GATA-1 Antibody

Images

 
Western Blot: GATA-1 Antibody [NBP1-84792] - Analysis in control (vector only transfected HEK293T lysate) and GATA1 over-expression lysate (Co-expressed with a C-terminal myc-DDK tag (3.1 kDa) in mammalian HEK293T ...read more
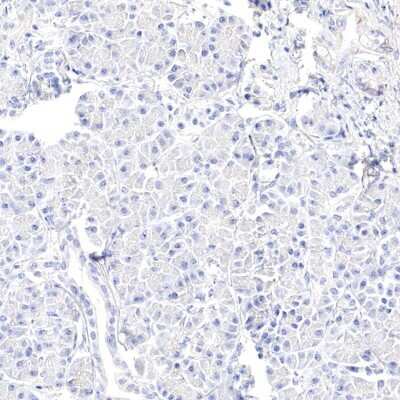
Orthogonal Strategies: Immunohistochemistry-Paraffin: GATA-1 Antibody [NBP1-84792] - Staining in human bone marrow and pancreas tissues using anti-GATA1 antibody. Corresponding GATA1 RNA-seq data are presented ...read more
Immunohistochemistry-Paraffin: GATA-1 Antibody [NBP1-84792] - Staining of human bone marrow shows high expression.
Immunohistochemistry-Paraffin: GATA-1 Antibody [NBP1-84792] - Staining of human pancreas shows low expression as expected.

Product Details

Summary
Product Discontinued
View other related GATA-1 Primary Antibodies
Validated by:
       

Orthogonal Strategies

 

Order Details


    • Catalog Number
      NBP1-84792
    • Availability
      Product Discontinued

    Can't find what you are looking for? Use our Antibody Concierge Service & we will help you locate your antibody!

    Or feel free to contact us for alternative products.

GATA-1 Antibody Summary

Immunogen
This antibody was developed against Recombinant Protein corresponding to amino acids: PLTMRKDGIQTRNRKASGKGKKKRGSSLGGTGAAEGPAGGFMVVAGGSGSGNCGEVASGLTLGPPGTAHLYQGLGPVVLSGPVSHLMPFPGPLLGSPTGSFPTGPMPPTTSTTVVAPL
Predicted Species
Rat (90%). Backed by our 100% Guarantee.
Isotype
IgG
Clonality
Polyclonal
Host
Rabbit
Gene
GATA1
Purity
Immunogen affinity purified
Innovator's Reward
Test in a species/application not listed above to receive a full credit towards a future purchase.

Applications/Dilutions

Dilutions
  • Immunohistochemistry 1:50 - 1:200
  • Immunohistochemistry-Paraffin 1:50 - 1:200
  • Western Blot 0.04-0.4 ug/ml
Application Notes
For IHC-Paraffin, HIER pH 6 retrieval is recommended.
Control Peptide
GATA-1 Protein (NBP1-84792PEP)
Publications
Read Publication using NBP1-84792.

Reactivity Notes

Immunogen displays the following percentage of sequence identity for non-tested species: Mouse (88%)

Packaging, Storage & Formulations

Storage
Store at 4C short term. Aliquot and store at -20C long term. Avoid freeze-thaw cycles.
Buffer
PBS (pH 7.2) and 40% Glycerol
Preservative
0.02% Sodium Azide
Purity
Immunogen affinity purified

Alternate Names for GATA-1 Antibody

  • Eryf1
  • ERYF1GATA-binding protein 1 (globin transcription factor 1)
  • GATA binding protein 1 (globin transcription factor 1)
  • GATA1
  • GATA-1
  • GATA-1erythroid transcription factor
  • GATA-binding factor 1
  • GF-1
  • GF1globin transcription factor 1
  • NF-E1 DNA-binding protein
  • NFE1erythroid transcription factor 1
  • transcription factor GATA1
  • XLTT

Background

GATA1 (Globin transcription factor 1) is a Cys2/Cys2 zinc finger DNA binding protein that is expressed primarily in erythroid, megakaryocytic, mast cells and eosinophilic cells. It belongs to the GATA family of transcription factors. GATA1 is a transcriptional activator which probably serves as a general switch factor for erythroid development. It binds to DNA sites with the consensus sequence [AT]GATA[AG] within regulatory regions of globin genes and of other genes expressed in erythroid cells. The protein also plays an important role in erythroid development by regulating the switch of fetal hemoglobin to adult hemoglobin. Mutations in this gene have been associated with X-linked dyserythropoietic anemia and thrombocytopenia. Acquired somatic mutations in GATA1 occur in virtually all children with Down's Syndrome, congenital transient myeloproliferative syndrome (TMD) and acute megakaryocytic leukemia.

Limitations

This product is for research use only and is not approved for use in humans or in clinical diagnosis. Primary Antibodies are guaranteed for 1 year from date of receipt.

Customers Who Viewed This Item Also Viewed...

NBP1-82580
Species: Hu
Applications: IHC,  IHC-P, Simple Western, WB
NBP1-87991
Species: Hu
Applications: IHC,  IHC-P, WB
NBP2-01488
Species: Hu, Mu, Rt
Applications: Flow, ICC/IF, IHC,  IHC-P, WB
AF2046
Species: Hu, Mu
Applications: ICC, IHC, Simple Western, WB
AF2046
Species: Hu, Mu
Applications: ICC, IHC, Simple Western, WB
MEP00B
Species: Mu
Applications: ELISA
NBP2-47572
Species: Hu
Applications: ICC/IF, IHC,  IHC-P
NBP2-14081
Species: Hu
Applications: ICC/IF, IHC,  IHC-P
NBP2-37380
Species: Hu
Applications: CyTOF-ready, ELISA, Flow, IHC,  IHC-P, WB
NBP2-48693
Species: Hu
Applications: ICC/IF, IHC,  IHC-P
NBP2-47940
Species: Hu
Applications: CyTOF-ready, Flow, ICC/IF, IF, IHC,  IHC-P, Simple Western, WB
NBP2-27163
Species: Bv, Ca, Eq, Hu, Mu, Pm
Applications: Flow, WB
NB600-232
Species: Hu, Mu
Applications: ChIP, IHC,  IHC-P, IP, WB
DPSG10
Species: Hu
Applications: ELISA
3047-CC
Species: Hu
Applications: BA
NBP2-67471
Species: Hu, Mu, Rt
Applications: ICC/IF, IHC,  IHC-P, WB
NBP3-07388
Species: Hu
Applications: Flow, ICC/IF, IHC,  IHC-P
203-IL
Species: Hu
Applications: BA
DTM100
Species: Hu
Applications: ELISA
AF4117
Species: Rt
Applications: IHC, WB

Publications for GATA-1 Antibody (NBP1-84792)(1)


Showing Publication 1 - 1 of 1.
Publication using NBP1-84792 Applications Species
Ponten F, Jirstrom K, Uhlen M. The Human Protein Atlas--a tool for pathology. J Pathol 2008-12-01 [PMID: 18853439]

Reviews for GATA-1 Antibody (NBP1-84792) (0)

There are no reviews for GATA-1 Antibody (NBP1-84792). By submitting a review you will receive an Amazon e-Gift Card or Novus Product Discount.
  • Review with no image -- $10/€7/£6/$10 CAD/¥70 Yuan/¥1110 Yen
  • Review with an image -- $25/€18/£15/$25 CAD/¥150 Yuan/¥2500 Yen

Product General Protocols

Find general support by application which include: protocols, troubleshooting, illustrated assays, videos and webinars.

Video Protocols

WB Video Protocol

FAQs for GATA-1 Antibody (NBP1-84792) (0)

There are no specific FAQs related to this product. Read our general customer & technical service FAQs.

Secondary Antibodies

 

Isotype Controls

Additional GATA-1 Products

Research Areas for GATA-1 Antibody (NBP1-84792)

Find related products by research area.

Blogs on GATA-1

There are no specific blogs for GATA-1, but you can read our latest blog posts.

Contact Information

Product PDFs

Calculators

Concentration Calculator

The concentration calculator allows you to quickly calculate the volume, mass or concentration of your vial. Simply enter your mass, volume, or concentration values for your reagent and the calculator will determine the rest.

=
÷

Review this Product

Be the first to review our GATA-1 Antibody and receive a gift card or discount.

Bioinformatics

Gene Symbol GATA1