded human colon cancer tissue using anti-GCLM antibody. Counter stained with hematoxylin.
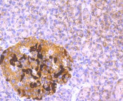
Immunohistochemistry-Paraffin: GCLM Antibody (JM93-61) [NBP2-75502] - Analysis of paraffin-embedded human pancreas tissue using anti-GCLM antibody. Counter stained with hematoxylin.

Product Details

Summary
Product Discontinued
View other related GCLM Primary Antibodies

Order Details


    • Catalog Number
      NBP2-75502
    • Availability
      Product Discontinued

    Can't find what you are looking for? Use our Antibody Concierge Service & we will help you locate your antibody!

    Or feel free to contact us for alternative products.

GCLM Antibody (JM93-61) Summary

Additional Information
Recombinant Monoclonal Antibody.
Immunogen
Recombinant protein within Human GCLM aa 225-274 / 274. (SwissProt: P48507 Human; SwissProt: O09172 Mouse; SwissProt: P48508 Rat)
Localization
Cytosol.
Isotype
IgG
Clonality
Monoclonal
Host
Rabbit
Gene
GCLM
Purity
Protein A purified
Innovator's Reward
Test in a species/application not listed above to receive a full credit towards a future purchase.

Applications/Dilutions

Dilutions
  • Flow Cytometry 1:50-1:100
  • Immunocytochemistry/ Immunofluorescence 1:50-1:200
  • Immunohistochemistry
  • Immunohistochemistry-Paraffin 1:50-1:100
  • Immunoprecipitation
  • Western Blot 1:500-1:1000

Packaging, Storage & Formulations

Storage
Store at 4C short term. Aliquot and store at -20C long term. Avoid freeze-thaw cycles.
Buffer
TBS (pH7.4), 0.05% BSA, 40% Glycerol
Preservative
0.05% Sodium Azide
Concentration
1 mg/ml
Purity
Protein A purified

Alternate Names for GCLM Antibody (JM93-61)

  • Gamma-ECS regulatory subunit
  • Gamma-glutamylcysteine synthetase regulatory subunit
  • GCS light chain
  • GLCLRglutamate--cysteine ligase regulatory subunit
  • glutamate-cysteine ligase (gamma-glutamylcysteine synthetase), regulatory(30.8kD)
  • Glutamate--cysteine ligase modifier subunit
  • glutamate-cysteine ligase regulatory protein
  • glutamate-cysteine ligase, modifier subunit
  • GSC light chain

Background

Glutamate-cysteine ligase, also known as gamma-glutamylcysteine synthetase, is the first rate limiting enzyme of glutathione synthesis. The enzyme consists of two subunits, a heavy catalytic subunit and a light regulatory subunit. Gamma glutamylcysteine synthetase deficiency has been implicated in some forms of hemolytic anemia. [provided by RefSeq]

Limitations

This product is for research use only and is not approved for use in humans or in clinical diagnosis. Primary Antibodies are guaranteed for 1 year from date of receipt.

Customers Who Viewed This Item Also Viewed...

H00002729-M01
Species: Hu, Mu, Rt
Applications: ELISA, ICC/IF, WB
NBP1-32822
Species: Al, Av, Hu, Mu, Pl, Rt, Ze
Applications: ChIP, Flow, ICC/IF, IHC,  IHC-P, IP, KD, Simple Western, WB
NBP3-46215
Species: Hu, Mu, Rt
Applications: ELISA, IHC, WB
H00064396-B01P
Species: Hu
Applications: WB
NBP1-89785
Species: Hu
Applications: ICC/IF, IHC,  IHC-P, WB
NBP1-32105
Species: Hu, Mu, Rt
Applications: ICC/IF, IHC,  IHC-P, IP, KD, WB
NBP1-97507
Species: Bv, Ca, Hu, Mu, Rt
Applications: Flow, ICC/IF, IHC,  IHC-P, Simple Western, WB
NB200-209
Species: Ca, Hu, Mu, Pm, Rt
Applications: Flow-IC, Flow, ICC/IF, IHC, IHC-Fr,  IHC-P, IP, Simple Western, WB
NBP2-67471
Species: Hu, Mu, Rt
Applications: ICC/IF, IHC,  IHC-P, WB
NBP2-16684
Species: Hu, Mu, Rt
Applications: EM, IHC,  IHC-P, WB
NBP2-75513
Species: Hu, Mu, Rt
Applications: Flow, ICC/IF, IHC,  IHC-P, WB
AF3398
Species: Hu, Mu, Rt
Applications: ICC, KO, Simple Western, WB
AF1230
Species: Hu, Mu, Rt
Applications: IHC, KO, WB
MAB3024
Species: Hu, Mu, Rt
Applications: KO, Simple Western, WB
NBP2-50037
Species: Hu, Mu, Rt
Applications: ICC/IF, IHC, KO, WB
AF2214
Species: Hu
Applications: ICC, IHC, WB
NBP3-16602
Species: Hu, Mu, Rt
Applications: IHC,  IHC-P, IP, WB
NBP1-89544
Species: Hu
Applications: ChIP-EXO-SEQ, ICC/IF, IHC,  IHC-P, WB
NBP2-24915
Species: Bv, Hu, Mu, Rt
Applications: IHC,  IHC-P, WB
NBP2-75502
Species: Hu, Mu, Rt
Applications: WB, Flow, ICC/IF, IHC, IP

Publications for GCLM Antibody (NBP2-75502) (0)

There are no publications for GCLM Antibody (NBP2-75502).
By submitting your publication information earn gift cards and discounts for future purchases.

Reviews for GCLM Antibody (NBP2-75502) (0)

There are no reviews for GCLM Antibody (NBP2-75502). By submitting a review you will receive an Amazon e-Gift Card or Novus Product Discount.
  • Review with no image -- $10/€7/£6/$10 CAD/¥70 Yuan/¥1110 Yen
  • Review with an image -- $25/€18/£15/$25 CAD/¥150 Yuan/¥2500 Yen

Product General Protocols

Video Protocols

WB Video Protocol
ICC/IF Video Protocol

FAQs for GCLM Antibody (NBP2-75502) (0)

There are no specific FAQs related to this product. Read our general customer & technical service FAQs.

Secondary Antibodies

 

Isotype Controls

Additional GCLM Products

Research Areas for GCLM Antibody (NBP2-75502)

Find related products by research area.

Blogs on GCLM

There are no specific blogs for GCLM, but you can read our latest blog posts.

Contact Information

Product PDFs

Calculators

Concentration Calculator

The concentration calculator allows you to quickly calculate the volume, mass or concentration of your vial. Simply enter your mass, volume, or concentration values for your reagent and the calculator will determine the rest.

=
÷

Review this Product

Be the first to review our GCLM Antibody (JM93-61) and receive a gift card or discount.

Bioinformatics

Gene Symbol GCLM